症例写真
手術前の目元です。 半年ほど前に右目のみ埋没法を受けていらっしゃいましたが、 糸が取れてしまったようです。 平行型の二重を希望され、 当院で二重埋没法6点固定+目頭切開術を行いました。
二重埋没法6点固定+目頭切開手術後6ヶ月です。 ご希望のはっきりとした平行型二重が形成され、左右差が小さくなりました。
手術前の目元です。
二重埋没法6点固定+目頭切開手術後1週間です。
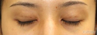
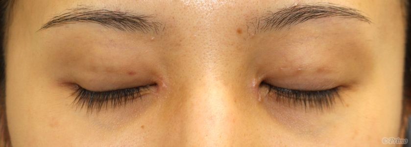
手術後1週間の目を閉じたところです。
二重埋没法6点固定+目頭切開手術後2週間です。
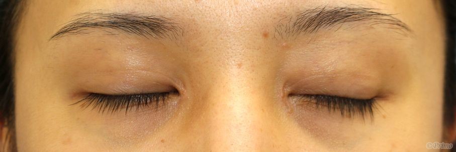
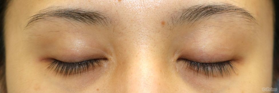
手術後2週間の目を閉じたところです。
二重埋没法6点固定+目頭切開手術後1ヶ月です。
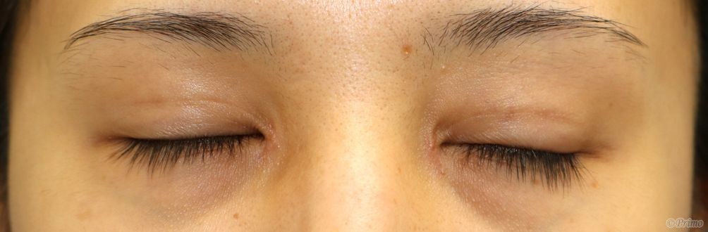
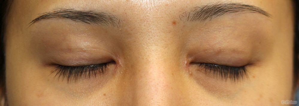
手術後1ヶ月の目を閉じたところです。
二重埋没法6点固定+目頭切開手術後2ヶ月です。
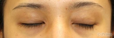
手術後2ヶ月の目を閉じたところです。
二重埋没法6点固定+目頭切開手術後3ヶ月です。
手術後3ヶ月の目を閉じたところです。
二重埋没法6点固定+目頭切開手術後6ヶ月です。
手術後6ヶ月の目を閉じたところです。
・費用(税込、麻酔代別)
二重埋没法6点固定 ¥176,000
目頭切開術 ¥275,000
・リスク・副作用(起こり得る可能性のあること)
腫れ、内出血、瞼の違和感、傷跡
埋没糸の露出
ラインの消失
逆さまつ毛
埋没した吸収糸の露出
瞼の形態の変化
目整形
二重埋没法6点固定
目頭切開
© 2018 Primo All rights reserved.