他院修正相談もお待ちしています。
形成外科専門医&
日本美容外科学会(JSAPS)
認定専門医ダブルライセンス
取得医師複数体制
専門医のみが在籍
完全個室で
プライバシーに配慮
院内CT
各線「麻布十番」駅直結
アクセス抜群
モニター
最大50%オフ
交通費補助プラン
他院での手術で
満足できなかった方へ。
プリモ麻布十番クリニックでは、2009年に開院して以来、多くの他院で行った手術の修正手術を行ってきました。他院での治療で満足いかなかった場合やなにかトラブルがあった場合、他のクリニックに相談するのは勇気がいると思いますが、カウンセリングだけでもご相談にいらしてください。
等で
満足できなかった方
他院での施術で鼻が曲がった
他院術後のピンチノーズなども
当院にご相談ください。
形成外科学会専門医が
培った経験と医療技術で、
前向きなご提案を
させていただきます。
専門医が、あなたに合った
美しい鼻をトータルに
提案します。
鼻は正面から見たときは顔の中心にあり、そのボリューム感、存在感を感じさせます。
また横から見た時には、その人の横顔の印象に大きく寄与します。
鼻の高さ、鼻背のラインなど、顔の立体感は鼻により左右されます。
鼻を高くしたい
丸い鼻を上品に細くしたい
鼻の形を整えたい方へ
ご希望に合わせて
最適な方法をご提案致します。
まずはお気軽にご相談ください。ご来院される患者様の大きな一歩を大切に、誠心誠意向き合い解決のお手伝いをしていきたいと思います。
当院では、訪れるすべての患者様に期待を上回る結果を出せるよう、専門医による的確な診察、カウンセリングを行い、決定した術式を丁寧に正確に行います。安全に、苦痛のない方法で医療サービスを提供できるよう、スタッフ、設備など余裕をもって整えております。
比較的難易度の高い手術、他院の修正手術も多数手がけており、カウンセリングにて症例写真をまじえてのご相談も可能ですので、お気軽にご来院ください。
鼻を下向きに、鼻の穴が目立ちにくく、
鼻先を高く
上向きの鼻を下向きに
鼻先に高さが欲しい方
団子鼻をすっきりと
鼻柱を下ろし鼻の下を
他院で受けた鼻先の生まれつき鼻が上向きの方、L型プロテーゼによる変形で鼻が上を向いてしまった方。
鼻先が低く鼻先の高さが欲しい方、鼻柱が上にあがっているので下げたい方に良い適応があります。
鼻の穴が正面から見えやすい方は、この手術により鼻の穴が見えにくくなります。
鼻中隔延長は
鼻先をしっかりと高く、
美しくする方法です。
鼻の美しさの基準として鼻翼-鼻柱関係ACR(alar-columellar relationship)という指標があります。
ACRとは左右の小鼻の付け根を結んだ線を底辺、鼻柱を頂点としてできる三角形の位置関係のことで、この形が下向きの二等辺三角形であることが理想的とされています。
反対に鼻柱基部が鼻翼基部より頭側に位置する状態は、鼻柱後退(retracted columella)と呼ばれ、美容的に良好な形態とは言えません。
鼻中隔延長術により鼻柱をしっかりと降ろすことで小鼻の位置が相対的に上がり、ACRを改善させることができます。
小鼻の位置や形態を整える施術は他にも複数あり、患者様の鼻の状態、ご希望にあわせて適切な施術方法を選択することで、自然な仕上がりを実現いたします。
鼻孔縁のボリュームが大きく小鼻が垂れ下がっている方には鼻孔縁挙上術が適応になります。
反対に鼻孔縁が薄く鼻の穴が見えやすい方には鼻孔縁形成術が適応になります。
鼻翼が大きく横に張り出している方には鼻翼縮小術が適応になります。
鼻翼基部自体が下垂している方には鼻翼挙上術が適応になります。
鼻中隔延長術
当院での手術の特徴
オープン法、クローズ法が選択可能です。
鼻先の高さ、向きを大きく変化させる
ことができます。
軟骨採取部位は基本的に耳甲介、
耳珠からで傷は目立ちません。
L型プロテーゼによる変形の
修正に適しています。
手術は気道の確保を安全に行うため、
全身麻酔下におこないます。
求める変化の大きさ、もともとの鼻の状態に応じ、採取部位を耳介軟骨、肋軟骨、あるいは鼻中隔軟骨から選択し、必要量のみ採取いたします。(上の図は耳介軟骨を採取して鼻中隔延長をするイメージ)
耳介軟骨からとる場合は、耳の後ろのしわに沿って約2cm程の傷から採取します。傷はほとんどわからなくなり、耳の変形も、機能障害もきたしません。
肋軟骨からとる場合は、バストのアンダーの位置に約3cm程の傷から採取します。傷は最小限になるよう形成外科縫合を行います。移植材料となる軟骨が大きくとれるので、大きな変化を求める場合や、術後の修正例の場合に適しております。採取部の変形などはありません。
鼻中隔軟骨から採取する場合は、軟骨が小さいため、それほど大きな変化を望まない場合などになります。別の所に採取部の傷を残さない良い方法です。(下の図は鼻中隔)
アプローチは経鼻柱切開(オープンアプローチ)から、術野を広く展開し、確実に操作を行います。鼻中隔軟骨に移植軟骨を組み合わせ延長し鼻の向き、高さを変えていきます。ご希望に応じ鼻の脂肪を部分的に除去し細っそりとさせたり、インプラントによる隆鼻術を併用し、より印象的な鼻に変化させます。鼻柱の傷あとはあまり目立ちません。
日本人はもともと鼻中隔軟骨や、鼻翼軟骨といった鼻の骨格が小さく、そして弱い傾向があります。そのため上向きの鼻であったり、低い鼻であったり、団子鼻であったりする人が多くみられます。
鼻先にただ軟骨を乗せるように移植しても鼻翼軟骨が支えきれず変形し、思うように鼻先を高くできない場合が多いようです。また乗せた軟骨が不安定なため、上下、左右に移動しやすくなります。
青い部分が移植した軟骨です。この軟骨の固定により、鼻の高さ、細さ、向きが大きく調節できます。
第51回日本形成外科学会総会/目的に応じた鼻中隔延長術のバリエーション
第109回日本美容外科学会(JSAS)/「耳介軟骨を使用した鼻中隔延長術」
大場教弘 理事長が第101回日本美容外科学会で報告した方法「鼻中隔延長術+鼻背部軟骨移植術」
鼻中隔延長術は
通常I型プロテーゼを用いた隆鼻術と併用されることが多い術式ですが、異物であるプロテーゼの使用に抵抗感がある場合に、プロテーゼを用いず自家組織のみで鼻の下半分を高く形成することができます。
鼻中隔延長術により鼻尖が高くなった分、鼻尖と鼻背の高さにギャップが生じる際に、鼻骨下部から延長軟骨までの鼻背部に自家軟骨を移植する手術を行い、鼻背の輪郭形成をおこなっています。
Case.01
鼻の下半分を高く整えたいという希望から鼻中隔延長術+鼻背部軟骨移植術を行いました。移植軟骨は耳介軟骨を用いました。鼻先の高さや形態を調節するためにonlay graftを耳介軟骨1枚で用いました。鼻尖と鼻骨下端を結ぶ鼻背ラインを整える目的に鼻背部軟骨移植術を行います。
鼻中隔延長術をベースに、ご希望の鼻の形を再現するべく様々な軟骨移植術を併用いたします。代表的な軟骨移植術を紹介いたします。
Laterl crural graft
細くなりすぎた鼻先を自然に整えたい場合などに用います。
Rim graft
ピンチノーズの修正に用いることがあります。鼻孔縁をほんの少しだけ下げる効果が期待できる場合があります。
Columellar graft
鼻柱をさらにしっかりと下ろしたい場合に用います。鼻柱の形にこだわりがある場合にも、希望の形に近くなるよう形成し用います。鼻の下が短くなる効果も期待できます。
Shield graft
鼻柱上部から鼻先を斜め下方向に出す効果があります。鼻柱基部から鼻先が直線的にならず、横から見ていわゆる四角形の鼻先を形成するために用いることもあります。
Onlay cap graft
鼻先にもう少し高さが欲しい場合に用います。鼻先をほっそりと見せる効果もあります。希望の鼻先の向きを叶えるための微調整に用いることもあります。
鼻中隔延長術を行ったが
鼻中隔延長術によって
延長方向が上向き、
鼻先が太すぎる、鼻中隔延長術は、以前の手術の修復の際にしばしば用いられる術式ですが、以前の鼻中隔延長術の結果に不満足な場合にも、鼻中隔延長術修正術として鼻中隔延長術のやり直しや微調整を行います。
根本的にやり直す場合には、耳介軟骨や肋軟骨を採取し、鼻中隔軟骨のしっかりとした部分を探し、再度鼻中隔延長を行います。その際、鼻翼軟骨周囲に存在する瘢痕組織を可及的に切除し可動性を可能な限り得るようにします。
皮膚が薄くなっている場合には、真皮脂肪移植や筋膜移植を行います。
他院で行った鼻中隔延長術の形が不満な場合、鼻中隔延長術修正術を行います。これまでの他院トラブル例では、感染による変形、移植軟骨の曲がり、延長方向が好みでない、太すぎるなどがあげられます。
移植軟骨を取り替えたり、軟骨やPDSプレートで補強したりいたします。耳介軟骨で補える場合は耳介軟骨のみ採取します。耳介軟骨では足りない場合、肋軟骨を用います。鼻中隔延長術で形成した鼻先の向きの不満、高さの不満、丸さ、太さの不満など修正点をすべて改善するよう修正術を行います。
オープンアプローチから鼻先の以前の手術を把握するよう丁寧に剥離します。不要なモノは切除し、瘢痕を解除していきます。必要な延長軟骨の量と強度を予測し延長軟骨を採取します。鼻翼軟骨周囲の瘢痕を解除し鼻中隔軟骨に延長軟骨を好みの向き、延長方向へ固定し鼻中隔延長術を行います。
Case.01
鼻中隔延長術を行った後、感染や何らかの原因で強い炎症を伴って鼻先が拘縮してしまった場合、時期を待って肋軟骨移植による修正を行う方法があります。
拘縮し鼻先や鼻尖が後退している状態の改善を図るため、open approachから拘縮をできるだけ解除します。
肋軟骨で作成したL型フレームを移植します。
肋軟骨L型フレームを外側鼻軟骨と前鼻棘に縫合固定します。
鼻翼軟骨をL型フレームに引き上げ固定します。
必要に応じて鼻柱部分に軟骨移植を追加します。
鼻先を耳介軟骨や軟部組織でカバーします。
(手術既往あり プロテーゼあり)
鼻の整形手術を以前したことがあり、当院でプロテーゼを用いて鼻中隔延長術の鼻修正をした症例経過写真の一覧です。
IC 鼻中隔延長術
+他院鼻プロテーゼ加工術
症例経過写真
術前は他院で5年前にI型プロテーゼを入れていらっしゃいました。鼻先を自然にほっそりとさせたいというご要望から、当院で鼻中隔延長術+他院鼻プロテーゼ加工術を行いました。
費用(税込、麻酔代別)
リスク・副作用(起こり得る可能性のあること)
腫れ、内出血、鼻出血、鼻づまり、鼻柱の傷跡、鼻先、耳介の知覚低下、鼻の傾き、鼻尖部の挙上ができない、鼻の形の左右差、プロテーゼの動揺
MH 鼻中隔延長術+鼻尖形成術
+他院鼻プロテーゼ加工術
症例経過写真
5年前に他院でI型プロテーゼを入れていましたが曲がってしまっていました。曲がりを矯正し鼻先を前に出す目的で、鼻中隔延長術+鼻尖形成術+他院鼻プロテーゼ加工術を行いました。
費用(税込、麻酔代別)
リスク・副作用(起こり得る可能性のあること)
腫れ、内出血、鼻出血、鼻づまり、鼻柱の傷跡、鼻先、耳介の知覚低下、鼻の傾き、鼻尖部の挙上ができない、鼻の形の左右差、プロテーゼの動揺
MM 鼻中隔延長術+鼻尖形成術
+他院鼻プロテーゼ入れ替え術
+眉間プロテーゼ
(特別注文プロテーゼ)症例経過写真
