症例写真
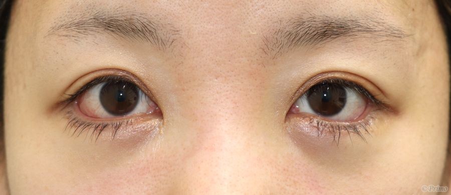
手術前の目元です。
目を大きく、可愛い系にしたいとのことで、
当院で下眼瞼拡大術(たれ目形成)+下眼瞼脱脂術(結膜側)+下眼瞼逆さまつ毛手術を行いました。
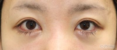
下眼瞼拡大術+目尻切開+下眼瞼逆さまつ毛手術後6ヶ月です。
目が外側下方向に大きくなり、可愛いたれ目になりました。
下まつ毛の向きもパチッと華やかになりました。
手術前の斜めからです。
手術前の横からです。
下眼瞼拡大術+下眼瞼逆さまつ毛手術後1週間です。
手術後1週間の斜めからです。
手術後1週間の横からです。
下眼瞼拡大術+下眼瞼逆さまつ毛手術後2週間です。
手術後2週間の斜めからです。
手術後2週間の横からです。
下眼瞼拡大術+下眼瞼逆さまつ毛手術後1ヶ月です。
手術後1ヶ月の斜めからです。
手術後1ヶ月の横からです。
下眼瞼拡大術+下眼瞼逆さまつ毛手術後2ヶ月です。
手術後2ヶ月の斜めからです。
手術後2ヶ月の横からです。
下眼瞼拡大術+下眼瞼逆さまつ毛手術後3ヶ月です。
手術後3ヶ月の斜めからです。
手術後3ヶ月の横からです。
下眼瞼拡大術+下眼瞼逆さまつ毛手術後6ヶ月です。
手術後6ヶ月の斜めからです。
手術後6ヶ月の横からです。
・費用(税込、麻酔代別)
下眼瞼拡大術 ¥440,000
下眼瞼脱脂術 ¥330,000
逆さまつ毛手術 ¥220,000
・リスク・副作用(起こり得る可能性のあること)
腫れ、内出血、瞼の違和感、傷跡
埋没した吸収糸の露出
瞼の形態の変化
三白眼、逆さまつ毛、複視
睫毛側皮膚の知覚異常
外反
目整形
下眼瞼拡大術
下眼瞼脱脂術
逆さまつ毛手術
© 2018 Primo All rights reserved.