二重修正術(重瞼修正切開術)
二重の幅を広くしたり、反対に二重幅を狭くしたり、二重の左右差を整えたり、傷跡を綺麗にしたい場合に、二重を希望の形に形成する術式です。前の手術が埋没法、切開法、眼瞼下垂手術など問わず修正します。
二重修正術(重瞼修正切開術)が
向いている方
二重の幅を変えたい方
二重の左右差を整えたい方
二重のくいこみを改善させたい方
二重修正術(重瞼修正切開術)とは
▼
▼
二重修正術とは、二重の幅を広くしたり、狭くしたり、左右差を整えたり、ラインを綺麗に整えたり、ラインのくい込みの調整をしたりと、二重が希望通りでない場合に、二重の修正を行う手術です。
特に最近多いご要望は、切開法による二重が広すぎて、二重幅を狭くしたいという場合ですが、このような広い二重も二重修正術によって幅を狭くすることができます。
ラインの下の皮膚が余っていてソーセージのようになっている場合、まつ毛に皮膚が乗ってまつ毛を起こしにくく、アイラインも細く引きにくくなります。またこの状態は二重が広くなりますが、余った皮膚が目の方に垂れ下がり、目が小さく見えるようになります。これらの症状も、二重修正術によって改善できます。
当院の二重修正術
(重瞼修正切開術)の特徴
-
Feature.01
局所麻酔は34G極細針を採用(針の細さ0.2mm)、痛みは最小限です。 -
Feature.02
少しの痛みも怖く不安な方には、表面麻酔、静脈麻酔をおこないます。 -
Feature.03
眼瞼挙筋腱膜にしっかりとラインを固定し、くっきりパッチリ永続する二重を形成します。 -
Feature.04
脂肪の脱脂も希望に応じ行います。 -
Feature.05
翌日からシャワー、洗顔、まぶた以外の化粧ができます。 -
Feature.06
7-0極細吸収糸で中縫いをしっかりと行うため、抜糸は4-5日目に可能です(形成外科的縫合)。そのため傷あとは最小限となります。 -
Feature.07
透明の糸での皮膚縫合も対応しております。 -
Feature.08
抜糸翌日よりまぶたの化粧ができます。
二重修正術(重瞼修正切開術)を
行う理由
二重の手術を受けたが思った感じでない場合、二重修正術(重瞼修正切開術)を行い、ご希望の二重になるように形成します。二重が浅すぎる、二重の幅が狭すぎる、あるいは二重が広すぎる、左右の差が気になる、切開した傷痕が気になるなどのお悩みに対し、個別修正方法を提案いたします。
埋没法で可能な場合は今のラインよりも高い位置を選び、二重を作成します。
埋没法で難しい場合は全切開法に準じあまった皮膚を切除しラインを作成します。まぶたに傷を残したくない方で、皮膚のたるみが多い場合には眉毛下切開が適応になります。全切開に準じたデザインで行う場合、希望のラインに沿って切開します。
この際ご状態、ご希望に応じてCO2レーザーを使用して皮膚切開を行うことで出血を押さえる事ができます。たるみが多い場合には余分な皮膚を適量切除します。続いて眼輪筋、瞼板前組織、隔膜前脂肪などを必要に応じ切除します。眼窩脂肪も余剰が認められる場合に必要量を切除します。
全切開に準じた二重修正術では症例に応じてROOF切除術を併用する場合があります。二重修正術の切開範囲を全域にわたって、細かく皮膚と深部の組織を7-0極細吸収糸で丁寧に形成外科的縫合をすることで、傷を最小限とすることができます。
埋没法で二重を作成している場合には、埋没糸を抜糸することで二重が消失し、二重が狭くなることが期待されます。二重が全切開法あるいは小切開法で作成されている場合、ラインの下の皮膚を切除する方法、全切開法に準じたデザインの二重修正術で皮膚を深部組織に癒着させている部分を離し、その間に眼窩脂肪を介在させる方法などがあります。