他院で半年前にI型プロテーゼを入れていらっしゃいましたが、プロテーゼが曲がっている状態でした。曲がりを矯正し高さも出したいということで、当院で鼻中隔延長術+鼻尖形成術+他院鼻プロテーゼ入れ替え術+眉間プロテーゼ(特別注文プロテーゼ)手術を行いました。
費用(税込、麻酔代別)
リスク・副作用(起こり得る可能性のあること)
腫れ、内出血、鼻出血、鼻づまり、鼻柱の傷跡、鼻先、耳介の知覚低下、鼻の傾き、鼻尖部の挙上ができない、鼻の形の左右差、プロテーゼの動揺
(手術既往あり プロテーゼなし)
鼻の整形手術を以前したことがあり、鼻中隔延長術の鼻修正をした症例経過写真の一覧です。
MO 鼻中隔延長術(肋軟骨)
+鼻尖形成術+鼻背部軟骨移植術
症例経過写真
他院で鼻中隔矯正術を受けていらっしゃいました。鼻先を自然に高くしたいというご希望から、当院で鼻中隔延長術(肋軟骨)+鼻背部軟骨移植術+鼻尖形成術を行いました。
費用(税込、麻酔代別)
リスク・副作用(起こり得る可能性のあること)
腫れ、内出血、鼻出血、鼻づまり、鼻柱の傷跡、鼻先、耳介の知覚低下、鼻の傾き、鼻尖部の挙上ができない、鼻の形の左右差
BC 鼻中隔延長術+鼻背部軟骨移植術
+鼻翼縮小術(内側法)
+鼻尖縮小術症例経過写真
他院でGメッシュという糸で鼻筋を高くしていました。鼻先の丸さが気になりしっかりと細くしたいということで、Gメッシュを除去して鼻中隔延長術+鼻背部軟骨移植術+鼻翼縮小術(内側法)+鼻尖縮小術を行いました。上口唇短縮術+口角挙上術を併せて行っています。数日前に他院で受けた手術の影響で内出血が見られます。
費用(税込、麻酔代別)
リスク・副作用(起こり得る可能性のあること)
腫れ、内出血、鼻出血、鼻づまり、鼻柱の傷跡、鼻先、耳介の知覚低下、鼻の傾き、鼻尖部の挙上ができない、鼻の形の左右差、鼻先が硬くなる、鼻翼基部の傷跡、鼻尖部が丸く感じる
MP 鼻中隔延長術+鼻背部軟骨移植術
+鼻尖形成術+他院鼻プロテーゼ抜去術
症例経過写真
費用(税込、麻酔代別)
リスク・副作用(起こり得る可能性のあること)
腫れ、内出血、鼻出血、鼻づまり、鼻柱の傷跡、鼻先、耳介の知覚低下、鼻の傾き、鼻尖部の挙上ができない、鼻の形の左右差、鼻の高さの変化、鼻先の変形
(手術既往なし プロテーゼあり)
当院でプロテーゼを用いて鼻中隔延長術の鼻整形をした症例経過写真の一覧です。
IW 鼻中隔延長術+隆鼻術
+眉間プロテーゼ+鼻翼縮小術
(内側法+外側法)症例経過写真
手術歴のない方で、鼻先から鼻筋にかけて高くし、小鼻もすっきりさせたいとのご希望でした。鼻中隔延長術+隆鼻術+眉間プロテーゼ+鼻翼縮小術(内側法+外側法)を行いました。プロテーゼはシリコンのオーダーメイドプロテーゼを使用しました。
費用(税込、麻酔代別)
リスク・副作用(起こり得る可能性のあること)
腫れ、内出血、鼻出血、鼻づまり、鼻柱の傷跡、鼻先、耳介の知覚低下、鼻の傾き、鼻尖部の挙上ができない、鼻の形の左右差、プロテーゼの動揺、鼻翼基部の傷跡、鼻尖部が丸く感じる
IB 鼻中隔延長術+隆鼻術
+眉間プロテーゼ
+頬アゴ脂肪吸引 症例経過写真
鼻を全体的に高く、鼻先を長くしたい、小鼻の広がりと笑った時の下ぶくれが気になるということで、当院で鼻中隔延長術+隆鼻術+眉間プロテーゼ手術、頬アゴ脂肪吸引手術を行いました。
費用(税込、麻酔代別)
リスク・副作用(起こり得る可能性のあること)
腫れ、内出血、鼻出血、鼻づまり、鼻柱の傷跡、鼻先、耳介の知覚低下、鼻の傾き、鼻尖部の挙上ができない、鼻の形の左右差、プロテーゼの動揺、創の赤み、盛り上がり、かゆみ、皮膚の張りの低下、吸引部位のしびれ、知覚低下、凹凸、左右差
JN 鼻中隔延長術+隆鼻術
+眉間プロテーゼ 症例経過写真
鼻先から鼻筋にかけて高くしたいとのご希望でした。鼻中隔延長術+隆鼻術+眉間プロテーゼを行いました。プロテーゼはシリコンのオーダーメイドプロテーゼを使用しました。
費用(税込、麻酔代別)
リスク・副作用(起こり得る可能性のあること)
腫れ、内出血、鼻出血、鼻づまり、鼻柱の傷跡、鼻先、耳介の知覚低下、鼻の傾き、鼻尖部の挙上ができない、鼻の形の左右差、プロテーゼの動揺
(手術既往なし プロテーゼなし)
当院で自家組織(耳介軟骨、肋軟骨、鼻中隔軟骨)を採取し鼻中隔延長術の鼻整形をした症例経過写真の一覧です。
LV 鼻中隔延長術(肋軟骨)
+鼻尖形成術+鼻背部軟骨移植術
+鼻翼縮小術(外側法)
+鼻翼挙上術 症例経過写真
鼻先を高く、細くすっきりとした鼻にしたいというご要望から、当院で鼻中隔延長術(肋軟骨)+鼻尖形成術+鼻背部軟骨移植術+鼻翼縮小術(外側法)+鼻翼挙上術を行いました。
費用(税込、麻酔代別)
リスク・副作用(起こり得る可能性のあること)
腫れ、内出血、鼻出血、鼻づまり、鼻柱の傷跡、鼻先、耳介の知覚低下、鼻の傾き、鼻尖部の挙上ができない、鼻の形の左右差、鼻尖部が丸く感じる、鼻翼が厚くなる
KY 鼻中隔延長術+鼻背部軟骨移植術
+鼻尖形成術
+鼻翼挙上術 症例経過写真
鼻先を高くしたい、小鼻の広がりが気になるということで、当院で鼻中隔延長術+鼻背部軟骨移植術+鼻尖形成術+鼻翼挙上術を行いました。
費用(税込、麻酔代別)
リスク・副作用(起こり得る可能性のあること)
腫れ、内出血、鼻出血、鼻づまり、鼻柱の傷跡、鼻先、耳介の知覚低下、鼻の傾き、鼻尖部の挙上ができない、鼻の形の左右差、鼻翼が厚くなる、鼻尖部が丸く感じる、違和感、鼻先が硬くなる
X 鼻中隔延長術+鼻背部軟骨移植術
+鼻翼縮小術(内側法)
症例経過写真
鼻先を高くしたい、右の鼻翼が低いのが気になるということで、当院で鼻中隔延長術+鼻背部軟骨移植術+鼻翼縮小術(内側法)を行いました。
費用(税込、麻酔代別)
リスク・副作用(起こり得る可能性のあること)
腫れ、内出血、鼻出血、傷跡、鼻先、耳介の知覚低下、鼻づまり、鼻の傾き、左右差、鼻尖部の挙上ができない、鼻尖部が丸く感じる
鼻中隔延長術
よくある質問Q&A
鼻中隔延長術についての質問にお答えしています。それぞれの質問をクリックすると回答が見られます。
PRICE INFORMATION
※価格は全て税込です。
耳介軟骨の場合
肋軟骨の場合
¥ 880,000他院修正費
¥ 330,000起こり得る可能性のあることを列挙しております。当院ではこれらの症状を起こさないよう、それぞれについてしっかりと対策をとり、細心の注意を払い施術を行っております。万一症状が起きた場合にも対処法をご用意しております。症状の改善を図るよう全力で診療を行います。
■ 耳介軟骨
耳介後面に傷が残ります。
耳介の感覚が鈍くなることがあります。軽い圧痛があります。
耳たぶ周囲から主に軟骨を採取するため、術後イヤホンを装着しにくくなることがあります。
■ 鼻中隔軟骨
軟骨採取時に鼻粘膜に傷が残ることがあります。
鼻中隔穿孔のリスクがあります。術後に指やモノを指しいれないようにしてください。
■ 肋軟骨
バストの下に傷が残ります。体質によりケロイドとなる可能性があります。
極稀に軟骨採取の際、気胸を来す可能性があります。
術後若干運動の際に痛みがあります。
希望のイメージにオーダーメイド
プロテーゼ
隆鼻術とは鼻根部から鼻背にかけてプロテーゼを用いたり、自家組織を用いて鼻を高くする方法です。
鼻を高くする方法には、フィラー注入によるものと、シリコンプロテーゼによる隆鼻術があります。
鼻根部から鼻尖にかけて
鷲鼻にしたいなどの鼻筋の形を
鼻先が鼻中隔延長術
フィラー注入による隆鼻術は手軽に鼻を高くすることができます。
吸収される物質のため、繰り返し注入が必要ですが、生体にとって安全な物質ですので異物に抵抗感がある方にも安心して施術していただけます。質感は医療用注入剤によりやや柔らかいものから硬いものまで種類により異なります。
プロテーゼは鼻の穴の中から入れるため傷は表面上まったくわかりません。
当院ではL型プロテーゼによる弊害(鼻が上を向く、鼻尖の皮膚が薄くなるなど)を避けるため、基本的にI型のプロテーゼを用いております。各種サイズを取りそろえてありますので、ご希望に応じ最適なサイズを選び、形にあわせ削り出しフィットさせます。挿入部位は鼻骨の骨膜下に入れるので、術後プロテーゼが動揺することはありません。
またプルアウト固定という方法でプロテーゼの上下を真ん中の最適な位置に固定するので、曲がらず、確実にまっすぐに入れることができます。
当院では鼻のご相談の際に、できるだけ3Dシミュレーション画像を用いたカウンセリングを行っております。その画像からご希望の形態を知ることができ、また手術前からの変化量を定量的に知ることができます。
オーダーメイド特別注文プロテーゼを作成する場合、事前にCTを撮影いただき、そのデータからご自身の実態モデルを作成し、そのうえでご希望の変化量をレジンなどの樹脂を用いてプロテーゼの型どりを行います。その型からシリコンプロテーゼ作成いたします。作成されたオーダーメイド特別注文プロテーゼは、ご自身の骨にフィットするため、左右方向、上下方向にずれにくく、プロテーゼの辺縁も骨になめらかに移行するため、プロテーゼの輪郭が出にくく、自然な形態を永久に保つことが可能です。もちろんご希望の変化によってプロテーゼの微調整は比較的簡単に可能です。
CTから得られた
データをもとに
実態モデルを作成します。
希望の形態になるよう、
シリコンプロテーゼの
設計を行います。
オーダーメイドシリコンプロテーゼのメーカーから、多くの症例に安全かつ効果的に使用しているということで当院が表彰され、FITmeのキードクターとして認定されました。
異物を入れたくないが、自分の組織をつかってなら鼻を高くしたいという希望があります。そのようなご希望に沿うために、当院では自家組織による隆鼻術を行っております。
軟骨は吸収が少なく、形態が最も安定しやすい移植材料です。真皮脂肪、筋膜、脂肪注入などはある程度吸収されますので、それも見越して少し過矯正にいたします。吸収の程度は予想が難しいので、後日追加の加療が必要となる可能性があります。また修正の際に、自家組織による方法は、プロテーゼによる隆鼻術よりも修正の難易度が高くなります。
肋軟骨、耳介軟骨などを採取
臀部、耳介後面、鼠径部などより採取
側頭筋膜、大腿筋膜などを採取
上腕、腹部、大腿部などから採取
医療用注入剤を入れすぎて
医療用注入剤が分解されず
フィラー注入したが
長期持続型の注入剤を
非吸収性注入剤医療用注入剤を注入された鼻は丸くみずみずしく、入れすぎると太くなります。吸収されにくくなり不自然に残ることもしばしばみられます。その場合、医療用注入剤分解剤を用いることですぐに分解が可能です。
分解直後に医療用注入剤を入れなおすことは難しいですが、1週間程度経過を待てば問題なく医療用注入剤の再注入が可能です。再注入の際には長期持続型医療用注入剤を用いることで、医療用注入剤自体が硬く流れにくくなっており、自然に形態を整えることが可能です。
医療用注入剤分解剤にはアレルギーが100人に1人くらいの割合で起きることが報告されています。当院ではあらかじめ少量で皮内テストを行い注入可能かどうかの判定をしております。
長期持続型の注入剤やほかの非吸収性注入剤(長期持続型フィラー、古い注入物など)が入っている場合には、外科的に摘出するか吸引除去を試みます。
プロテーゼの形が
