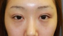
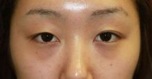
6点留めの埋没法のモニターさんです。
施術前
1週間後
目を閉じたところ
まだ少~し針穴の凹みがありますが
これからもっと平らになります。
この時期にお友達と旅行に行っても、もう問題なかったそうですよ。
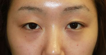
6点留めの埋没法のモニターさんです。
施術前
1週間後
目を閉じたところ
まだ少~し針穴の凹みがありますが
これからもっと平らになります。
この時期にお友達と旅行に行っても、もう問題なかったそうですよ。
あんなちゃんは
一緒にテレビを見ているときなど
リラックスしているときに
よくこの姿勢でいます。
スフィンクス座り、というらしいです。
全然しない猫ちゃんもいるようです。
あんなちゃんは、香箱座りよりこちらのほうが
リラックス度が高いように見えます。
本当のところは全くわかりませんが
何を考えているんでしょう![]()
先日炎天下の銀座、ソニービル前で
アクアリウムを発見しました!
けっこうな大きさです![]()
涼しげなお魚さん達につられてビルの中に入ると
ここにもたくさんの水槽が・・・
ついでに
3Dスクリーンで沖縄「美ら海水族館」の黒潮の海 、も見せていただきました。
前列の人の間をお魚が泳いでいるようで
とーってもきれいでした![]()
こんなのがタダで見れるって素晴らしい~![]()
アンダーヘア処理についての取材を受けました。
昨今のアンダーヘア脱毛の人気に注目されての記事です。
どうして人気なのかを解き明かしたいようでしたが
・・・どうしてでしょう
?
パートナー対策というより
女性が堂々と自分の快適さと自信を求め、宣言できるようになってきたという感じがしますが。
VIO脱毛は相変わらず人気です。
(キャンペーンはこちら →→ http://www.primo-clinic.jp/campaign/ )
「女性の肉食化に関係ありそうですか?」との質問がおもしろかったです![]()
タイタンのモニターさんです。
1か月おきに3回の施術を受けられたあとの写真です。
施術前
施術後
全体にお顔が引き締まった印象ですが
額~こめかみ、頬、フェイスライン、と少しずつ比較すると
より効果が分かりやすいです。
現在施術後5か月程度ですが
たるみ対策のホームケアとして
EGF配合の美容液をご使用いただいて効果を維持されているようです。
今年も十番まつりが開催されました![]()
麻布十番はお昼過ぎから人・人・人・・・
クリニックからの眺めも
こんな感じです。
たくさんの屋台が出て、いかにも夏、っていう雰囲気がいいですね![]()
でも普段は駅まで徒歩2,3分なのが、10分以上かかってしまいます![]()
昨日今日と、混雑のなか、
クリニックに足を運んでくださった患者さま達には、本当にご不便をおかけしました。
ほとんどの方が混雑を見越して余裕を持ってきてくださったり
遅れる際にもお電話で現在地を逐一ご報告下さったようで、
かえってお気を使わせてしまったようで
スタッフ一同恐縮でしたが・・・
ありがとうございました!!
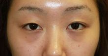
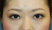
埋没法4点留めの患者さんです。
左右差を揃えながら、二重の幅を広げました。
施術前
施術後6カ月

「メイクがしやすくなったのがうれしい」そうです![]()
プリモ麻布十番クリニック
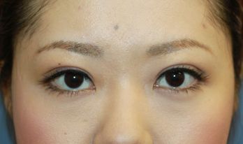
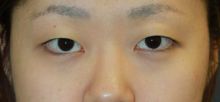
埋没4点留めのモニターさんです
施術前
右の二重の幅がとても狭いですね
少し開瞼の差もありますが
埋没法で修正をご希望されました
ついでに両方の重瞼幅を広げました。
施術直後
うるうるです。
ある程度幅があるので
泣いちゃったみたいな腫れが出ています。
プリモ麻布十番クリニック
うちの家には
あんなちゃんという、運動神経の悪い猫ちゃんがいます。
ジャンプも高いところもダメダメですが
大好きな人に会うまたは連れていく目的だと、
カチッと閉まっていないドアを
一生懸命開けます。
親バカですが、その様子がかわいくて
最近は毎日のようにわざとドアを開けてもらえるよう誘導しています。
ますは片手(?)を隙間に押し入れます
隙間を確認したら、立ち上がって
体重をかけ、ぎゅーっとドアを押します
ここで精いっぱい立ち上がれば、角度がついてよく体重がかかるようです。
立ち上がりが不十分だと、何回かこの作業を繰り返して少しずつドアを開けていきます。
頭の幅が開けばするり![]()
入れてよかったね
プリモ麻布十番クリニック
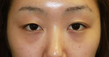
埋没法6点留めで平行型の二重を作ったモニターさんの術前です。
術後3日目。
少~し内出血が出てしまってます・・・
アイプチ皮膚炎が強いと、内出血のリスクが上がります。
が、出てもこの程度なので。
お化粧で十分かくれます。