BP 目頭切開+目尻切開+下眼瞼拡大術(たれ目形成) 症例経過写真 | プリモ麻布十番クリニック 2503

症例写真

BP 目頭切開+目尻切開+下眼瞼拡大術(たれ目形成) 症例経過写真

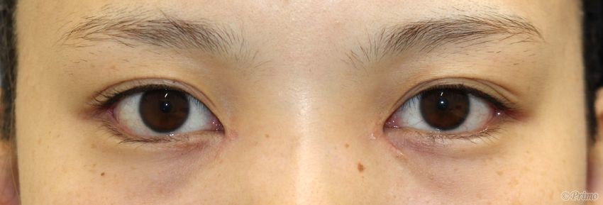
Before

手術前の目元です。

しっかりめに目頭切開をしたい、

外側の白目を大きくしてたれ目にしたいとのご希望から、

目頭切開+下眼瞼拡大術+目尻切開術を行いました。

 

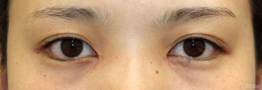
After

目頭切開+下眼瞼拡大術+目尻切開手術後6ヶ月です。

目頭切開により蒙古ひだが解除され、大人っぽい印象になりました。

下眼瞼拡大術と目尻切開の効果で目が外側方向、下方向へと大きくなり、

たれ目傾向になりました。

 

手術前

手術前の目元です。

 

手術前

手術前の斜めからです。

 

手術前

手術前の横からです。

 

手術後1週間

目頭切開+目尻切開+下眼瞼拡大術後1週間です。

 

手術後1週間

手術後1週間の斜めからです。

 

手術後1週間

術後1週間の横からです。

 

手術後2週間

目頭切開+目尻切開+下眼瞼拡大術後2週間です。

 

手術後2週間

手術後2週間の斜めからです。

 

手術後2週間

術後2週間の横からです。

 

手術後1ヶ月

目頭切開+目尻切開+下眼瞼拡大術後1ヶ月です。

 

手術後1ヶ月

手術後1ヶ月の斜めからです。

 

手術後1ヶ月

術後1ヶ月の横からです。

 

手術後2ヶ月

目頭切開+目尻切開+下眼瞼拡大術後2ヶ月です。

 

手術後2ヶ月

手術後2ヶ月の斜めからです。

 

手術後2ヶ月

術後2ヶ月の横からです。

 

手術後3ヶ月

目頭切開+下眼瞼拡大術+目尻切開手術後3ヶ月です。

 

手術後3ヶ月

術後3ヶ月の斜めからです。

 

手術後3ヶ月

術後3ヶ月の横からです。

 

手術後6ヶ月

目頭切開+下眼瞼拡大術+目尻切開手術後6ヶ月です。

 

手術後6ヶ月

手術後6ヶ月の斜めからです。

 

手術後6ヶ月

手術後6ヶ月の横からです。

 

・費用(税別、麻酔代別)

 

目頭切開術  ¥275,000

下眼瞼拡大術 ¥440,000

目尻切開術  ¥275,000

 

・リスク・副作用(起こり得る可能性のあること)

 

腫れ、内出血、瞼の違和感、傷跡

埋没した吸収糸の露出

瞼の形態の変化

三白眼逆さまつ毛

複視

 

© 2018 Primo All rights reserved.

メールで相談 カウンセリング予約 公式LINE オンライン診療 オンラインショップ 0120-062-069