プロテーゼが触ると他院で入れたプロテーゼが気に入らない場合、プロテーゼ入れ替え術によって修正を行います。L型シリコンプロテーゼやI型シリコンプロテーゼは輪郭が出やすいため、当院ではゴアテックス製プロテーゼを採用しております。
この場合、眉間部分から一体型で用いる場合が多くなりますが、眉間部分なしで形成も可能です。プロテーゼが触ると動くのが嫌という場合には、鼻骨骨膜下へポケットを作成し入れ替える事で動揺しなくなり、触っても自然な感触になります。
The usefulness of patient-specific 3D nasal silicone implant using 3D design and order form
Lee I, Ohba N, Lee H, Lee KS, Lee M 2 February 2022 Volume 2022:15 Pages 177—184
KB 鼻中隔延長術+隆鼻術
+眉間プロテーゼ 症例経過写真
鼻先を伸ばして高くする目的で、鼻中隔延長術+隆鼻術+眉間プロテーゼ手術を行いました。
費用(税込、麻酔代別)
リスク・副作用(起こり得る可能性のあること)
腫れ、内出血、鼻出血、鼻づまり、鼻柱の傷跡、鼻先、耳介の知覚低下、鼻の傾き、鼻尖部の挙上ができない、鼻の形の左右差、プロテーゼの動揺
N 眉間プロテーゼ+隆鼻術
症例経過写真
眉間から鼻先までしっかりと高くして鼻筋を通したいというご要望から、当院にて隆鼻術+眉間プロテーゼを行いました。
費用(税込、麻酔代別)
リスク・副作用(起こり得る可能性のあること)
腫れ、内出血、鼻出血、鼻づまり、傷跡、鼻先、耳介の知覚低下、鼻の傾き、鼻尖部の挙上ができない、鼻の形の左右差、プロテーゼの動揺
F 鼻中隔矯正術+鼻中隔延長術
+鼻尖形成術+隆鼻術+整鼻術
+眉間プロテーゼ
(特別注文プロテーゼ)症例経過写真
鼻の曲がりを矯正し、眉間から鼻先までしっかりと高く整える目的で、当院で鼻中隔矯正術+鼻中隔延長術+鼻尖形成術+隆鼻術+整鼻術+眉間プロテーゼ(特別注文プロテーゼ)手術を行いました。
費用(税込、麻酔代別)
リスク・副作用(起こり得る可能性のあること)
腫れ、内出血、鼻出血、鼻づまり、鼻柱の傷跡、鼻先、耳介の知覚低下、鼻の傾き、段差、左右差、プロテーゼの動揺、鼻尖部の挙上ができない
隆鼻術Q&A
PRICE INFORMATION
※価格は全て税込です。
フィラー注入
0.1ccあたり
¥ 9,900高密度・高硬度の
形成注入
0.1ccあたり
¥ 13,200オーダーメイドプロテーゼ
(ソフトシリコンまたはゴアテックス)
特別注文プロテーゼ
(実体モデル作成費含む)
自家組織による隆鼻術
¥ 440,000起こり得る可能性のあることを列挙しております。当院ではこれらの症状を起こさないよう、それぞれについてしっかりと対策をとり、細心の注意を払い施術を行っております。万一症状が起きた場合にも対処法をご用意しております。症状の改善を図るよう全力で診療を行います。
眉間を高くしておでこから
鼻へのつながりを滑らかに整えます
おでこと鼻のつながりを
顔のほりを作りたい方
自然な忘れ鼻にしたい方
眉間にプロテーゼを挿入し、眉と眉の間の高さを補います。おでこから鼻への輪郭を滑らかに整え、立体的な顔立ちに仕上がります。眉間だけを高くすると鼻筋にかけての輪郭が不自然になることがありますので、基本的には隆鼻術と併せて行い、眉間から鼻先にかけてバランス良く鼻全体を高く整えます。
プロテーゼはオーダーメイド特別注文プロテーゼあるいはゴアテックス素材のものを使用します。ゴアテックスはシリコンと比較するとやわらかくしなやかで加工がしやすく、人体になじみやすいため被膜ができにくい特徴があります。手術の際は折れ曲がりがないことを丁寧に確認し正確に固定します。
鼻腔内から切開しますので外見上傷が残ることはありません。
手術よりもお手軽に眉間を高くする方法としてはフィラー注入があります。短時間の施術で行えてダウンタイムも少ないですが、徐々に吸収されるため、効果を維持するためには継続して注入する必要があります。医療用注入剤を注入しすぎると太く不自然になるのがデメリットです。
眉間プロテーゼ
当院の特徴
オーダーメイド特別注文プロテーゼ
あるいはゴアテックス素材の
プロテーゼを採用しています。
骨膜下にポケットを作成するため
プロテーゼが動揺しません。
上下左右プルアウト固定を
おこなうため、曲がらず適した位置に
固定します。
手術は静脈麻酔を用い、意識、
痛みのない状態でおこないます。
内視鏡を用いることで滑車上神経を
守り、剥離範囲を最小限にすることが
できます。
手術前に3Dシミュレーションを行い、患者様の鼻の状態などを立体的に評価します。そのうえで患者様のご希望に合わせてバランスの良い仕上がりになるように最適なプロテーゼを選択します。
手術は全身麻酔あるいは静脈麻酔下に行います。
鼻腔内切開から鼻背を剥離し、鼻骨部分から骨膜下に剥離腔を作成します。鼻骨を超え、前頭骨の骨膜下を必要十分量剥離しポケットを作成します。眉間から糸を通し、希望に応じ形成したゴアテックスプロテーゼを糸で牽引して折れ曲がりがないように慎重に挿入します。挿入の際pullout固定を行い、プロテーゼを最適な位置に誘導固定します。
open approachまたはclosed approachから鼻背にアプローチし、鼻骨、前頭骨の骨膜下を剥離しポケットを作成します。
この際に、カールストルツ社製フルHD内視鏡を挿入してモニターを見ながら前頭骨骨膜下を剥離します。
剥離範囲はプロテーゼの大きさを参考に最小限となるようにいたします。プロテーゼ挿入後はプロテーゼの折れ曲がりなどがないこと内視鏡下に確認します。滑車上神経を温存しながら骨上を剥離します。
当院では鼻のご相談の際に、できるだけ3Dシミュレーション画像を用いたカウンセリングを行っております。その画像からご希望の形態を知ることができ、また手術前からの変化量を定量的に知ることができます。
オーダーメイド特別注文プロテーゼを作成する場合、事前にCTを撮影いただき、そのデータからご自身の実態モデルを作成し、そのうえでご希望の変化量をレジンなどの樹脂を用いてプロテーゼの型どりを行います。その型からシリコンプロテーゼ作成いたします。作成されたオーダーメイド特別注文プロテーゼは、ご自身の骨にフィットするため、左右方向、上下方向にずれにくく、プロテーゼの辺縁も骨になめらかに移行するため、プロテーゼの輪郭が出にくく、自然な形態を永久に保つことが可能です。もちろんご希望の変化によってプロテーゼの微調整は比較的簡単に可能です。
CTから得られた
データをもとに
実態モデルを作成します。
希望の形態になるよう、
シリコンプロテーゼの
設計を行います。
オーダーメイドシリコンプロテーゼのメーカーから、多くの症例に安全かつ効果的に使用しているということで当院が表彰され、FITmeのキードクターとして認定されました。
眉間プロテーゼが曲がっている
眉間プロテーゼが高すぎる
眉間プロテーゼの形が気に他院で入れたプロテーゼの始まり部分が分かりやすく、眉間部分からなだらかに入れて自然にしたい場合など眉間プロテーゼが有効です。通常ゴアテックス製プロテーゼで作成しますが、シリコンによるオーダーメイドプロテーゼの作成も可能です。
他院で入れた眉間プロテーゼが曲がっている、高すぎる、不自然などの不満に対し、眉間プロテーゼの入れ替えを行います。
The usefulness of patient-specific 3D nasal silicone implant using 3D design and order form
Lee I, Ohba N, Lee H, Lee KS, Lee M 2 February 2022 Volume 2022:15 Pages 177—184
LO 鼻中隔延長術修正術
+他院鼻プロテーゼ入れ替え術
+眉間プロテーゼ
(特別注文プロテーゼ)症例経過写真
他院で10年ほど前にプロテーゼを入れていらっしゃいました。鼻先が細すぎてとがった感じが気になり修正したいということで、当院で他院鼻中隔延長術修正術+他院鼻プロテーゼ入れ替え術+眉間プロテーゼ手術(特別注文プロテーゼ)を行いました。
費用(税込、麻酔代別)
リスク・副作用(起こり得る可能性のあること)
腫れ、内出血、鼻出血、鼻づまり、鼻柱の傷跡、鼻先、耳介の知覚低下、鼻の傾き、鼻尖部の挙上ができない、鼻の形の左右差、プロテーゼの動揺
KB 鼻中隔延長術+隆鼻術
+眉間プロテーゼ 症例経過写真
鼻先を伸ばして高くする目的で、鼻中隔延長術+隆鼻術+眉間プロテーゼ手術を行いました。
費用(税込、麻酔代別)
リスク・副作用(起こり得る可能性のあること)
腫れ、内出血、鼻出血、鼻づまり、鼻柱の傷跡、鼻先、耳介の知覚低下、鼻の傾き、鼻尖部の挙上ができない、鼻の形の左右差、プロテーゼの動揺
N 眉間プロテーゼ+隆鼻術
症例経過写真
眉間から鼻先までしっかりと高くして鼻筋を通したいというご要望から、当院にて隆鼻術+眉間プロテーゼを行いました。
費用(税込、麻酔代別)
リスク・副作用(起こり得る可能性のあること)
腫れ、内出血、鼻出血、鼻づまり、傷跡、鼻先、耳介の知覚低下、鼻の傾き、鼻尖部の挙上ができない、鼻の形の左右差、プロテーゼの動揺
眉間プロテーゼQ&A
眉間プロテーゼについての質問にお答えしています。それぞれの質問をクリックすると回答が見られます。
PRICE INFORMATION
※価格は全て税込です。
眉間プロテーゼ
¥ 330,000起こり得る可能性のあることを列挙しております。当院ではこれらの症状を起こさないよう、それぞれについてしっかりと対策をとり、細心の注意を払い施術を行っております。万一症状が起きた場合にも対処法をご用意しております。症状の改善を図るよう全力で診療を行います。
鼻先をもう少し細くするなど微調整に
鼻先の形を少し整えたい方
鼻先の形を自然に
当院の鼻尖形成術は、基本的に鼻中隔延長術を行っている方の微調整や修正に用いる術式です。
鼻先をもう少し細くする、あるいはもう少し太くする、自然にする、もう少し高くする、もう少し向きを変えるなどの、様々なご希望の際に用います。
鼻の組織を切除するだけでなく、耳介軟骨、肋軟骨といった鼻以外の場所から軟骨を採取し、鼻先へ軟骨移植を行い形を整えたり、脂肪移植、真皮脂肪移植、筋膜移植などを利用し軟部組織を鼻先に移植する方法です。以前の手術を修正する際に用いることがあります。
鼻尖形成術当院の特徴
クローズ法は傷が鼻腔内のみで
目立ちません。オープン法で
行う場合もございます。
脂肪の除去、軟骨の切除、移植軟骨の
縫合を最適におこないます。
必要に応じ軟骨、軟部組織の移植を
組み合わせます。
静脈麻酔により手術を行うので痛みや
怖さの心配はありません。
耳介軟骨や肋軟骨を必要最小限採取し鼻へ移植します。
クローズ法、またはオープン法で手術は行います。鼻先の余分な組織を切除します。その方の鼻の皮膚の厚さや軟骨の大きさにより、軟骨の縫合をおこないます。軟骨移植や軟部組織移植を必要に応じ組み合わせます。手術は約1時間30分で終了します。術後5日ほどギプスを固定いたします。
鼻翼軟骨の中間脚部分を縫合し、鼻先のアクセントと強度を作ります(dome suture)
