CM 二重修正術(重瞼修正切開術)6ヶ月後右眼瞼下垂手術 症例経過写真 | プリモ麻布十番クリニック 2503

症例写真

CM 二重修正術(重瞼修正切開術)6ヶ月後右眼瞼下垂手術 症例経過写真

Before

手術前の目元です。

他院で二重全切開を受けていらっしゃいました。

二重の幅が広いので狭くしてより自然な幅にしたいとのご希望により、当院で二重修正術を行いました。

術後6か月の時点でさらに左右差を減らすために、右眼瞼下垂手術を行いました。

 

After

二重修正術手術後1年、右眼瞼下垂手術手術後6か月の経過写真です。

make upなしです。

二重幅が狭くなり自然な幅になりました。

左右で二重幅、黒目の出方がそろい差が少なくなりました。

 

手術前

手術前の目元です。

 

手術後1週間

二重修正術後1週間です。

 

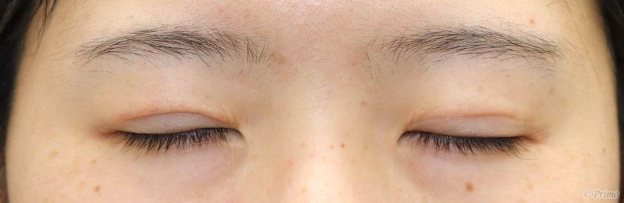
手術後1週間

手術後1週間の目を閉じたところです。

 

手術後2週間

二重修正術後2週間です。

 

手術後2週間

術後2週間の目を閉じたところです。

 

手術後2ヶ月

二重修正術後2ヶ月です。

 

手術後2ヶ月

術後2ヶ月の目を閉じたところです。

 

手術後3ヶ月

二重修正術後3ヶ月です。

 

手術後3ヶ月

術後3ヶ月の目を閉じたところです。

 

手術後6ヶ月

二重修正術後6ヶ月です。

 

手術後6ヶ月

術後6ヶ月の目を閉じたところです。

 

右眼瞼下垂手術直後

二重修正術後6ヶ月、右眼瞼下垂手術直後です。

 

右眼瞼下垂手術直後

二重修正術後6ヶ月、右眼瞼下垂手術直後の目を閉じたところです。

 

手術後6ヶ月

二重修正術後6ヶ月、右眼瞼下垂手術後1週間です。

 

手術後6ヶ月

二重修正術後6ヶ月、右眼瞼下垂手術後1週間の目を閉じたところです。

 

手術後6.5ヶ月

二重修正術後6.5ヶ月、右眼瞼下垂手術後2週間です。

 

手術後6.5ヶ月

二重修正術後6.5ヶ月、右眼瞼下垂手術後2週間の目を閉じたところです。

 

手術後7ヶ月

二重修正術後7ヶ月、右眼瞼下垂手術後1ヶ月です。

 

手術後7ヶ月

二重修正術後7ヶ月、右眼瞼下垂手術後1ヶ月の目を閉じたところです。

 

手術後8ヶ月

二重修正術後8ヶ月、右眼瞼下垂手術後2ヶ月です。

 

手術後8ヶ月

二重修正術後8ヶ月、右眼瞼下垂手術後2ヶ月の目を閉じたところです。

 

手術後9ヶ月

二重修正術後9ヶ月、右眼瞼下垂手術後3ヶ月です。

 

手術後9ヶ月

二重修正術後9ヶ月、右眼瞼下垂手術後3ヶ月の目を閉じたところです。

 

手術後1年

二重修正術後1年、右眼瞼下垂手術後6ヶ月です。

 

手術後1年

二重修正術後1年、右眼瞼下垂手術後6ヶ月の目を閉じたところです。

 

・費用(税込、麻酔代別)

 

二重修正術              ¥440,000

(組織の移動や移植を伴う複雑なもの) ¥550,000

 

・リスク・副作用(起こり得る可能性のあること)

 

腫れ、内出血

瞼の違和感

二重の傷跡

睫毛側皮膚の知覚低下

ラインの消失

瞼の形態の変化

 

・費用(税込、麻酔代別)

 

眼瞼下垂手術 ¥660,000

 

・リスク・副作用(起こり得る可能性のあること)

 

腫れ、内出血

瞼の違和感

睫毛側皮膚の知覚低下

ラインの消失

瞼の形態の変化、顔の印象の変化

閉瞼不全、ドライアイ

ヘリング現象

 

© 2018 Primo All rights reserved.

メールで相談 カウンセリング予約 公式LINE オンライン診療 オンラインショップ 0120-062-069