20代後半から40代にかけて、
誰もがたるみによる目ヂカラの衰えを感じるものです。
お化粧ではごまかせないし、
切開する時間も勇気もないし・・・
という方がよく、「少しだけ
」ラインをアップさせる埋没法を選択されます。
実際1~2ミリの幅の変化なのですが、瞳に輝きが戻りますよ![]()
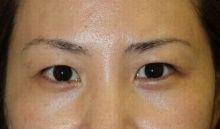
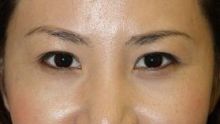
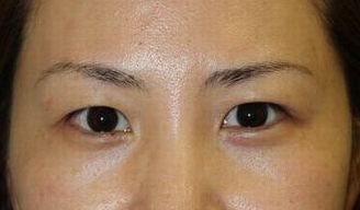
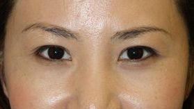
症例写真です
術後
二重ラインを少し上げることで
目と眉毛の間が狭くなって
(術前はたるみのため無意識に眉毛を挙上していたのですね)
きりっとした色っぽさが出ました![]()
アイラインが映える目になったので、メイクも楽しくなりそうですね