必要に応じ鼻翼軟骨の引き寄せを行います(interdomal suture)
これにより鼻先が細く形成されます。
第109回日本美容外科学会(JSAS)/当院における鼻尖のprojectionを得る手術 〜鼻中隔延長術を用いないケースについて〜
当院の鼻尖形成術は、鼻中隔延長術をベースにし、ご希望の鼻の形を再現するべく様々な軟骨移植術、脂肪移植、軟部組織移植術を行う術式です。代表的な軟骨移植術を紹介いたします。
Laterl crural graft
細くなりすぎた鼻先を自然に整えたい場合などに用います。
Rim graft
ピンチノーズの修正に用いることがあります。鼻孔縁をほんの少しだけ下げる効果が期待できる場合があります。
Columellar graft
鼻柱をさらにしっかりと下ろしたい場合に用います。鼻柱の形にこだわりがある場合にも、希望の形に近くなるよう形成し用います。鼻の下が短くなる効果も期待できます。
Shield graft
鼻柱上部から鼻先を斜め下方向に出す効果があります。鼻柱基部から鼻先が直線的にならず、横から見ていわゆる四角形の鼻先を形成するために用いることもあります。
Onlay cap graft
鼻先にもう少し高さが欲しい場合に用います。鼻先をほっそりと見せる効果もあります。希望の鼻先の向きを叶えるための微調整に用いることもあります。
鼻先が細すぎる状態(pinch nose)を改善させる方法の一つにLaterl crural graftがあります。
鼻翼軟骨外側脚上を中心に軟骨を移植し補強します。これにより細すぎる鼻先が自然に改善いたします。pinch noseを修正する方法のひとつです。希望によってonlay graftや脂肪移植を併用します。
Case.01
鼻尖縮小術を行い鼻先が小さくなりすぎ、鼻翼との溝もわかりやすくなってしまったのを改善したいという希望からLaterl crural graft & onlay graftを行いました。
費用(税込、麻酔代別)
リスク・副作用(起こり得る可能性のあること)
腫れ、内出血、鼻出血、鼻づまり、違和感、鼻先・耳介の知覚低下、鼻の傾き、左右差、鼻先が硬くなる
Case.02
鼻尖縮小術によって鼻先が細くなりすぎたので、自然に修正したいという希望からlareral crural graft & onlay graft & 脂肪移植を行いました。
費用(税込、麻酔代別)
リスク・副作用(起こり得る可能性のあること)
腫れ、内出血、鼻出血、鼻づまり、違和感、鼻先・耳介の知覚低下、鼻の傾き、左右差、鼻先が硬くなる
他院で鼻尖形成術を
鼻尖形成術後に鼻先が他院で鼻の形成術を受けたが、あと少し細くしたい、出ているところを削りたい、皮膚が薄くなり軟骨がわかりやすくなったのを修正したい、少し高さの調整をしたい、鼻先の形を変化させいたいなどの際に鼻尖形成術を行う場合があります。
鼻尖形成術で修正困難な場合には、鼻中隔延長術を用います。
手術はオープンアプローチから行う場合が多くなりますが、可能であればクローズドアプローチからも手術を行います。
耳介からの軟骨移植術、耳介後面からの皮下脂肪移植などが多く用いられます。軟骨を削り、脂肪組織を移植することで鼻先の変形が修正可能です。鼻先の組織不足や切除しすぎなどから凹んでいる場合などには軟骨移植術や脂肪移植が有効です。
軟骨のcolumellar-tip graft、onlay graft、alar batten graft、rim graftなどの移植方法がしばしば用いられます。
LV 鼻中隔延長術(肋軟骨)
+鼻尖形成術+鼻背部軟骨移植術
+鼻翼縮小術(外側法)
+鼻翼挙上術 症例経過写真
鼻先を高く、細くすっきりとした鼻にしたいというご要望から、当院で鼻中隔延長術(肋軟骨)+鼻尖形成術+鼻背部軟骨移植術+鼻翼縮小術(外側法)+鼻翼挙上術を行いました。
費用(税込、麻酔代別)
リスク・副作用(起こり得る可能性のあること)
腫れ、内出血、鼻出血、鼻づまり、鼻柱の傷跡、鼻先、耳介の知覚低下、鼻の傾き、鼻尖部の挙上ができない、鼻の形の左右差、鼻尖部が丸く感じる、鼻翼が厚くなる
F 鼻尖形成術+鼻柱形成術
症例経過写真
2年前に他院で鼻尖形成術、プロテーゼ挿入術、鼻翼縮小術を受けていらっしゃいましたが、あまり変化が得られず、鼻柱をもう少し下ろしたいということで、当院で鼻尖形成術+鼻柱形成術を行いました。
費用(税込、麻酔代別)
リスク・副作用(起こり得る可能性のあること)
腫れ、内出血、鼻出血、鼻づまり、違和感、鼻先、耳介の知覚低下、鼻の傾き、左右差、鼻先が硬くなる
MH 鼻中隔延長術+鼻尖形成術
+他院鼻プロテーゼ加工術
症例経過写真
5年前に他院でI型プロテーゼを入れていましたが曲がってしまっていました。曲がりを矯正し鼻先を前に出す目的で、鼻中隔延長術+鼻尖形成術+他院鼻プロテーゼ加工術を行いました。
費用(税込、麻酔代別)
リスク・副作用(起こり得る可能性のあること)
腫れ、内出血、鼻出血、鼻づまり、鼻柱の傷跡、鼻先、耳介の知覚低下、鼻の傾き、鼻尖部の挙上ができない、鼻の形の左右差、プロテーゼの動揺
鼻尖形成術Q&A
鼻尖形成術についての質問にお答えしています。それぞれの質問をクリックすると回答が見られます。
PRICE INFORMATION
※価格は全て税込です。
起こり得る可能性のあることを列挙しております。当院ではこれらの症状を起こさないよう、それぞれについてしっかりと対策をとり、細心の注意を払い施術を行っております。万一症状が起きた場合にも対処法をご用意しております。症状の改善を図るよう全力で診療を行います。
■ 耳介軟骨
耳介後面に傷が残ります。耳介の感覚が鈍くなることがあります。軽い圧痛があります。耳たぶ周囲から主に軟骨を採取するため、術後イヤホンを装着しにくくなることがあります。
正面からほっそりと、
側面からシャープな鼻に
大きな鼻先を小さくしたい方
団子鼻をほっそりと
横からもシャープな
だんご鼻、丸い鼻の形を細っそりとさせたい、ツンとした上品な鼻にしたい方に適した術式です。鼻先を鼻翼軟骨移植術により三次元的(3D)に整えます。正面からみて細くなるだけでなく、横からみてもシャープな形態に形成します。
鼻尖縮小術3D法
当院の特徴
鼻先を鼻翼軟骨移植術により
三次元的
(3D)に
整えるため、
正面からみて
細くなる
だけでなく、横からみても
シャープな形態に形成します。
傷は鼻腔内のみで
目立ちません。
脂肪の除去、軟骨の切除を
最適に
おこないます。
Pollybeak変形を防ぐため
鼻翼軟骨移植をおこないます。
手術は静脈麻酔を用い、
意識、痛みの
ない
状態でおこないます。
皮膚が厚い方や
一度鼻尖縮小したが
さらに小さくしたい方は
皮膚切除法も
選択可能です。
鼻尖縮小術の際に、単に糸で結ぶだけの方法や、鼻先の中の脂肪をたくさん取りすぎた場合などに、以下のような症状を呈する場合があります。
左右から鼻尖の皮膚が寄って鼻先は細くなりますが、鼻翼との境界がはっきりしすぎ、鼻翼溝が目立ちやすい。いわゆるピンチノーズという不自然な形になりやすい。
Pollybeak deformity(オウムのくちばし変形)と言われる横から見たときに丸い鼻先になりやすい。これらの症状にできるだけならないように術式の選択が必要です。
大場教弘理事長が第31回日本美容外科学会で報告した方法「鼻尖縮小術における新しい鼻翼軟骨移植法の試み」
手術は鼻の穴の中からすべて行います。傷は表面上わかりません。鼻翼軟骨の余分な脂肪部分を除去し、さらに鼻翼軟骨の上側を切除します。
その方の鼻の皮膚の厚さや軟骨の大きさにより、軟骨の縫合、移植術をおこないます。ただ寄せあうだけで細くすると、Pollybeak変形といわれる、正面からは細くても、横からの形態が丸い形になりがちです。この変形を予防するため、鼻翼軟骨の上側を切除した部分を先端に移植し、鼻の横からのプロフィールをさらに改善するように軟骨移植をおこないます(3次元的形成)。
これにより、正面からも、横からも鼻がほっそりと綺麗に仕上がります。手術は約1時間30分で終了します。術後3~5日ほどギプスを固定いたします。
単純に細くするだけでは、Pollybeak変形になりやすくなります。矢印の部分が盛り上がる変形がPollybeak変形です。Pollybeakはオオムのくちばしという意味です。
鼻翼軟骨(シルバーの部分)が鼻先の形体を形成します。
鼻翼軟骨の上部(水色の部分)を切除し、中央の赤い線で鼻翼軟骨を切断します。
切断した部分から上を反転させ、鼻先に突出させます。
先ほど切除した水色の部分の軟骨を、軟骨と軟骨の間に挟み込み、鼻の柱として用います(水色の部分)。
水色の部分のもう一枚を、鼻先の両サイドに固定し、鼻先を補強します(水色の部分)。この鼻翼軟骨移植法を行うことで、正面からもほっそりと、横からもシャープなかっこいい鼻先にすることがでます。
大場教弘理事長が第107回日本美容外科学会で報告した方法「エキスパート鼻尖の美容外科におけるめい医/当院の鼻尖手術について」
鼻先が大きく丸い場合に鼻尖縮小術が適応にある場合があります。まず鼻先の軟部組織の切除を行います。
この際に軟部組織は減らしたいところのみ選んで切除します。減らしすぎると鼻先の変形の原因になることがあります。
つづいて鼻先にある鼻翼軟骨の頭側の切除(cephalic trim)を行います。
鼻翼軟骨の頭側の切除(cephalic trim)を行うことで鼻翼軟骨の形を変えやすくできます。鼻尖上部のボリュームを減らす効果もあります。
つづいて鼻尖の鼻翼軟骨の鼻先部分を縫合し細く強くします(intradomal suture)。
さらに強くした鼻尖に鼻翼軟骨の頭側の切除(cephalic trim)で得られた鼻翼軟骨片を2枚重ねて、鼻先を出したい方向に移植します(onlay graft)。これによって鼻先が尖ります。この際onlay graftは鼻先が1点で不自然に突出しないように、横幅を8mm程度にしております。
The 2nd Korean-Japan Aesthetic Surgery Conference.Seoul Korea/New method of nasal tip reshaping in Oriental
第109回日本美容外科学会(JSAS)/当院における鼻尖のprojectionを得る手術~鼻中隔延長術を用いないケースについて~
Effect of Nasal Tip Reshaping on Tip Projection in Primary Rhinoplasty without Cartilage Grafting from a Second Donor Site in an Asian Population
鼻尖縮小術を行ったが
正面から見ると細くなったが
一度細くなったが
糸による鼻尖縮小を受けたが他院で鼻尖形成術を受けた結果に満足していない場合、再度鼻尖形成術を行うことで細く整えます。クローズドアプローチから余剰脂肪や軟骨を切除し鼻尖を細く整えたり、反対に脂肪、真皮脂肪、軟骨などの移植を行って鼻先の形態を自然に整えます。
ご希望やご状態によってはオープンアプローチから修正を行う方が確実な場合が多くなります。より高度な修正が必要な場合には鼻中隔延長術を用いて修正を行います。