全切開に準じたデザインで行う場合、希望のラインに沿って切開します。この際ご状態、ご希望に応じてCO2レーザーを使用して皮膚切開を行うことで出血を押さえる事ができます。たるみが多い場合には余分な皮膚を適量切除します。
続いて眼輪筋、瞼板前組織、隔膜前脂肪などを必要に応じ切除します。以前の切開法による重瞼術の二重ラインの癒着を丁寧に剥がします。
眼窩隔膜を開窓し眼窩脂肪見つけます。十分な眼窩脂肪がある場合、この眼窩脂肪を利用し二重を狭く形成します。場合によっては下眼瞼の眼窩脂肪の脂肪移植を行うことがあります。
続いて二重修正術の切開範囲を全域にわたって、細かく皮膚と深部の組織を7-0極細吸収糸で丁寧に形成外科的縫合をすることで、傷を最小限とすることができます。
眼瞼下垂手術をおこない目の開きを良くすることで二重の幅を狭くする方法もあります。
この場合、眼瞼挙筋腱膜を短縮し瞼板へ再固定しながら、目の開きの調節を術中座位となって患者様に確認を取りながら微調整をおこないます。開きの度合い、左右差の調整を丁寧に行います。
その後は通常静脈麻酔を開始し痛み、意識を取ったうえで、切開範囲を全域にわたって細かく皮膚と深部の組織を7-0極細吸収糸で丁寧に形成外科的縫合します。経結膜眼瞼下垂手術を用いた場合には皮膚切開は一切行わず、結膜側から挙筋腱膜の固定を行い開瞼を調節いたします。
広い方に合わせるのか、狭い方に合わせるのかによって手術術式を選択いたします。
また目の開きに差がある場合には、眼瞼下垂手術による調整を必要といたします。皮膚の量に差がある場合には適切に切除を加え左右差を整えます。眉毛の位置が原因の場合には、前額への注入施術なども有効な治療となります。
ラインの下の皮膚の余剰を切除します。その場合二重幅は少し狭くなります。
二重のラインを触りたくない場合には、上眼瞼のまつ毛の生え際で皮膚を切除する術式もございます。
皮膚切除が必要な場合は皮膚切除を加えます。内部に余剰組織があれば、内部処理を適切に行い切除を加えます。
二重のライン形成は挙筋腱膜と皮膚を7-0極細吸収糸によってしっかりと埋没縫合を行います。
二重の固定を緩めるように組織の癒着をはがし、新しい重瞼ラインの固定を7-0極細吸収糸によってしっかり行います。
傷跡の切除、再縫合を行い綺麗に整えます。内部処理は7-0極細吸収糸によってしっかり行います。
引き上げすぎている二重の固定を緩めるように組織の癒着をはがします。 新しい重瞼ラインの固定を7-0極細吸収糸によってしっかり行います。
組織の癒着を解除する、二重を狭くするなど、考えられる原因を一つ一つ改善させます。
必要に応じて眼瞼下垂手術をおこない修正いたします。
切開法により重瞼を作る際に徹底的に糸を探します。
当院の切開法による重瞼術は内部処理をすべて7-0極細吸収糸によって行いますので、術後に異物がまぶた内に残ることはございません。
当院は内部処理として中縫いを高性能吸収性極細糸でしっかりと行い、外縫いはさらに極細非吸収糸で行う、創傷治癒に最良な形成外科的縫合を採用しております。
極細透明糸による皮膚縫合も対応いたしております。
第110回 日本美容外科学会(JSAS)シンポジウム目 上眼瞼 二重修正からまなぶ二重手術/当院で行っている重瞼幅を狭くする二重修正術
二重修正術(重瞼修正切開術)の
動画
二重修正術(重瞼修正切開術)の
症例写真
術前は他院で埋没法、全切開を受けていらっしゃいました。目の開きを改善し、二重の幅を狭くしたいというご希望から、当院で眼瞼下垂手術+二重修正術を行いました。
