症例写真
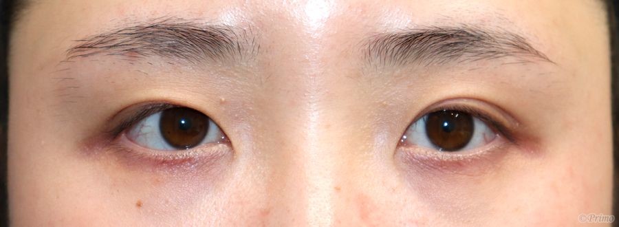
手術前の目元です。
蒙古ひだを小さくしたい、
下まぶたの外側を下げて自然に目を大きくしたいとのご希望に対して、
目頭切開+下眼瞼拡大術(たれ目形成)+目尻切開を施行しました。
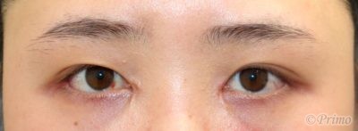
目頭切開+下眼瞼拡大術+目尻切開手術後6ヶ月です。
目頭切開、下眼瞼拡大術、目尻切開術の効果で目が内側方向、下方向、外側方向へと大きくなりました。
手術前の斜めからです。
手術前の横からです。
目頭切開+目尻切開+下眼瞼拡大術後1週間です。
まだ腫れや内出血が残っています。
手術後1週間の斜めからです。
術後1週間の横からです。
目頭切開+目尻切開+下眼瞼拡大術後2週間です。
手術後2週間の斜めからです。
術後2週間の横からです。
目頭切開+目尻切開+下眼瞼拡大術後1ヶ月です。
腫れが少し落ち着いてきました。
手術後1ヶ月の斜めからです。
術後1ヶ月の横からです。
目頭切開+下眼瞼拡大術+目尻切開手術後3ヶ月です。
術後3ヶ月の斜めからです。
術後3ヶ月の横からです。
手術後6ヶ月の斜めからです。
手術後6ヶ月の横からです。
・費用(税込、麻酔代別)
目頭切開術 ¥275,000
下眼瞼拡大術 ¥440,000
目尻切開術 ¥275,000
・リスク・副作用(起こり得る可能性のあること)
腫れ、内出血、瞼の違和感、傷跡
埋没した吸収糸の露出
瞼の形態の変化
三白眼、逆さまつ毛
複視
目整形
目頭切開
下眼瞼拡大術
目尻切開
© 2018 Primo All rights reserved.