もともと鼻尖の皮膚が厚い方や、一度鼻尖縮小術を受けたけれどももっと細くすっきりとしたいという場合に、鼻尖縮小術皮膚切除法が適応になることがあります。
鼻尖部の中央でPollybeak(ポリービーク)変形をきたし横から見て丸く膨らんでいる部分の皮膚を切除します。
切除後は鼻尖部皮下を剥離し、余剰皮膚軟部組織の切除、軟骨の処理を行います。
丁寧に吸収糸を用いた形成外科的縫合を行います。
Effect of Nasal Tip Reshaping on Tip Projection in Primary Rhinoplasty without Cartilage Grafting from a Second Donor Site in an Asian Population
Norihiro Ohba, Goichi Haraoka, Hirotsuna Oiwa, Kozue Toyoda and Mayuko Ohba Journal of Plastic and Reconstructive Surgery
G 鼻尖縮小術(3D法)
症例経過写真
術前は鼻先に高さがなく少し垂れた印象でした。術後は3D法により鼻先の高さを出すよう形成し、バランス良くよりほっそり整いました。
費用(税込、麻酔代別)
リスク・副作用(起こり得る可能性のあること)
腫れ、内出血、違和感、鼻先の知覚低下、左右差、鼻づまり、鼻先が硬くなる
S 整鼻術+鼻尖縮小術
+鼻翼縮小術(内側法)症例経過写真
鼻筋の太さと、鼻翼の広がりを気にされており、整鼻術+鼻翼縮小術(内側法)+鼻尖縮小術を受けていただきました。
費用(税込、麻酔代別)
リスク・副作用(起こり得る可能性のあること)
腫れ、内出血、鼻出血、傷跡、鼻先、耳介の知覚低下、鼻の傾き、鼻の段差、左右差、鼻尖部の挙上ができない、鼻づまり、鼻先が硬くなる、鼻尖部が丸く感じる
A 鼻尖縮小術(3D法)
症例経過写真
鼻の丸い団子鼻が嫌ということで、当院で鼻尖縮小術+鼻翼軟骨移植術を行いました。
費用(税込、麻酔代別)
リスク・副作用(起こり得る可能性のあること)
腫れ、内出血、違和感、鼻先の知覚低下、左右差、鼻づまり、鼻先が硬くなる
鼻尖縮小術3D法
Q&A
鼻尖縮小術3D法についての質問にお答えしています。それぞれの質問をクリックすると回答が見られます。
PRICE INFORMATION
※価格は全て税込です。
起こり得る可能性のあることを列挙しております。当院ではこれらの症状を起こさないよう、それぞれについてしっかりと対策をとり、細心の注意を払い施術を行っております。万一症状が起きた場合にも対処法をご用意しております。症状の改善を図るよう全力で診療を行います。
小鼻を小さく、幅も狭く目立ちにくく
鼻の横幅が広い方
鼻翼(小鼻)が大きい方
笑うと広がりすぎる鼻翼が
鼻の下半分の幅が広いのが気になる方、笑った時に広がり過ぎる鼻が気になる方、小鼻の大きさが気になる方に適応があります。
鼻翼縮小術は鼻翼(小鼻)を小さくしたい場合、鼻の横幅を狭くしたい場合、笑った時に広がりすぎる鼻を控えめにしたい場合などに、鼻翼(小鼻)のボリュームを減らし小さくしたり、鼻の横幅を狭くする術式です。
鼻翼縮小術には外側法と内側法があります。外側法は鼻翼(小鼻)自体を小さくするために、鼻翼の基部で組織を切除し減らす方法です。
内側法は鼻の横幅を狭くし、笑った時に広がりにくくする術式です。内側法は鼻翼下部から鼻孔縁に沿って傷が残ります。
当院の方法は鼻翼形態を可能な限り自然な形で小さくする方法を行っております。このため多少傷の長さが長くなりますが、鼻の輪郭に傷を隠すデザインのため、それほど目立ちません。
鼻翼縮小術当院の特徴
内側法は傷が目立ちません。
軟部組織弁(フラップ)を
もちいるので
自然に寄せられます。
軟部組織同士が癒着するため、
後戻りが非常に少ない方法です。
手術は静脈麻酔を用い、意識、
痛みのない状態でおこないます。
内側法、および外側法があります。両方法とも、軟部組織弁(フラップ)を作成し、引き込むことで、自然に小さく、幅が狭くなります。
内側法は、鼻翼の外側に傷を残さず、鼻の穴の中で鼻翼を切除し、鼻翼の幅を狭く、小さくします。傷痕が心配な方には、こちらの方法がお勧めです。
切除デザインは、鼻翼の形態を自然に残すように設定します。標準的な切除幅は片側約4mmです。
外側法は鼻翼が大きく、外への張り出しが強い方に適応があります。
鼻尖の中央からの距離を均等に測定し、左右の切除幅を調節します。鼻翼自体のボリュームが小さくなり効果が大きい方法です。
デメリットは、鼻翼の外側に残る傷あとです。皮脂腺などの影響から、傷あとがやや目立つことがあります。
内側法+外側法は鼻翼が大きく、外への張り出しが強い方で鼻翼自体を小さくし、かつ鼻の幅も狭くしたい方に適応があります。
鼻尖の中央からの距離を均等に測定し、左右の切除幅を調節します。鼻翼自体のボリュームが小さくなるとともに、鼻の横幅も狭く小さくなる効果の大きい方法です。
デメリットは、鼻翼の外側に残る傷あとです。皮脂腺などの影響から、傷あとがやや目立つことがあります。
上図の赤い点線の三日月形の部分を皮膚のみを切除し、軟部組織を残します(フラップ)。
ピンクの部分(フラップ)を、赤い点線のところにトンネルを作成し、左右の軟部組織(フラップ)を引き込みます。
このように寄せ合うことで、面と面で寄せられ、より自然な形態となります。傷はとても目立ちにくく、鼻の存在感が控え目になります。
第58回 日本形成外科学会総会・学術集会で報告した方法
鼻翼縮小術は鼻孔底で部分切除する方法が、鼻の幅を狭くすることができるため広く行われています。この方法の利点は瘢痕を隠しながら鼻の幅を狭くする点であるが、時々特有のnotchingや角のある鼻孔形態を呈することがあります。
プリモ麻布十番クリニックではnotchingを来しにくい自然な鼻孔形態となる鼻翼縮小術を考案し実践しています。
新しい鼻翼縮小術のデザインは、鼻孔縁のコーナー部分を温存し、nostril sill部分の切除を鼻翼の辺縁に合わせるようにデザインします(内側法)。切除幅は希望の縮小程度により変化させます。
Nostril sill切除範囲内に切除幅の長さの三角弁をデザインします。
footplate方向へ同じ長さだけ鼻腔底を切除するデザインを作成します。
15番メスで皮膚切開を行い、デザインした組織を切除します。
cinching sutureを用い、埋没縫合は4-0 PDS、皮膚縫合を7-0 Nylonでおこないます。
鼻翼の張り出しの大きい症例はnostril sill部分切除に加え鼻翼外側方向へ切除を追加します(外側法)。
鼻翼内側の切除幅、鼻翼外側での切除幅をそれぞれ希望とご状態に応じて決定します。
内側法の切除範囲内に三角弁をデザインします。この三角弁の部分は切除せず残します。
鼻柱方向に同じ長さの三角形の切除範囲をデザインします。
内側から外側までデザイン通りに鼻翼の皮膚切除を行います。
Cinching sutureを用いたうえ、埋没縫合を6-0吸収糸で行い、皮膚縫合を7-0 Nylon糸で行います。
他院で鼻翼縮小術を受けたが
他院で鼻翼縮小術を受け
他院で鼻翼縮小術を受けたが
鼻翼縮小術後、息が通り
鼻翼縮小術後の傷跡が目立つ外傷や鼻翼縮小術などで生じた鼻翼(小鼻)の変形を修正する手術です。鼻翼の左右差、小さすぎ、まだ大きすぎ、形の不具合などを修正します。
他院で鼻翼縮小術を受けたが小鼻がまだ大きい、鼻の幅が広い、反対に小さくなりすぎた、不自然に変形してしまった、鼻呼吸がしにくくなったなどの修正には鼻翼修正術で改善を図ります。目立つ傷跡については瘢痕修正術によって傷を綺麗に整えます。
Preservation of nostril morphology in nasal base reduction.
Ohba N, Ohba M. Aesthetic Plast Surg. 2016 Oct;40(5):680-4.
鼻翼縮小術の症例経過写真を掲載しています。鼻翼縮小術の仕上がり、腫れ、傷跡の経過を詳しくご覧いただけます。
LV 鼻中隔延長術(肋軟骨)
+鼻尖形成術+鼻背部軟骨移植術
+鼻翼縮小術(外側法)
+鼻翼挙上術 症例経過写真
鼻先を高く、細くすっきりとした鼻にしたいというご要望から、当院で鼻中隔延長術(肋軟骨)+鼻尖形成術+鼻背部軟骨移植術+鼻翼縮小術(外側法)+鼻翼挙上術を行いました。
費用(税込、麻酔代別)
リスク・副作用(起こり得る可能性のあること)
腫れ、内出血、鼻出血、鼻づまり、鼻柱の傷跡、鼻先、耳介の知覚低下、鼻の傾き、鼻尖部の挙上ができない、鼻の形の左右差、鼻尖部が丸く感じる、鼻翼が厚くなる
P 鼻翼縮小術(内側法+外側法)
症例経過写真
鼻の横幅を狭くしたいというご要望で、当院で鼻翼縮小術内側法+外側法(小鼻縮小術)を行いました。
費用(税込、麻酔代別)
リスク・副作用(起こり得る可能性のあること)
腫れ、内出血、違和感、鼻出血、鼻先の知覚低下、左右差、鼻づまり、鼻翼基部の傷跡、鼻尖部が丸く感じる
D 鼻翼縮小術(内側法+外側法)
症例経過写真
鼻の幅がやや広く目立つのを気にされ、小鼻を自然な範囲で小さくしたいというご要望から、当院で鼻翼縮小術(内側法+外側法)を行いました。
費用(税込、麻酔代別)
リスク・副作用(起こり得る可能性のあること)
腫れ、内出血、違和感、鼻出血、鼻先の知覚低下、左右差、鼻づまり、鼻翼基部の傷跡、鼻尖部が丸く感じる
鼻翼縮小術
Q&A
鼻翼縮小術についての質問にお答えしています。それぞれの質問をクリックすると回答が見られます。
PRICE INFORMATION
※価格は全て税込です。
内側法
外側法
¥ 330,000内側法+外側法
¥ 495,000起こり得る可能性のあることを列挙しております。当院ではこれらの症状を起こさないよう、それぞれについてしっかりと対策をとり、細心の注意を払い施術を行っております。万一症状が起きた場合にも対処法をご用意しております。症状の改善を図るよう全力で診療を行います。
鼻中隔軟骨の形をできるだけ
まっすぐに形成
鼻の下半分が曲がって見える方、鼻中隔の曲がりによって鼻づまりが気になる方などに、鼻中隔軟骨の形をできるだけまっすぐに形成すること、鼻腔を広げることで症状の改善を図る術式です。
鼻の曲がりが気になる方
鼻中隔が原因の鼻閉がある方
鼻中隔は骨、軟骨などで構成され粘膜で覆われた、鼻腔内を左右にしきる壁の様な板状の構造物です。
多くの人は成長のバランスのずれが原因で鼻中隔が多少湾曲しています。重度の場合は鼻中隔湾曲症と呼ばれ、鼻づまり・鼻血・鼻炎・頭痛・嗅覚障害などを引き起こします。
鼻中隔矯正術は、湾曲した鼻中隔軟骨を切除または削り、真っ直ぐになるように矯正することで鼻中隔湾曲症を改善させる手術です。
斜鼻の修正について鼻が曲がっているのを治したがまだ曲がりが気になる場合、鼻中隔軟骨の傾きや方向が原因であることがしばしばあります。鼻中隔矯正術を行い、可能な限りまっすぐな状態に形成いたします。斜鼻によって鼻閉が起きている場合には、下鼻甲介粘膜下骨切除術をおこなったり、spreader graft手術を同時に用いるなどで鼻腔を広げるように形成いたします。
鼻中隔矯正術当院の
特徴
鼻中隔軟骨の強度を