- 眼瞼下垂手術
- ¥660,000
- 二重修正術
- ¥440,000
- ¥550,000
(組織の移動や移植を伴う複雑なもの)
腫れ、内出血、瞼の違和感、二重の傷跡、睫毛側皮膚の知覚低下、ラインの消失、瞼の形態の変化、顔の形態の変化、閉瞼不全、ドライアイ、ヘリング現象
症例経過写真
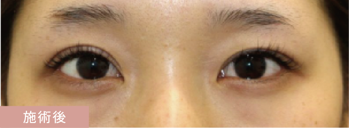
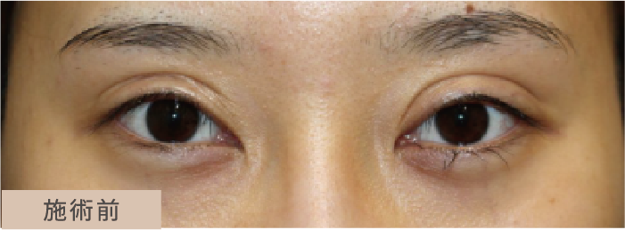
他院で全切開による二重形成を受けていらっしゃいましたが、二重が広すぎまつ毛の生え際が見えず、まつ毛も上に向けられないということで、当院で二重修正術により修正を行いました。
- 二重修正術
- ¥440,000
- ¥550,000
(組織の移動や移植を伴う複雑なもの)
腫れ、内出血、瞼の違和感、二重の傷跡、睫毛側皮膚の知覚低下、ラインの消失、瞼の形態の変化
症例経過写真
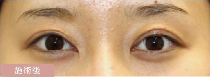
他院で全切開およびその修正の切開など3回ほど手術を受けていらっしゃいました。二重の幅が広すぎるので狭くしたいという希望から当院で二重修正術を行いました。
- 二重修正術
- ¥440,000
- ¥550,000
(組織の移動や移植を伴う複雑なもの)
腫れ、内出血、瞼の違和感、二重の傷跡、睫毛側皮膚の知覚低下、ラインの消失、瞼の形態の変化
二重修正術(重瞼修正切開術)の
料金
(組織の移動や移植を伴う複雑なもの)
※価格は全て税込です。
二重修正術(重瞼修正切開術)の
主なリスク・副作用
起こり得る可能性のあることを列挙しております。当院ではこれらの症状を起こさないよう、それぞれについてしっかりと対策をとり、細心の注意を払い施術を行っております。万一症状が起きた場合にも対処法をご用意しております。症状の改善を図るよう全力で診療を行います。
術後経過について
手術後の腫れ
手術後およそ3~7日で大きな腫れは引いていきます。浮腫みは1~2週間気になる場合があります。完成は約6か月です。
手術後の内出血
稀に出現することがあります。1~2週間で消失していきます。
瞼の違和感
全切開を行ったすぐは、瞼に違和感を生じます。時間の経過とともに緩和する症状です。
傷跡
術後1~2か月は赤みが分かります。経過とともに目立たなくなっていきます。
睫毛側皮膚の知覚異常
切開を行った睫毛側の皮膚の知覚が鈍くなります。経過とともに改善していきます。
リスク・副作用・合併症について
埋没した吸収糸の露出
抜糸を行う、または露出部分を切除し対処いたします。
感染
稀ですがどのような手術でも感染のリスクがあります。感染が起きた場合、抗生剤による治療や、膿がたまっている場合は小切開排膿を行い、感染源の摘出が必要となる場合があります。
二重の幅が広い・狭い
腫れが引くのを待ったうえ形を評価し、修正が必要な場合、可能なら再度二重修正術を行い幅の調整を行います。
ラインの消失
切開法による重瞼術の場合、ラインが消失することは極稀ですが、万一生じた場合は、再切開し、眼窩脂肪の摘出、内部処理の追加を行います。
瞼の形態の変化
睫毛が起きやすくなり、眼瞼縁の粘膜が気になることがあります。しっかりと深い二重になりやすい手術です。
重瞼修正の限界
前のラインが消えにくく残る場合があります。二重のラインが2本になることがあります。
広い二重を狭くする場合、前の手術の内容によっては修正が難しい場合があります。眼窩脂肪が残っていると修正できる可能性が高くなります。











