CW 全切開+上眼瞼脱脂術+目尻切開+下眼瞼拡大術+下眼瞼脱脂術 症例経過写真 | プリモ麻布十番クリニック 2503

症例写真

CW 全切開+上眼瞼脱脂術+目尻切開+下眼瞼拡大術+下眼瞼脱脂術 症例経過写真

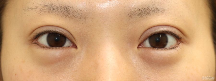
Before

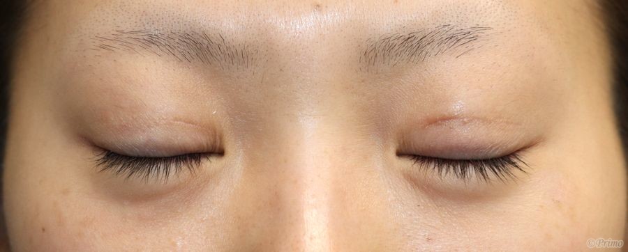
手術前の目元です。

術前は他院で2年前に埋没法を受けていらっしゃいました。

もう少し広めの平行型二重にしたい、つり目を改善してたれ目にしたい、

目の下のくまを改善したいというご希望から、

当院で全切開+上眼瞼脱脂術+目尻切開+下眼瞼拡大術+下眼瞼脱脂術を行いました。

 

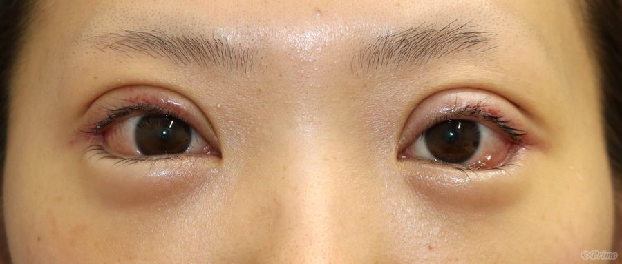
After

全切開+上眼瞼脱脂術+目尻切開+下眼瞼拡大術+下眼瞼脱脂術後6ヶ月の経過写真です。

術後ははっきりとした広めの平行型二重が形成されました。

目尻切開+下眼瞼拡大術の組み合わせで目尻がしっかりと下がり、たれ目傾向になりました。

下眼瞼脱脂術によって目の下のくまも目立たなくなりました。

 

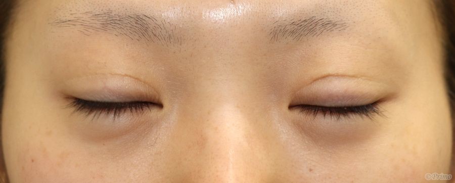
手術前

手術前の目元です。

 

手術前

手術前の斜めからです。

 

手術前

手術前の横からです。

 

手術後1週間

全切開+上眼瞼脱脂術+目尻切開+下眼瞼拡大術+下眼瞼脱脂術手術後1週間です。

 

手術後1週間

手術後1週間の斜めからです。

 

手術後1週間

手術後1週間の横からです。

 

手術後1週間

手術後1週間の目を閉じたところです。

 

手術後2週間

全切開+上眼瞼脱脂術+目尻切開+下眼瞼拡大術+下眼瞼脱脂術手術後2週間です。

 

手術後2週間

手術後2週間の斜めからです。

 

手術後2週間

手術後2週間の横からです。

 

手術後2週間

手術後2週間の目を閉じたところです。

 

手術後1ヶ月

全切開+上眼瞼脱脂術+目尻切開+下眼瞼拡大術+下眼瞼脱脂術手術後1ヶ月です。

 

手術後1ヶ月

手術後1ヶ月の斜めからです。

 

手術後1ヶ月

手術後1ヶ月の横からです。

 

手術後1ヶ月

手術後1ヶ月の目を閉じたところです。

 

手術後2ヶ月

全切開+上眼瞼脱脂術+目尻切開+下眼瞼拡大術+下眼瞼脱脂術手術後2ヶ月です。

 

手術後2ヶ月

手術後2ヶ月の斜めからです。

 

手術後2ヶ月

手術後2ヶ月の横からです。

 

手術後2ヶ月

手術後2ヶ月の目を閉じたところです。

 

手術後3ヶ月

全切開+上眼瞼脱脂術+目尻切開+下眼瞼拡大術+下眼瞼脱脂術手術後3ヶ月です。

 

手術後3ヶ月

手術後3ヶ月の斜めからです。

 

手術後3ヶ月

手術後3ヶ月の横からです。

 

手術後3ヶ月

手術後3ヶ月の目を閉じたところです。

 

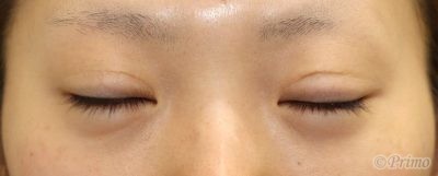
手術後6ヶ月

全切開+上眼瞼脱脂術+目尻切開+下眼瞼拡大術+下眼瞼脱脂術手術後6ヶ月です。

 

手術後6ヶ月

手術後6ヶ月の斜めからです。

 

手術後6ヶ月

手術後6ヶ月の横からです。

 

手術後6ヶ月

手術後6ヶ月の目を閉じたところです。

 

・費用(税込、麻酔代別)

 

全切開+上眼瞼脱脂術    ¥385,000

下眼瞼拡大術        ¥440,000

目尻切開術         ¥275,000

下眼瞼脱脂術(セット割引) ¥165,000

 

・リスク・副作用(起こり得る可能性のあること)

 

腫れ、内出血、瞼の違和感、傷跡

睫毛側皮膚の知覚低下

埋没した吸収糸の露出

ラインの消失

瞼の形態の変化

三白眼逆さまつ毛、複視

 

© 2018 Primo All rights reserved.

メールで相談 カウンセリング予約 公式LINE オンライン診療 オンラインショップ 0120-062-069