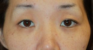
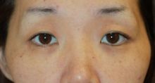
前回の埋没法モニターさんの3日目の状態です。
本日から出勤なので軽くメイクをしてご来院されました。
これは術前。
とっても華やかになられましたね![]()
6点留めでも麻酔法や手術法にこだわることで
腫れは最小限で済みます!!
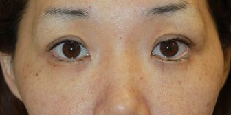
前回の埋没法モニターさんの3日目の状態です。
本日から出勤なので軽くメイクをしてご来院されました。
これは術前。
とっても華やかになられましたね![]()
6点留めでも麻酔法や手術法にこだわることで
腫れは最小限で済みます!!
最近わが家で人気なのが
iPadの無料アプリ、「猫ピアノ HD」![]()
ピアノの音が猫の鳴き声になった“癒し系音楽アプリ”だそうで。
ぽわ~んとした音にはほんと癒されるのですが
あんなちゃん(猫)が妙に反応して面白いです![]()
私に触られるのが嫌になり(←よくあります)
距離をとって知らん顔している時でも
「猫ピアノ」を鳴らせば
近寄ってきて
くんくんくんくん![]()
気になってしょうがないようです![]()
あんなちゃんにはどういう音に聞こえているのでしょうか??
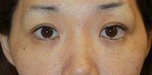
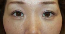
上眼瞼のおたるみと凹みを気にされて来院された患者さんをご紹介します。
眼瞼下垂手術をおススメしましたが
ダインタイムは週末だけでお考えということですので
改善する手術は結膜側からの眼瞼下垂手術か埋没法になります。
結膜側からの眼瞼下垂手術では余計にたるみが目立ちそうですので
埋没法のみを行うことになりました。
たるみが多い患者さんなので、6点固定です。
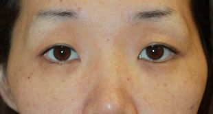
術前
手術直後
点眼麻酔薬の影響で
少しうるうるしていますね![]()
また経過をアップします
当院で年中人気なのがこのファンデーション
「エムディア カバークリーム」です。
お友達やご家族ののおすすめで買われる方が多いのですが
これ目当てでついでに(?)施術を受けに来たの、という方もいらっしゃいました。
上皮細胞成長因子EGF配合なので
「皮膚の老化抑制・細胞成長促進作用によりシワたるみ対策効果が期待できる
」
のがメインの作用ですが
3色パールやヒアルロン酸がバランスよく効いていて
仕上がりもとてもきれいです。
アーティチョーク葉エキスが毛穴を引き締めてくれる効果も手伝ってか
使うほど肌が整っていく実感があります。
BBクリームのように下地や日焼け止め効果も入っていますので
夏はこれに軽くお粉をはたく程度で楽なベースメイクができます
今月はわたしのお誕生日だったので
(この年になると、別にうれしくもないのですが・・・
)
だんなさんがプレゼントを買ってくれると言うので
GLOBALの包丁セットをいただきました
おしゃれなイメージですが
売り場のおばちゃまから聞かされてはじめて
日本製ということを知り、びっくりしました
やっぱり新しい包丁は使いやすいですね!!
とくにGSシリーズのペティナイフは手の中にすっぽりおさまって
軽さと安定感とキレが素晴らしい~
きらいだった千切りやみじん切りも少し楽しくなりました。
包丁は、よく切れるほうが怪我もしにくいらしいですしね