BF 二重埋没法6点固定+下眼瞼拡大術+逆さまつ毛手術 症例経過写真 | プリモ麻布十番クリニック 2503

症例写真

BF 二重埋没法6点固定+下眼瞼拡大術+逆さまつ毛手術 症例経過写真

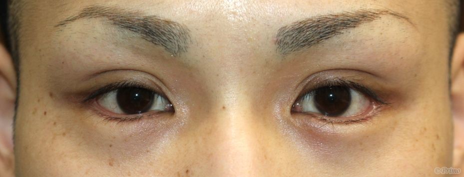
Before


手術前の目元です。
たれ目にして白目の面積を大きくしたいということで、
当院で二重埋没法6点固定+下眼瞼拡大術+逆さまつ毛手術を行いました。

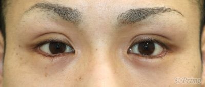
After


二重埋没法6点固定+下眼瞼拡大術+逆さまつ毛手術後6か月です。
術後は下眼瞼拡大術によって下方向に目が大きくなりました。
二重埋没法6点固定によって平行型二重が形成されました。

手術前


手術前の目元です。

手術前


手術前の斜めからです。

手術前


手術前の横からです。

手術後1週間


二重埋没法6点固定+下眼瞼拡大術+逆さまつ毛手術後1週間です。

手術後1週間


手術後1週間の斜めからです。

手術後1週間


手術後1週間の横からです。

手術後1週間


手術後1週間の目を閉じたところです。

手術後2週間


二重埋没法6点固定+下眼瞼拡大術+逆さまつ毛手術後2週間です。

手術後2週間


手術後2週間の斜めからです。

手術後2週間


手術後2週間の横からです。

手術後2週間


手術後2週間の目を閉じたところです。

手術後1ヶ月


二重埋没法6点固定+下眼瞼拡大術+逆さまつ毛手術後1ヶ月です。

手術後1ヶ月


手術後1ヶ月の斜めからです。

手術後1ヶ月


手術後1ヶ月の横からです。

手術後1ヶ月


手術後1ヶ月の目を閉じたところです。

手術後2ヶ月


二重埋没法6点固定+下眼瞼拡大術+逆さまつ毛手術後2ヶ月です。

手術後2ヶ月


手術後2ヶ月の斜めからです。

手術後2ヶ月


手術後2ヶ月の横からです。

手術後2ヶ月


手術後2ヶ月の目を閉じたところです。

手術後3ヶ月


二重埋没法6点固定+下眼瞼拡大術+逆さまつ毛手術後3ヶ月です。

手術後3ヶ月


手術後3ヶ月の斜めからです。

手術後3ヶ月


手術後3ヶ月の横からです。

手術後3ヶ月


手術後3ヶ月の目を閉じたところです。

手術後6ヶ月


二重埋没法6点固定+下眼瞼拡大術+逆さまつ毛手術後6ヶ月です。

手術後6ヶ月


手術後6ヶ月の斜めからです。

手術後6ヶ月


手術後6ヶ月の横からです。

手術後6ヶ月


手術後6ヶ月の目を閉じたところです。

・費用(税込、麻酔代別)

 

二重埋没法6点固定         ¥176,000

下眼瞼拡大術            ¥440,000

逆さまつ毛手術(セット割引)    ¥110,000

 

・リスク・副作用(起こり得る可能性のあること)

 

腫れ、内出血、瞼の違和感、傷跡

埋没糸の露出

ラインの消失

埋没した吸収糸の露出

瞼の形態の変化

三白眼逆さまつ毛、複視

睫毛側皮膚の知覚異常

外反

 

© 2018 Primo All rights reserved.

メールで相談 カウンセリング予約 公式LINE オンライン診療 オンラインショップ 0120-062-069