症例写真
D 眼瞼下垂+左目頭切開 症例経過写真
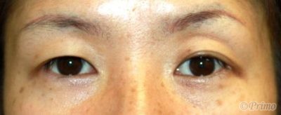
Before

手術前の正面写真です。
左の目頭にほんの少し蒙古襞があり、右目はやや奥目で小さい状態です。
目の開きを良くするため、当院で眼瞼下垂+左目頭切開を行いました。
After

眼瞼下垂手術+左目頭切開手術後3ヶ月です。
術後は希望の平行型の二重ができています。
眉毛の位置が下に降りて凛々しくなり、おでこのシワも改善しました。
手術前

手術前の正面写真です。
手術中
切除組織。
手術直後
手術直後。
手術直後

手術直後の目を閉じたところです。
手術後1週間
眼瞼下垂手術+左目頭切開手術後1週間です。
手術後1週間

手術後1週間の目を閉じたところです。
手術後1ヶ月
眼瞼下垂手術+左目頭切開手術後1ヶ月です。
手術後1ヶ月
手術後1ヶ月の目を閉じたところです。
手術後3ヶ月
眼瞼下垂手術+左目頭切開手術後3ヶ月です。
手術後3ヶ月
術後3ヶ月の目を閉じた時です。


















