症例写真
CB 全切開+上眼瞼脱脂術+ROOF切除術+目頭切開+目尻切開+下眼瞼拡大術+下眼瞼逆さまつ毛手術 症例経過写真
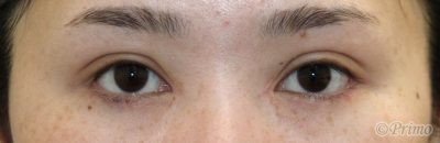
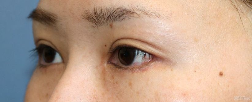
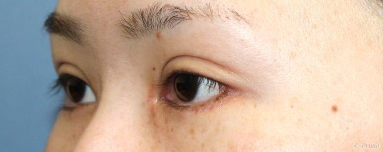
Before
手術前の目元です。
術前は他院で埋没法を受けていらっしゃいました。
はっきりとした二重にしたい、
目の横幅を広げたいというご希望から、
当院で全切開+上眼瞼脱脂術+ROOF切除術+目頭切開+目尻切開+下眼瞼拡大術+下眼瞼逆さまつ毛手術を行いました。
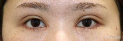
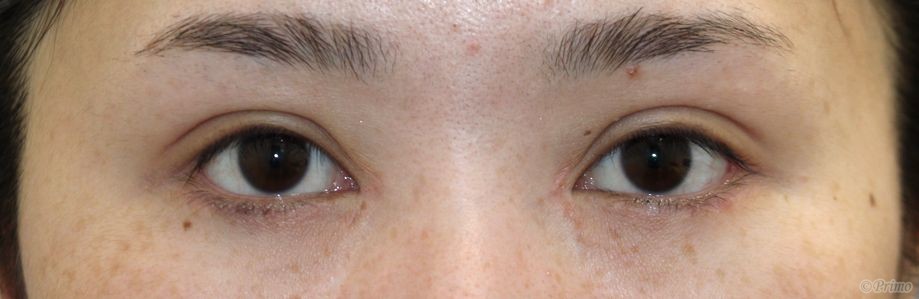
症例写真
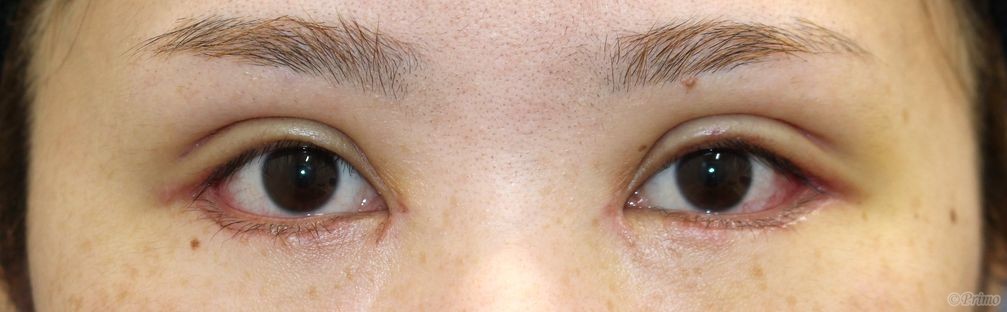
手術前の目元です。
術前は他院で埋没法を受けていらっしゃいました。
はっきりとした二重にしたい、
目の横幅を広げたいというご希望から、
当院で全切開+上眼瞼脱脂術+ROOF切除術+目頭切開+目尻切開+下眼瞼拡大術+下眼瞼逆さまつ毛手術を行いました。
MEDICAL
CONTENTS
BLOG
MOVIE
GUIDE
RECRUIT