考え軟骨の
除去、
再固定を最適に行います。
必要に応じ下鼻甲介粘膜下骨
切除術を
行い、
鼻閉の改善を図ります。
手術中に気道を安全に
確保するため、
全身麻酔下に行います。
クローズド法とオープン法を
使い分けます。
院内でCT撮影可能です。
これにより迅速な診断が
可能で、
術後フォローアップ
にも有用です。
内視鏡を用いることで
安全に手術が可能です。
オープンアプローチまたはクローズドアプローチにより鼻中隔軟骨への視野を確保します。
鼻中隔の軟骨膜と鼻中隔軟骨を剥離させます。
鼻中隔軟骨の湾曲している部分を切除または削り、鼻中隔が真っ直ぐになるように調整します。層々縫合で閉創いたします。
下鼻甲介粘膜下骨切除術
鼻中隔湾曲症などによって下鼻甲介が腫脹している場合、下鼻甲介粘膜下骨切除を行います。
下鼻甲介粘膜を高周波メスで切開し、下鼻甲介骨を露出させます。
つづいて超音波ボーンサージェリーシステムによって下鼻甲介骨を適量切除しボリュームを減量させます。
粘膜を吸収糸で縫合し、鼻腔内専用パッキング材で粘膜を保護します。
下鼻甲介の粘膜機能を傷害せずボリュームを減じることが出来るため、有効な鼻閉に対する治療となります。
短時間で終了し、痛みも少なく日帰り手術で施術可能です。
鼻先の曲がりの
調整のみ行う場合
傾いた鼻中隔軟骨の奥から軟骨片を採取後、残した鼻中隔軟骨を基部から切断いたします。
切断し矯正する方向にずらします。
間に奥から採取した鼻中隔軟骨片を介在させて、できるだけまっすぐになるよう位置を調整後に軟骨片同士を固定します。この操作は鼻中隔軟骨上方の鼻骨との境界部分でも行います。
曲がりを調整し、
鼻先を高くする場合
鼻中隔軟骨を上顎骨に付着する基部上方で切断し、
鼻中隔軟骨を移動させ、
基部に必要な軟骨を移植し、位置の調節を行います。
基部と上方の鼻中隔軟骨の間に移植軟骨を固定します。
上方の鼻中隔軟骨の支えとなる軟骨を移植したところです。
鼻先の高さを得るために鼻中隔延長術を行います。延長する軟骨は耳介軟骨や肋軟骨を用います。鼻中隔延長術は鼻中隔矯正術と、多くの場合に併用される術式です。
延長した鼻先にonlay graftによってさらに高さの調整を行います。このonlay graftによって鼻先の高さや向きを微調整いたします。
鼻中隔軟骨の奥にある鋤骨、篩骨垂直板の湾曲も、内視鏡を挿入ししっかりと湾曲部位を確認しながら処理いたします。
カールストルツ社製フルHD内視鏡を挿入してモニターを見ながら篩骨垂直板、鋤骨の処理を行います。
下鼻甲介粘膜下骨切除術においてもカールストルツ社製フルHD内視鏡を鼻腔内に挿入してモニターを見ながら、粘膜下の剥離、下鼻甲介骨の除去を行います。
A 鼻中隔矯正術+鼻中隔延長術
+鼻背部軟骨移植術症例経過写真
術前は鼻骨下部から鼻先にかけて左に曲がっていました。他院で一度鼻中隔湾曲症手術を受けていらっしゃいましたが、改善しなかったとのことです。また別の院で鼻先を細くする手術を受けるも効果に満足ができなかったとのことで、当院で鼻中隔矯正術+鼻中隔延長術+鼻背部軟骨移植術を行い、鼻先をまっすぐ細く高く整えました。
費用(税込、麻酔代別)
リスク・副作用(起こり得る可能性のあること)
腫れ、内出血、鼻出血、鼻づまり、鼻柱の傷跡、鼻先、耳介の知覚低下、鼻の傾き、鼻尖部の挙上ができない、鼻の形の左右差
B 鼻中隔延長術+鼻中隔矯正術
+整鼻術 症例経過写真
術前は鼻の上方が左、下方が右に曲がっておりS字になっていました。鼻筋を真っ直ぐにしたい,鼻の穴が見えないように鼻を長くしたいというご要望から、当院で鼻中隔延長術+鼻中隔矯正術+整鼻術を行いました。
費用(税込、麻酔代別)
リスク・副作用(起こり得る可能性のあること)
腫れ、内出血、鼻出血、鼻づまり、鼻柱の傷跡、鼻先、耳介の知覚低下、鼻の傾き、鼻尖部の挙上ができない、鼻の形の左右差
I 鼻中隔矯正術+鼻中隔延長術
+鼻尖形成術+下鼻甲介粘膜下骨
切除術 症例経過写真
鼻中隔の湾曲が大きく、下鼻甲介の腫れのために鼻づまりをきたしていました。軟骨の曲がりを修正し鼻づまりを改善するために、当院で鼻中隔矯正術+鼻中隔延長術+鼻尖形成術+下鼻甲介粘膜下骨切除術を行いました。
費用(税込、麻酔代別)
リスク・副作用(起こり得る可能性のあること)
腫れ、内出血、鼻出血、鼻づまり、鼻柱の傷跡、鼻先、耳介の知覚低下、鼻の傾き、鼻尖部の挙上ができない、鼻の形の左右差
鼻中隔矯正術Q&A
PRICE INFORMATION
※価格は全て税込です。
鼻中隔延長術または
整鼻術とセットの場合
他の手術と併用の場合
¥ 165,000起こり得る可能性のあることを列挙しております。当院ではこれらの症状を起こさないよう、それぞれについてしっかりと対策をとり、細心の注意を払い施術を行っております。万一症状が起きた場合にも対処法をご用意しております。症状の改善を図るよう全力で診療を行います。
鼻の穴から抜去するため
傷は心配いりません
今入っているプロテーゼの形が気に入らない場合、希望を叶えるプロテーゼをオーダーメイドで作成し入れ替えを行えます。
プロテーゼの形が
異物が気になる方プロテーゼが高すぎる、形が気に入らない、変形をきたした、上向きの鼻になってしまった、赤く腫れて感染が疑われる、皮膚が薄くなってきたなどのトラブルで除去したい場合、鼻腔内から除去、洗浄し、綺麗な状態にもどします。
鼻プロテーゼ抜去術
当院の特徴
傷は鼻腔内のみで目立ちません。
プロテーゼの除去と同時にフィラー注入
が可能です。
手術は静脈麻酔を用い、意識、痛みの
ない状態でおこないます。
鼻プロテーゼ入れ替え術
当院の特徴
単純な入れ替えはクローズドアプローチ
を用い、傷は鼻の穴の中のみで
目立ちません。
鼻先まで形成する場合にはオープン
アプローチを用い確実に修正いたします。
基本的に用いるプロテーゼはI型の
プロテーゼで、L型は使用いたしません。
プロテーゼの素材はゴアテックス、
シリコンの選択が可能です。
静脈麻酔により手術を行うので痛みや
怖さの心配はありません。
ただ入れ替えだけでなく、鼻中隔延長術
などと組み合わせることにより、
理想的な形を形成することができます。
L型プロテーゼの下脚が長いタイプ。鼻先も細く不自然に丸く、上向きの鼻先が嫌で抜去しました。10年以上入っていたので一部石灰化を認めました。
L型プロテーゼの下脚が短いタイプ。やはり鼻先の形が不自然で抜去しました。鼻筋も少し細すぎました。
I型プロテーゼ。鼻先近くまで入っていて鼻先の向きが上向きになっていました。L型ではなくI型でも鼻先まで入っていると皮膚が薄くなったり、鼻先の形態が不自然になることがあります。
L型プロテーゼで、曲がっている部分が柔らかいシリコンのタイプ。やはりやや上向きで、少し曲がって入っていたため抜去しました。鼻翼軟骨もプロテーゼの影響で変形していました。
L型プロテーゼ。10年間ほど入っておりました。鼻先にプロテーゼによる不自然なポイントがあり、少し曲がっていて、鼻が上向きになったのが嫌で抜去しました。一部石灰化を認めました。
前回の切開を小さく再切開しプロテーゼを鼻腔内から抜去します。
鼻の中からプロテーゼを抜去します。入っていたプロテーゼが大きすぎ、あるいは位置が悪く、鼻が変形をきたしている場合には、同時に軟骨移植(鼻中隔延長術、鼻尖形成術など)、軟部組織移植(真皮脂肪移植、側頭筋膜移植など)で修正が必要となる場合もあります。
鼻の高さ、形態を維持する目的に、抜去と同時に医療用注入剤などの注入を行うことも可能です。この場合、手術前後で鼻の形態が大きく変化せず、医療用注入剤がゆっくりと吸収されていく経過で元の鼻に近づいていきますので、他人にばれる心配が少なくなります。
プロテーゼを入れ替えるのみの場合
L型プロテーゼ → I型プロテーゼ
基本的に鼻腔内から前の手術の傷を利用しプロテーゼを摘出します。ご希望により、ゴアテックス製プロテーゼを用い眉間から形成することでより自然な鼻形態にすることができます。
プロテーゼを入れ替え、変形した
鼻先を綺麗に整える場合
側頭部から筋膜を採取し、鼻先へ移植します。採取部の傷は目立ちません。
L型プロテーゼ →
I型プロテーゼ+鼻尖形成術
(側頭筋膜移植術)
プロテーゼによって鼻先が様々な問題を起こしていたり、抜去後に鼻尖の変形が予想される場合は、オープンアプローチから、脂肪や側頭筋膜移植などの軟部組織、あるいは軟骨移植を行う場合があります。ご希望により、ゴアテックス製プロテーゼを用い眉間から鼻を形成することができます。
プロテーゼを入れ替え、鼻先の向きを
変えたり、高さをより高く積極的に
美しくする場合
L型プロテーゼ →
I型プロテーゼ + 鼻中隔延長術
プロテーゼの不具合を修正し、鼻を理想的な美しい形に形成します。鼻中隔延長術によって鼻先が高く下向きになり、人工的だった形態が自然な美しいバランスに変わります。E lineも改善し口元も控えめになるなど輪郭に与える良い効果が大きい手術になります。この場合も、ご希望により、ゴアテックス製プロテーゼを用い眉間から鼻を形成することでおでこからのつながりが改善し、より自然な鼻形態が得られます。
当院では鼻のご相談の際に、できるだけ3Dシミュレーション画像を用いたカウンセリングを行っております。その画像からご希望の形態を知ることができ、また手術前からの変化量を定量的に知ることができます。
オーダーメイド特別注文プロテーゼを作成する場合、事前にCTを撮影いただきます。今入っているプロテーゼの形態、位置が正確に把握できます。CTのデータから、プロテーゼが入っていない状態のご自身の実態モデルを作成し、そのうえでご希望の変化量をレジンなどの樹脂を用いてプロテーゼの型どりを行います。その型から新しくシリコンプロテーゼ作成いたします。作成されたオーダーメイド特別注文プロテーゼは、ご自身の骨にフィットするため、左右方向、上下方向にずれにくく、プロテーゼの辺縁も骨になめらかに移行するため、プロテーゼの輪郭が出にくく、自然な形態を永久に保つことが可能です。もちろんご希望の変化によってプロテーゼの微調整は比較的簡単に可能です。
現在入っているプロテーゼの形態や位置が正確に把握可能です。
今のプロテーゼのデータを
消去し、ご自身の実態モデルを
作成します。
希望の形態になるよう、
新しくシリコンプロテーゼの
設計を行います。
オーダーメイドシリコンプロテーゼのメーカーから、多くの症例に安全かつ効果的に使用しているということで当院が表彰され、FITmeのキードクターとして認定されました。
BT 鼻中隔延長術+鼻背部軟骨
移植術+他院鼻プロテーゼ抜去術
症例経過写真
他院でいれてたL型プロテーゼが真横に曲がって入っています。そのために鼻背は異常に細い状態で、鼻先はL型の屈曲部分が右に、足の先端が左鼻腔に突出している状態で丸く変形していました。当院で鼻先を鼻中隔延長術で修正し、L型プロテーゼは抜去しました。 鼻背部軟骨移植術を併用し鼻先への連続性を整えています。
費用(税込、麻酔代別)
リスク・副作用(起こり得る可能性のあること)
腫れ、内出血、鼻出血、鼻づまり、鼻柱の傷跡、鼻先、耳介の知覚低下、鼻の傾き、鼻尖部の挙上ができない、鼻の形の左右差、鼻の高さの変化、鼻先の変形
A 鼻尖形成術(鼻尖修正)+
他院鼻プロテーゼ抜去術
