BG 眼瞼下垂手術+下眼瞼拡大術+目尻切開 症例経過写真 | プリモ麻布十番クリニック 2503

症例写真

BG 眼瞼下垂手術+下眼瞼拡大術+目尻切開 症例経過写真

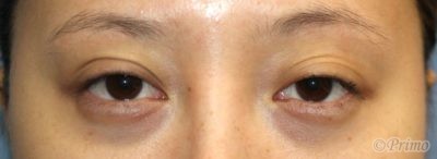
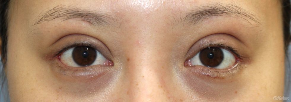
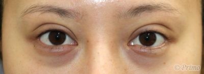
Before

手術前の目元です。

術前は他院で上眼瞼リフト(眉毛下切開)および部分切開を受けていました。

もっと目を大きくしたいという希望から当院で眼瞼下垂手術+下眼瞼拡大術+目尻切開を行いました。

 

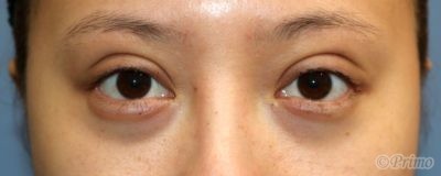
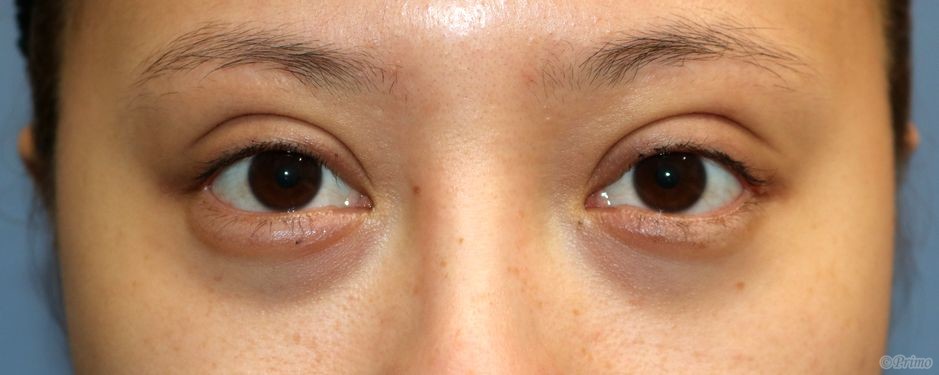
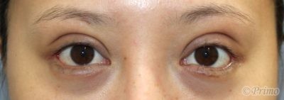
After

眼瞼下垂手術+下眼瞼拡大術+目尻切開手術後6ヶ月です。

術後は眼瞼下垂手術によって開瞼が良くなりました。

下眼瞼拡大術によってたれ目になっています。

 

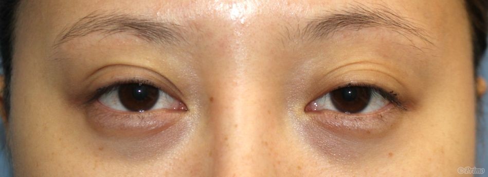
手術前

手術前の目元です。

 

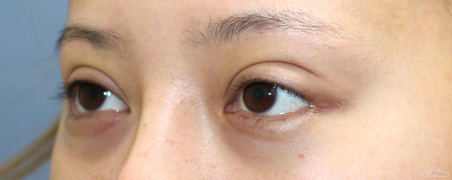
手術前

手術前の斜めからです。

 

手術前

手術前の横からです。

 

手術後1週間

眼瞼下垂手術+下眼瞼拡大術+目尻切開手術後1週間です。

 

手術後1週間

手術後1週間の斜めからです。

 

手術後1週間

手術後1週間の横からです。

 

手術後1週間

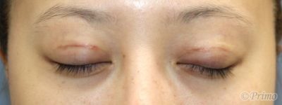
手術後1週間の目を閉じたところです。

 

手術後2週間

眼瞼下垂手術+下眼瞼拡大術+目尻切開手術後2週間です。

 

手術後2週間

手術後2週間の斜めからです。

 

手術後2週間

手術後2週間の横からです。

 

手術後2週間

手術後2週間の目を閉じたところです。

 

手術後1ヶ月

眼瞼下垂手術+下眼瞼拡大術+目尻切開手術後1ヶ月です。

 

手術後1ヶ月

手術後1ヶ月の斜めからです。

 

手術後1ヶ月

手術後1ヶ月の横からです。

 

手術後1ヶ月

手術後1ヶ月の目を閉じたところです。

 

手術後2ヶ月

眼瞼下垂手術+下眼瞼拡大術+目尻切開手術後2ヶ月です。

 

手術後2ヶ月

手術後2ヶ月の斜めからです。

 

手術後2ヶ月

手術後2ヶ月の横からです。

 

手術後2ヶ月

手術後2ヶ月の目を閉じたところです。

 

手術後3ヶ月

眼瞼下垂手術+下眼瞼拡大術+目尻切開手術後3ヶ月です。

 

手術後3ヶ月

手術後3ヶ月の斜めからです。

 

手術後3ヶ月

手術後3ヶ月の横からです。

 

手術後3ヶ月

手術後3ヶ月の目を閉じたところです。

 

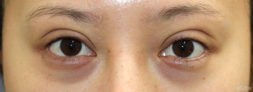
手術後6ヶ月

眼瞼下垂手術+下眼瞼拡大術+目尻切開手術後6ヶ月です。

 

手術後6ヶ月

手術後6ヶ月の斜めからです。

 

手術後6ヶ月

手術後6ヶ月の横からです。

 

手術後6ヶ月

手術後6ヶ月の目を閉じたところです。

 

・費用(税込、麻酔代別)

 

眼瞼下垂手術         ¥660,000

下眼瞼拡大術         ¥440,000

目尻切開術          ¥275,000

 

・リスク・副作用(起こり得る可能性のあること)

 

腫れ、内出血、瞼の違和感、傷跡

埋没した吸収糸の露出

睫毛側皮膚の知覚低下

ラインの消失、瞼の形態の変化、顔の印象の変化

閉瞼不全、ドライアイ、ヘリング現象

三白眼逆さまつ毛、複視

外反

 

© 2018 Primo All rights reserved.

メールで相談 カウンセリング予約 公式LINE オンライン診療 オンラインショップ 0120-062-069