症例写真
BJ 眼瞼下垂+目頭切開手術 症例経過写真
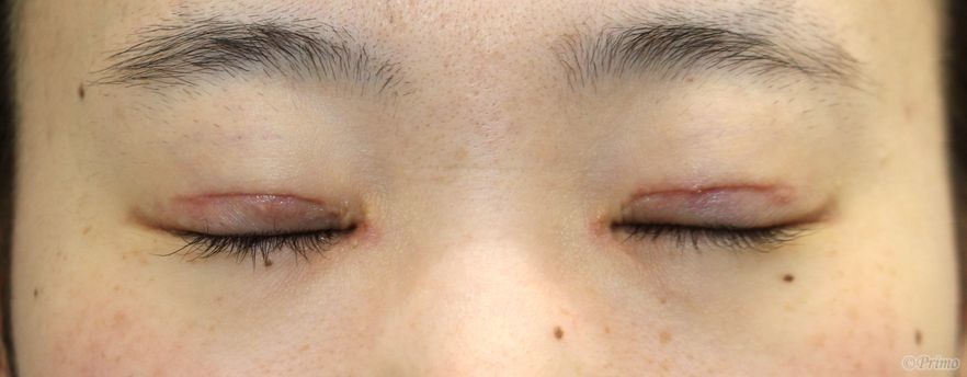
After

眼瞼下垂+目頭切開手術後6ヶ月です。
術後は目の開きが良くなり、二重が形成されました。
目と目の距離が近くなり、バランスが良くなりました。
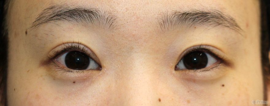
症例写真

眼瞼下垂+目頭切開手術後6ヶ月です。
術後は目の開きが良くなり、二重が形成されました。
目と目の距離が近くなり、バランスが良くなりました。
MEDICAL
CONTENTS
BLOG
MOVIE
GUIDE
RECRUIT