症例経過写真
手術前には他院のL型プロテーゼが挿入されていました。鼻尖部も他院プロテーゼと同時に受けた鼻尖縮小術で、右に傾き、鼻が曲がって見えます。鼻根部から鼻背の高さも元の高さに戻したいと希望され、当院で鼻尖形成術+L型プロテーゼ抜去術を行いました。手術後は鼻先の形態が自然になり、ほぼまっすぐになりました。プロテーゼで高かった鼻背、鼻根部も元の高さに戻りました。
費用(税込、麻酔代別)
リスク・副作用(起こり得る可能性のあること)
腫れ、内出血、鼻出血、鼻づまり、違和感、鼻先、耳介の知覚低下、鼻の傾き、左右差、鼻先が硬くなる、鼻の高さ、鼻先の変化
EB 鼻中隔延長術+鼻背部軟骨
移植術+他院鼻プロテーゼ抜去術
症例経過写真
術前は他院で入れたL型プロテーゼによって鼻先が上向きに見えるようになっていました。当院で鼻中隔延長術、鼻背部軟骨移植術、他院鼻プロテーゼ抜去術を行っています。
費用(税込、麻酔代別)
リスク・副作用(起こり得る可能性のあること)
腫れ、内出血、鼻出血、鼻づまり、鼻柱の傷跡、鼻先、耳介の知覚低下、鼻の傾き、鼻尖部の挙上ができない、鼻の形の左右差、鼻の高さの変化、鼻先の変形
LO 鼻中隔延長術修正術
+他院鼻プロテーゼ入れ替え術
+眉間プロテーゼ
(特別注文プロテーゼ)症例経過写真
他院で10年ほど前にプロテーゼを入れていらっしゃいました。鼻先が細すぎてとがった感じが気になり修正したいということで、当院で他院鼻中隔延長術修正術+他院鼻プロテーゼ入れ替え術+眉間プロテーゼ手術(特別注文プロテーゼ)を行いました。
費用(税込、麻酔代別)
リスク・副作用(起こり得る可能性のあること)
腫れ、内出血、鼻出血、鼻づまり、鼻柱の傷跡、鼻先、耳介の知覚低下、鼻の傾き、鼻尖部の挙上ができない、鼻の形の左右差、プロテーゼの動揺
MM 鼻中隔延長術+鼻尖形成術
+他院鼻プロテーゼ入れ替え術
+眉間プロテーゼ
(特別注文プロテーゼ)症例経過写真
他院で半年前にI型プロテーゼを入れていらっしゃいましたが、プロテーゼが曲がっている状態でした。曲がりを矯正し高さも出したいということで、当院で鼻中隔延長術+鼻尖形成術+他院鼻プロテーゼ入れ替え術+眉間プロテーゼ(特別注文プロテーゼ)手術を行いました。
費用(税込、麻酔代別)
リスク・副作用(起こり得る可能性のあること)
腫れ、内出血、鼻出血、鼻づまり、鼻柱の傷跡、鼻先、耳介の知覚低下、鼻の傾き、鼻尖部の挙上ができない、鼻の形の左右差、プロテーゼの動揺
JA 鼻中隔延長術+他院鼻
プロテーゼ入れ替え術
+眉間プロテーゼ
(特別注文プロテーゼ)症例経過写真
他院にて鼻筋にI型のプロテーゼ挿入と、だんご鼻の手術をされたとのことです。プロテーゼは曲がり、鼻先もあまり変わらなかったとのことで、 当院にて鼻中隔延長術+他院鼻プロテーゼ入れ替え術+眉間プロテーゼ手術を行いました。プロテーゼは特注のものを使用しました。(同時に左えくぼ形成術も行いました。)
費用(税込、麻酔代別)
リスク・副作用(起こり得る可能性のあること)
腫れ、内出血、鼻出血、鼻づまり、鼻柱の傷跡、鼻先、耳介の知覚低下、鼻の傾き、鼻尖部の挙上ができない、鼻の形の左右差、プロテーゼの動揺、糸の露出
鼻プロテーゼ抜去術
Q&A
鼻プロテーゼ入れ替え術
Q&A
PRICE INFORMATION
※価格は全て税込です。
他院手術後
¥ 165,000起こり得る可能性のあることを列挙しております。当院ではこれらの症状を起こさないよう、それぞれについてしっかりと対策をとり、細心の注意を払い施術を行っております。万一症状が起きた場合にも対処法をご用意しております。症状の改善を図るよう全力で診療を行います。
起こり得る可能性のあることを列挙しております。当院ではこれらの症状を起こさないよう、それぞれについてしっかりと対策をとり、細心の注意を払い施術を行っております。万一症状が起きた場合にも対処法をご用意しております。症状の改善を図るよう全力で診療を行います。
太い鼻筋を細く整える、
曲がった鼻筋をまっすぐに
大きな鼻を小さくする、太い鼻筋を細くする、ハンプのある鼻をまっすぐにする、曲がった鼻筋をまっすぐに整える際などに、鼻骨の骨切り幅寄せ、ハンプ部分の骨削りなどの鼻骨の形成術により、希望の鼻筋にする術式です。
オープンアプローチから確実な視野の中、鼻骨形成を行いますが、希望によってはクローズドアプローチからも手術は可能です。
鼻中隔軟骨の処理も必要に応じ同時に行います。術後は熱可塑性ギプスによる外固定、サージカルスポンジによる内固定を1週間行います。
鼻が大きいので
鼻の骨が出っ張り
鼻筋がまがっているので、
鼻筋が太いので、
鼻の上半分の大きさ、幅が大きい場合に、整鼻術により小さく細く鼻筋を通すことができます。
曲った鼻を整える手術です。鼻が曲って見える原因は、鼻骨が曲っている場合、鼻中隔軟骨が曲っている場合、その両方の場合があります。
整鼻術当院の特徴
基本的にオープン法で行います。
斜鼻変形の修正などに適しています。
手術は気道の確保を安全に行うため、
全身麻酔下におこないます。
院内でCT撮影可能です。これに
より迅速な診断が可能で、
術後フォローアップにも有用です。
鼻骨が曲っている場合は、鼻骨骨切り術を行います。傾いている鼻骨を内側および外側で骨切りを行い、中央にまっすぐに矯正します。オープンアプローチで行う場合と、鼻腔内からのみアプローチする場合、皮膚側からのアプローチも合わせ行う場合があります。術後はギプス固定を1週間ほど行います。
鼻中隔軟骨が曲っている場合、鼻中隔軟骨の矯正を行います。曲っている部分を切除し、鼻中隔の外側鼻軟骨付着部をいったん外し、まっすぐになるよう再固定します。
他院で鼻の曲がりを整える
細い鼻筋にしようと整鼻術を他院で鼻の曲がりをまっすぐにする手術を受けたがまだ曲がりが気になるなどの場合、再度鼻骨骨切り術によって曲がりを整えます。場合によっては鼻中隔矯正術も必要となります。また隆鼻術と併用することで細く高くすることも可能です。
鼻骨骨切り術を受けたが、まだ鼻が大きい、太いなどの修正に、整鼻術を行います。
ハンプを削ったがまだ出っ張っている、削ったために鼻が太く感じるようになった、鼻筋が平らになったなどの修正にも整鼻術を用いて形成を行います。
斜鼻の手術を受けたが、まだ鼻筋が曲がっている場合にも、再度整鼻術によって修正を行います。
D 整鼻術(鼻骨骨切り術)
症例経過写真
ハンプが大きくこの部分を削りたいという事で、当院で整鼻術(鼻骨骨切り術)によってハンプ切除と鼻骨幅寄せを行いました。
費用(税込、麻酔代別)
リスク・副作用(起こり得る可能性のあること)
腫れ、内出血、鼻出血、鼻づまり、鼻柱の傷跡、鼻先、耳介の知覚低下、鼻の傾き、鼻尖部の挙上ができない、鼻の段差
F 鼻中隔矯正術+鼻中隔延長術
+鼻尖形成術+隆鼻術+整鼻術
+眉間プロテーゼ
(特別注文プロテーゼ)症例経過写真
鼻の曲がりを矯正し、眉間から鼻先までしっかりと高く整える目的で、当院で鼻中隔矯正術+鼻中隔延長術+鼻尖形成術+隆鼻術+整鼻術+眉間プロテーゼ(特別注文プロテーゼ)手術を行いました。
費用(税込、麻酔代別)
リスク・副作用(起こり得る可能性のあること)
腫れ、内出血、鼻出血、鼻づまり、鼻柱の傷跡、鼻先、耳介の知覚低下、鼻の傾き、段差、左右差、プロテーゼの動揺、鼻尖部の挙上ができない
BG 鼻中隔延長術+隆鼻術
+整鼻術+鼻尖形成術
+鼻尖縮小術 症例経過写真
鼻先を高く細くして鷲鼻を改善したいというご要望から、当院で鼻中隔延長術+隆鼻術+整鼻術+鼻尖形成術+鼻尖縮小術を行いました。
費用(税込、麻酔代別)
リスク・副作用(起こり得る可能性のあること)
腫れ、内出血、鼻出血、鼻づまり、傷跡、鼻先、耳介の知覚低下、鼻の傾き、鼻尖部の挙上ができない、鼻の形の左右差、鼻先が硬くなる、鼻尖部の挙上ができない、鼻の段差
整鼻術Q&A
PRICE INFORMATION
※価格は全て税込です。
起こり得る可能性のあることを列挙しております。当院ではこれらの症状を起こさないよう、それぞれについてしっかりと対策をとり、細心の注意を払い施術を行っております。万一症状が起きた場合にも対処法をご用意しております。症状の改善を図るよう全力で診療を行います。
鼻翼縮小術などで生じた
鼻翼(小鼻)の変形を修正
鼻翼縮小術などで生じた鼻翼(小鼻)の変形を修正する手術です。皮膚あるいは瘢痕の切除、皮膚軟部組織の移動、皮膚軟骨複合組織や軟骨の移植などにより鼻翼の形を自然に近づけるよう整えます。
鼻翼修正術当院の特徴
必要に応じ軟骨移植、皮膚軟部組織移植などを組み合わせます。
瘢痕や皮膚の切除を最適に行います。
手術は静脈麻酔を用い、意識、痛みのない状態で行います。
皮膚および瘢痕の一部を必要最小限切除します。
鼻翼(小鼻)に組織欠損がある場合、皮膚や軟部組織の移動、あるいは皮膚、軟部組織、軟骨などを移植し鼻翼の形を整えます。
移植組織を安定化するために縫合固定します。
この際、鼻翼基部にcinching縫合を行うことで、傷への緊張を緩め、傷を最小限にすることができます。
レティナーを固定し手術を終了いたします。
美容外科手術後の鼻翼変形の代表的症状のひとつは、鼻孔縁のノッチング(notching)という角のある形です。
鼻孔縁のノッチング(青矢印)を伴った鼻翼変形はteardrop deformityとも言います。
他にも鼻翼顔面溝(黄色部分)が不明瞭になる、鼻翼が平坦化する(青矢印)などが代表的症状です。
鼻と顔とのバランスが悪くなり、違和感を与える原因となる可能性があります。
第105回日本美容外科学会にて発表した方法
第111回日本美容外科学会にて発表した方法
上記症状を修正するために当院では耳介軟骨移植術を柱とした美容外科的治療を行います。必要に応じ皮弁形成術、皮膚軟骨複合組織移植術を用い変形した鼻翼形態を修正いたします。
移植する軟骨採取部位は耳甲介腔および耳甲介舟が選ばれます。この部位が何等かの理由で採用できない場合、耳介軟骨の他の部分も利用することが可能です。
耳甲介舟からの移植片はやや直線的で、軟骨がしなやかなため5-0 Nylon糸を用いたカーブ状軟骨移植片に形成します。
カーブ状軟骨移植片
代表的な症状を緩和する
修正方法は
鼻翼外側の皮膚に余剰がある場合、その部分を利用し局所皮弁形成術を用います。
耳介から採取した軟骨を鼻翼皮下ポケットへ移植します。この際軟骨片を5-0 Nylon糸によるマットレス縫合によって丸みを作りカーブ状軟骨移植片を作成し、鼻翼皮下のポケットへ移植します。
これにより鼻翼顔面溝がはっきりし、鼻翼のカーブも自然な丸みが再建されます。
必要に応じ引き寄せ縫合(cinching suture)を用い鼻翼幅の調整を行います。
院長大場教弘 執筆論文
Treatment of Alar Deformity After Cosmetic Surgery
Ohba, Norihiro MD*; Haraoka, Goichi MD†; Ohba, Mayuko MD*; Takahashi, Norio MD*
>Plastic & Reconstructive Surgery-Global Open 12(11):p e6327, November 2024. | DOI: 10.1097/GOX.
