モニターさんの写真がたまっているのでまたアップします![]()
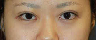
もともとアイプチで二重を作っていた方ですが
旅行先などでは面倒だということで手術を受けられました。
アイプチ皮膚炎がありますので年齢以上にたるみが多く、
また、やるからにはアイプチ同様の平行型の二重を、とご希望でしたので
6点留めで固定しました。
施術前
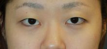
施術直後です。
パッチリですね~![]()
プリモでは麻酔法や特注の極細針を使用することで
このような腫れやすい条件の方でも、
とても腫れの少ない埋没法を行っています。
メイクが楽になりますね
モニターさんの写真がたまっているのでまたアップします![]()
もともとアイプチで二重を作っていた方ですが
旅行先などでは面倒だということで手術を受けられました。
アイプチ皮膚炎がありますので年齢以上にたるみが多く、
また、やるからにはアイプチ同様の平行型の二重を、とご希望でしたので
6点留めで固定しました。
施術前
施術直後です。
パッチリですね~![]()
プリモでは麻酔法や特注の極細針を使用することで
このような腫れやすい条件の方でも、
とても腫れの少ない埋没法を行っています。
メイクが楽になりますね