Monthly Archives: 1月 2009

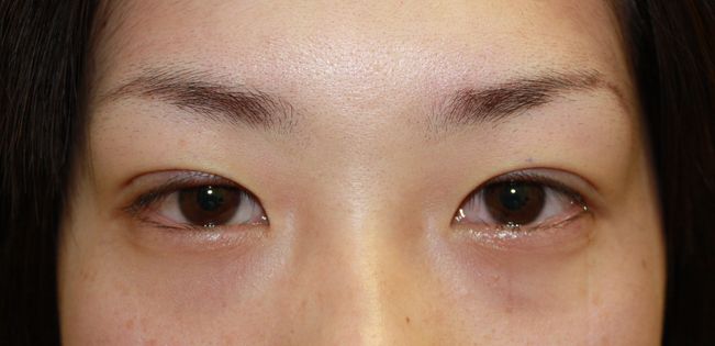
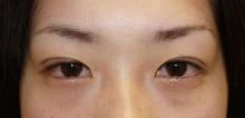
埋没法6点留め・経過写真2

埋没法6点固定をされたモニターさんの経過写真のつづきです

プリモ麻布十番日記 術前。

長年のアイプチ使用で皮膚がたるんだ一重の目もとです

プリモ麻布十番日記  術直後。

泣きはらしたような目です

プリモ麻布十番日記  翌日。

まだちょっとウルウルしています

プリモ麻布十番日記  3日目。

すっかり落ち着きましたね

6点固定なので、たるみの多い目もとでも目尻までくっきりときれいなラインがでています

http://www.primo-clinic.jp/eye/01.php

脂肪吸引の後療法(高周波温熱療法)

2か所の脂肪吸引の手術後、6日目のEさんが来院されました。

6日目というと、個人差はありますがまだ多少筋肉痛のような痛みが残っていますので

来院時はなんだかぎこちないうごき・・・?

しかし、術後サービスでおこなっている高周波温熱療法を施行したところ

「体が軽くなりましたぁ~♪」と、満面の笑顔で帰って行かれました。

高周波温熱療法は

電波を使って体内から熱を発生させ、代謝をよくし、余分な脂肪の燃焼も助けるというもの。

プリモ麻布十番日記

これだけで部分痩せや美顔・メタボ対策・冷え症対策などにも利用できますが

プリモでは脂肪吸引や豊胸術の術後のケアとして用いることで

術後の腫れや内出血の改善を促進しています。

しかも、あったかくて気持ちよい施術なんですよ

http://www.primo-clinic.jp/liposuction/

ピッコログランデ

新年会と歓迎会を兼ねて、麻布十番・ピッコログランデさんに行ってきました。

カジュアルで活気のある店内で、美味しいイタリアンをいただきました。
プリモ麻布十番日記  

バーニャカウダが、クリーミーでしたぁ!

とろとろのキャベツはいくらでも食べれそうです

プリモ麻布十番日記

ピザ・マルゲリータ。

シンプルなソースと生地のおいしさに感動しました。

ほかのお料理も全部おいしくて、私はデザートを食べることができず・・・若いスタッフのケーキを眺めてくやしい思いをしました。

思ってたよりリーズナブルでしたし、また行きたいお店です。

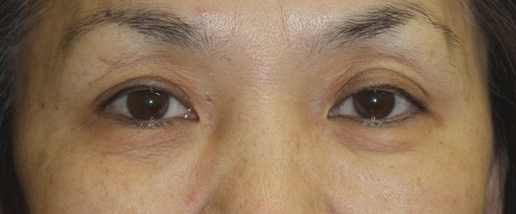
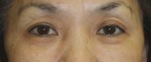
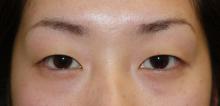
埋没法6点留め・経過写真

埋没法(6点留め)の術前後の写真です。

長年アイプチをつかっていたためたるみの多いまぶたです。

ラインのきれいさと固定力で6点固定を選ばれました。

自然な末広型の仕上がりをご希望でした。

プリモ麻布十番日記  術前

プリモ麻布十番日記  術直後です。

麻酔で少し腫れていますが、

目が開きやすくなったため、眉毛も降りてきて目と眉毛の間の幅が狭く、きりっとした顔立ちとなっています。

アイプチのわずらわしさから解放されましたね

また経過写真をアップしていきます

http://www.primo-clinic.jp/eye/

目の下のヒアルロン酸

目の下のヒアルロン酸注入後のSさんがいらっしゃいました

もともとおきれいな方ですが、

暗い印象のくまがなくなって、すっぴんでもさらに華やかです

プリモ麻布十番日記  注入前

プリモ麻布十番日記  注入後

サーマクールの効果も出ているので、1か月前と比べるとフェイスラインやほうれい線もかなりすっきりしましたね

プリモ麻布十番日記  1か月前

プリモ麻布十番日記  after
http://www.primo-clinic.jp/petit/

ほくろの治療

ほくろをとりたい人は多いですよね

悪性でなくても年々大きくなるやつも多いですし。

プリモでも、保険診療をはじめてからさらに相談がふえています

形成外科医としてはできるだけきれいな自然なきずあとになるよう、取り方の提案をしています

顔のほくろの場合、

小さいものはレーザーや高周波で焼いちゃうのをおすすめしています

きずは1~2週間で上皮化し、にきびあと程度のきずあとで

全然わからないくらいになる人も多いです

ある程度大きくなると焼きあとが目立ちますので、メスで切って縫ったほうがよいです

すごく大きいものや縫い合わせによって立体的なひずみが生じる場合は、皮弁を作ることもあります。

また、メスでくり抜きしてきんちゃく縫合をするだけでもきれいに上皮化する部位も、あります

何ミリ以上は切ったほうがよい、というのはほくろの部位以外に患者さんの肌質や外科医の好みによって提案が違うこともあると思いますが

施術後のケアの仕方も違うので

患者さんのライフスタイルに合わせて相談することも大事ですね

仕事はじめ

明日がクリニックの仕事はじめです

とはいっても、1月2日と4日に抜糸の処置の患者さま達にすでにお会いしたので

厳密には2日が仕事はじめだったのですが。

世の中暗い話題も多いですが

今年一年、患者さまにとっても、スタッフみんなにとっても良い年になりますように

きっとなりますよね!

NEW YEAR

あけましておめでとうございます

とてもよいお天気のお正月ですね

今年のお正月は家族そろって疲労困ばいしていることもあり、

自宅で過ごすことになりました。

大晦日の「てんとう虫事件」以来なんとなく落ち着かないあんなちゃんですが

一緒にいる時間がふえるのがたのしみです

昼間はだいたいお気に入りの見張りベッドの上にいてあそんでくれないのですが・・・

プリモ麻布十番日記