0000006327
1999153833 前鼻孔狭窄症 稀なSengstaken-Blakemore tubeの合併症(原著論文/症例報告)
大場 教弘, 村岡 道徳
外科 (0016-593X)61巻2号 Page205-208(1999.02)
A 鼻翼修正術+鼻中隔延長術
+他院鼻プロテーゼ入れ替え術
+眉間プロテーゼ 症例経過写真
手術前は他院でL型プロテーゼによる隆鼻術、耳介軟骨移植による鼻尖形成術、鼻翼縮小術を受けていらっしゃいました。鼻を全体的に整えたいということで当院で鼻翼修正術+鼻中隔延長術(肋軟骨移植)+他院鼻プロテーゼ入れ替え術+眉間プロテーゼ手術を行いました。
費用(税込、麻酔代別)
リスク・副作用(起こり得る可能性のあること)
腫れ、内出血、鼻出血、鼻づまり、鼻の知覚低下、傷跡、鼻の形の左右差、鼻翼部が丸く感じる、鼻翼部が厚くなる、硬くなる、鼻の傾き、鼻尖部の挙上ができない、プロテーゼの動揺
B 鼻翼修正術(小鼻修正術)
症例経過写真
他院で鼻翼縮小術を受けていらっしゃましたが、鼻翼と頬の境界がなくなりまっすぐになってしまいました。当院で鼻翼修正術によって小鼻の自然なふくらみを作成いたしまいた。
費用(税込、麻酔代別)
リスク・副作用(起こり得る可能性のあること)
腫れ、内出血、鼻出血、鼻の知覚低下、鼻づまり、傷跡、鼻の形の左右差、鼻翼部が丸く感じる、鼻翼部が厚くなる、硬くなる
G 他院左鼻翼修正術
(小鼻修正術) 症例経過写真
他院で鼻翼縮小術、鼻翼挙上術を受けた際に左の小鼻がつぶれてしまい、鼻の穴が狭くなってしまっていました。鼻翼に丸みを出して左右差をなくしたいということで、当院で他院左鼻翼修正術を行いました。
費用(税込、麻酔代別)
リスク・副作用(起こり得る可能性のあること)
腫れ、内出血、鼻出血、鼻の知覚低下、鼻づまり、傷跡、鼻の形の左右差、鼻翼部が丸く感じる、鼻翼部が厚くなる、硬くなる
鼻翼修正術
Q&A
PRICE INFORMATION
※価格は全て税込です。
起こり得る可能性のあることを列挙しております。当院ではこれらの症状を起こさないよう、それぞれについてしっかりと対策をとり、細心の注意を払い施術を行っております。万一症状が起きた場合にも対処法をご用意しております。症状の改善を図るよう全力で診療を行います。
鼻中隔延長術の不具合を
修正する術式です。
鼻中隔延長術を行ったが、
鼻先が感染してしまい
鼻先が曲がってしまった方
鼻先の形をもっと変えたい方鼻中隔延長術は、以前の手術の修復の際にしばしば用いられる術式ですが、以前の鼻中隔延長術の結果に不満足な場合にも、鼻中隔延長術修正術として鼻中隔延長術のやり直しや微調整を行います。
鼻中隔延長術を受けたが、まだ鼻先の向きに不満がある
鼻中隔延長術を受けたが、もっと鼻先を高くしたい
当院の手術の特徴
鼻先の高さ、向きをしっかりと希望の
方向に変化させることができます。
必要があればCT撮影を行い、内部の
状態を確認いたします。
シミュレーションソフトを用いて、術前に
理想の形を確認いたします。
手術は気道の確保を安全に行うため、
全身麻酔下におこないます。
院内でCT撮影可能です。
これにより迅速な診断が可能で、
術後フォローアップにも有用です。
オープンアプローチから鼻先の以前の手術を把握するよう丁寧に剥離します。不要なモノは切除し、瘢痕を解除していきます。必要な延長軟骨の量と強度を予測し延長軟骨を採取します。鼻翼軟骨周囲の瘢痕を解除し鼻中隔軟骨に延長軟骨を好みの向き、延長方向へ固定し鼻中隔延長術を行います。
根本的にやり直す場合には、耳介軟骨や肋軟骨を採取し、鼻中隔軟骨のしっかりとした部分を探し、再度鼻中隔延長を行います。その際、鼻翼軟骨周囲に存在する瘢痕組織を可及的に切除し可動性を可能な限り得るようにします。
皮膚が薄くなっている場合には、真皮脂肪移植や筋膜移植を行います。
これまでの鼻中隔延長術の修正例では、感染による変形、移植軟骨の曲がり、延長方向が好みでない、太すぎるなどがあげられます。
移植軟骨を取り替えたり、軟骨で補強したりします。耳介軟骨で補える場合は耳介軟骨のみ採取します。耳介軟骨では足りない場合、肋軟骨を用います。鼻中隔延長術で形成した鼻先の向きの不満、高さの不満、丸さ、太さの不満など修正点をすべて改善するよう修正術を行います。
Case.01
鼻中隔延長術を行った後、感染や何らかの原因で強い炎症を伴って鼻先が拘縮してしまった場合、時期を待って肋軟骨移植による修正を行う方法があります。
拘縮し鼻先や鼻尖が後退している状態の改善を図るため、open approachから拘縮をできるだけ解除します。
肋軟骨で作成したL型フレームを移植します。
肋軟骨L型フレームを外側鼻軟骨と前鼻棘に縫合固定します。
鼻翼軟骨をL型フレームに引き上げ固定します。
必要に応じて鼻柱部分に軟骨移植を追加します。
鼻先を耳介軟骨や軟部組織でカバーします。
Case.02
両側にspreader graftとして用いることもあります。
よりしっかりと矯正でき、鼻腔通気も改善するため鼻閉の治療にもなる方法です。
LO 鼻中隔延長術修正術
+他院鼻プロテーゼ入れ替え術
+眉間プロテーゼ
(特別注文プロテーゼ)症例経過写真
他院で10年ほど前にプロテーゼを入れていらっしゃいました。鼻先が細すぎてとがった感じが気になり修正したいということで、当院で他院鼻中隔延長術修正術+他院鼻プロテーゼ入れ替え術+眉間プロテーゼ手術(特別注文プロテーゼ)を行いました。
費用(税込、麻酔代別)
リスク・副作用(起こり得る可能性のあること)
腫れ、内出血、鼻出血、鼻づまり、鼻柱の傷跡、鼻先、耳介の知覚低下、鼻の傾き、鼻尖部の挙上ができない、鼻の形の左右差、プロテーゼの動揺
KT 他院鼻中隔延長術修正術
症例経過写真
他院で寄贈軟骨による移植術を受けていらっしゃいました。鼻を前に出して上向きに高くしたいというご希望から、当院で鼻中隔延長術修正術を行いました。
費用(税込、麻酔代別)
リスク・副作用(起こり得る可能性のあること)
腫れ、内出血、鼻出血、鼻づまり、鼻柱の傷跡、鼻先、耳介の知覚低下、鼻の傾き、鼻尖部の挙上ができない、鼻の形の左右差
GR 他院鼻中隔延長術修正術
+隆鼻術+眉間プロテーゼ
(特別注文プロテーゼ) 症例経過写真
3年半前に他院で鼻中隔延長術を受けていらっしゃいました。もっと鼻先を下に伸ばして高さを出したい、鼻の穴を見えにくくしたいとのことで、当院で鼻中隔延長修正術+隆鼻術+眉間プロテーゼ手術(特別注文プロテーゼ)を行いました。
費用(税込、麻酔代別)
リスク・副作用(起こり得る可能性のあること)
腫れ、内出血、鼻出血、鼻づまり、鼻柱の傷跡、鼻先、耳介の知覚低下、鼻の傾き、鼻尖部の挙上ができない、鼻の形の左右差、プロテーゼの動揺
PRICE INFORMATION
※価格は全て税込です。
鼻中隔延長術修正術
Q&A
鼻中隔延長術修正術についての質問にお答えしています。それぞれの質問をクリックすると回答が見られます。
起こりうる可能性のあることを列挙しております。当院ではこれらの症状を起こさないよう、それぞれについてしっかりと対策をとり、細心の注意を払い施術を行っております。万一症状が起きた場合にも対処法をご用意しております。症状の改善を図るよう全力で診療を行います。
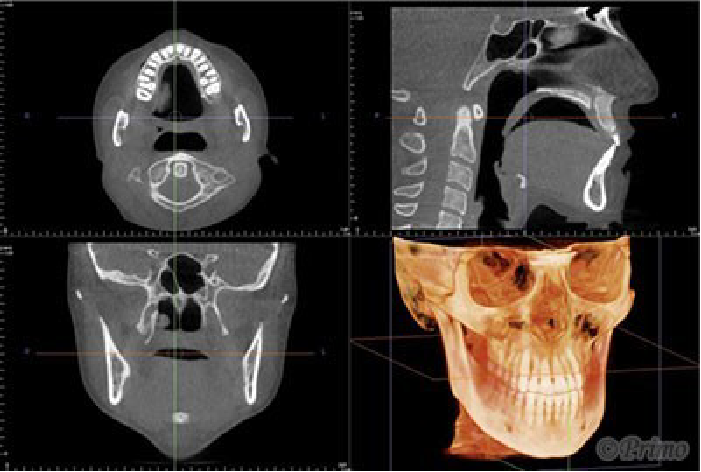
高機能CT
オーダーメイドプロテーゼの作成などに
東京の美容外科クリニックではまだ数院しか導入されていないCT撮影装置を院内に備えております。顔面骨や鼻の形態を診断する際にたいへん威力を発揮致します。
当院での用途は顔面骨の大きさ、神経管からの距離の測定、骨切り後の状態の診断、鼻のプロテーゼの位置、大きさの測定、曲がりの診断や、鼻中隔湾曲症、斜鼻の診断、他院鼻中隔延長術後の変形などの診断にCTを頻繁に用いております。
一度の撮影で、診断からオーダーメイドプロテーゼの作成、骨実体モデルの作成が可能です。
当院手術後のフォローアップにもCT撮影はとても有用です。
当院の特徴
最新の低被爆CT撮影装置により精密な
画像診断が可能です
CTデータが必要な場合、当日撮影し
直ちに診察室のモニターでデータ確認、
診断が可能です
即時にオーダーメイドプロテーゼの発注
骨実体モデルの発注が可能です
CT撮影データはCD-Rにコピーし
お渡しすることも可能です
CT撮影装置とは、円錐形のX線ビーム(コーンビーム)を照射しながら回転撮影を行う装置です。
通常のX線撮影では立体的な体を2次元の平面で撮影するため、詳細な情報を得られず診断が難しくなることがあります。一方CT撮影では、撮影した画像データから高画質な3D画像を作成し、得られた画像から患者様の頭部の骨の状態を、骨の内側の細部まで、3次元的に把握し診断することができます。顔面輪郭形成において、CT撮影は非常に有用になります。
広範囲な撮影領域
撮影領域は診断目的に応じて選択でき、口腔内に焦点を当てた直径8cm×高さ8cmの小範囲から、最大で直径23cm×高さ17cmの範囲をカバーします。頭部のほぼ全ての画像データを取得することができ、顎顔面領域の矯正治療において非常に有用になります。
被曝量の低減
PRICE INFORMATION
※価格は全て税込です。
※CT撮影データコピー料金 5,500円。
DOCTOR INTRODUCTION
日本形成外科学会認定形成外科専門医取得後、美容外科を専門領域に決めて研鑽してまいりました。学会も積極的に参加し、臨床の現場では多くの症例を経験することができ、日本美容外科学会認定美容外科専門医(JSAPS)、日本美容外科学会認定美容外科専門医(JSAS)を取得致しました。安全でかつ苦痛のない治療のため麻酔科の研修も同時に行い、麻酔科専門医指導のもと厚生労働省麻酔科標榜医の資格も取得しました。当院では、訪れるすべての患者様に期待を上回る結果を出せるよう、専門医による的確な診察、カウンセリングを行い、決定した術式を丁寧に正確に行います。安全に、苦痛のない方法で医療サービスを提供できるよう、スタッフ、設備など余裕をもって整えております。比較的難易度の高い手術、他院の修正手術も多数手がけており、手術の結果が理解しやすいよう、症例の解説、経過などをHPで詳細に説明しておりますので、参考にしていただけますと幸いです。
美容看護師ファーストブック
DOCTOR INTRODUCTION
私は長年、東京大学や埼玉医科大学の形成外科、美容外科で臨床、研究、教育に従事してきました。形成外科の様々な分野を習得し た後、専門として選んだのは美容外科であり若手の医師の教育にも関わってきました。 このような経歴、経験を生かして確かな医療技術に基づいた安心、安全な美容医療を患者様に提供していきたいと考えています。 まずは気軽にご相談にいらしてください。
特別講演
シンポジウム
一般演題
PRICE INFORMATION
※価格は全て税込です。
鼻中隔延長術
耳介軟骨の場合
肋軟骨の場合
¥ 880,000他院修正費
¥ 330,000隆鼻術
フィラー注入
0.1ccあたり
¥ 9,900高密度・高硬度の
形成注入
0.1ccあたり
¥ 13,200オーダーメイドプロテーゼ
(ソフトシリコンまたはゴアテックス)
特別注文プロテーゼ
(実体モデル作成費含む)
自家組織による隆鼻術
¥ 440,000眉間プロテーゼ
鼻尖形成術
鼻尖縮小術3D法
鼻翼縮小術
内側法
外側法
¥ 330,000内側法+外側法
¥ 495,000鼻中隔矯正術
鼻中隔延長術または
整鼻術とセットの場合
下鼻甲介粘膜
下骨切除術
他の手術と併用の場合
¥ 165,000鼻プロテーゼ抜去・入れ替え術
当院手術後
他院手術後
¥ 165,000整鼻術
鼻翼修正術
鼻中隔延長術修正術
CT撮影装置
※CT撮影データコピー料金 5,500円。
麻酔
~2時間
~4時間
¥ 165,000~6時間
¥ 220,000~8時間
¥ 275,000~1時間
~1.5時間
¥ 82,500注入量 1cc
注入量 2cc
¥ 33,000注入量 3cc
¥ 46,200注入量 5cc
¥ 57,750注入量 10cc
¥ 99,000現金、銀行振り込みのほか、クレジットカード(一部除外あり)、銀聯カード、WeChatPay(微信支付)、ALIPAY(支付宝)、医療ローンを取り扱いしております。それぞれの支払い方法を併用する事もあります。
医療ローンを申し込む場合、審査があります。その際、身分証明証(運転免許証、パスポート、健康保険証、住民票など)をご持参下さい。勤務先の住所、電話番号などの情報も必要となります。未成年の方は、親権者が保証人となることでローンを組むことが可能です。
FAQ
CLINIC







医師のカウンセリングでは、患者さまのご希望を第一に伺い、メディカルエステ・ホームケアから大きく印象を変える最先端の美容外科手術まで、幅広い治療内容から到達目標やライフスタイル、ご予算に応じた提案をさせていただきます。
痛みに弱い方、ほんの少しのアンチエイジングをご希望の方から可能な限りの美の追求をされる方まで、様々なお悩みに対応致します。ご遠慮なく、ご希望をお聞かせください。
クリニックフロアへの
直結エレベーター
麻布十番駅5番出口(B2F)からも、地上階(1F)からも、ご利用いただけます。
待合室・メイクルームは
すべて個室
待ち時間やお化粧なしのご来院時も、安心してお過ごしいただけます。
院内フリーwi-fiを完備
全ての患者様が快適にお使い頂けます。
回復室や皮膚科施術室も
すべて個室
デリケートなお悩みもぜひ、スタッフにお伝えください。
車椅子用トイレ・オストメイト
もございます
ご利用の際は院内スタッフにお申し出ください。
〒106-0045
東京都港区麻布十番1-10-10ジュールAB1F
都営大江戸線「麻布十番駅」より直通
東京メトロ南北線「麻布十番駅」より直通
麻布十番公共駐車場出口より徒歩4分
「麻布十番公共駐車場」
提供特典
10,000円以上の施術で、
駐車代
(1,000円分)を
サービス致します
鼻のお悩みは、プリモ麻布十番クリニックへ
お気軽にご相談ください
