上眼瞼脱脂+埋没法6点留めのモニターさんです![]()
術後1か月
かなり腫れぼったい瞼ですがすっきりしましたね![]()
ご本人は「モニターさんなのに太っちゃったあ~」
と焦っていましたが大丈夫です![]()
脱脂することにより、見た目がすっきりするだけではなく
重瞼ラインの補強ができるため、
この組合わせは
ダウンタイムの都合で切開法はできないけど
埋没では固定力が心配という方におすすめです
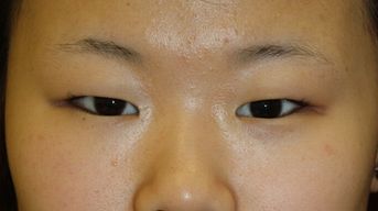
上眼瞼脱脂+埋没法6点留めのモニターさんです![]()
術後1か月
かなり腫れぼったい瞼ですがすっきりしましたね![]()
ご本人は「モニターさんなのに太っちゃったあ~」
と焦っていましたが大丈夫です![]()
脱脂することにより、見た目がすっきりするだけではなく
重瞼ラインの補強ができるため、
この組合わせは
ダウンタイムの都合で切開法はできないけど
埋没では固定力が心配という方におすすめです