DU 二重埋没法6点固定+目頭切開 症例経過写真 | プリモ麻布十番クリニック 2503

症例写真

DU 二重埋没法6点固定+目頭切開 症例経過写真

Before

手術前の目元です。

自然な平行型の二重にしたいと希望され、

二重埋没6点固定、目頭切開を行いました。

 

After

二重埋没法6点固定+目頭切開手術後6ヶ月です。

ご希望の二重が形成されています。

 

手術前

手術前の目元です。

 

手術後4日

二重埋没法6点固定+目頭切開手術後4日です。

まだ浮腫みがありますが、ご希望の二重が形成されています。

 

手術後4日

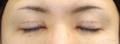
手術後4日の目を閉じたところです。

 

手術後2週間

二重埋没法6点固定+目頭切開手術後2週間です。

 

手術後2週間

手術後2週間の目を閉じたところです。

 

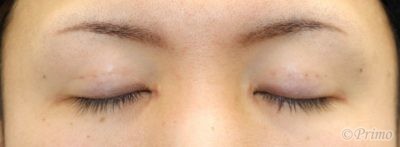
手術後1ヶ月

二重埋没法6点固定+目頭切開手術後1ヶ月です。

 

手術後1ヶ月

手術後1ヶ月の目を閉じたところです。

 

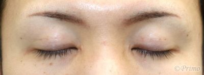
手術後2ヶ月

二重埋没法6点固定+目頭切開手術後2ヶ月です。

 

手術後2ヶ月

手術後2ヶ月の目を閉じたところです。

 

手術後3ヶ月

二重埋没法6点固定+目頭切開手術後3ヶ月です。

 

手術後3ヶ月

手術後3ヶ月の目を閉じたところです。

 

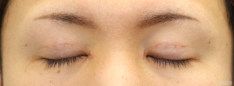
手術後6ヶ月

二重埋没法6点固定+目頭切開手術後6ヶ月です。

 

手術後6ヶ月

手術後6ヶ月の目を閉じたところです。

 

・費用(税込、麻酔代別)

 

二重埋没法6点固定 ¥176,000

目頭切開術     ¥275,000

 

・リスク・副作用(起こり得る可能性のあること)

 

腫れ、内出血、瞼の違和感、傷跡

埋没糸の露出

ラインの消失

逆さまつ毛

埋没した吸収糸の露出

瞼の形態の変化

 

© 2018 Primo All rights reserved.

メールで相談 カウンセリング予約 公式LINE オンライン診療 オンラインショップ 0120-062-069