FA 眼瞼下垂手術+目頭切開+ROOF切除術 症例経過写真 | プリモ麻布十番クリニック 2503

症例写真

FA 眼瞼下垂手術+目頭切開+ROOF切除術 症例経過写真

Before

手術前の目元です。

目をパッチリ大きく、平行型に、そしてスッキリさせたいとのご希望で、

当院にて眼瞼下垂手術+目頭切開+ROOF切除術を行いました。

 

After

眼瞼下垂+目頭切開+ROOF切除術手術後6ヶ月です。

目の開きが改善し、しっかりとした平行型二重が形成されました。

 

手術前

手術前の目元です。

 

手術後1週間

眼瞼下垂+目頭切開+ROOF切除術手術後1週間です。

 

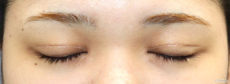
手術後1週間

手術後1週間の目を閉じたところです。

 

手術後2週間

眼瞼下垂+目頭切開+ROOF切除術手術後2週間です。

 

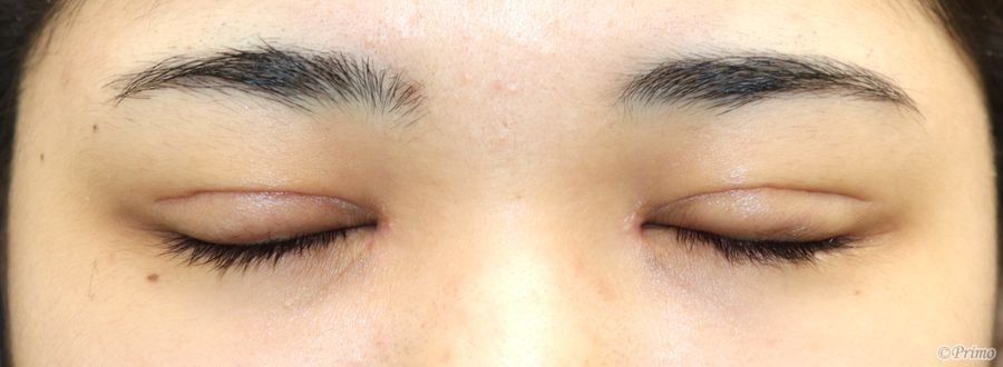
手術後2週間

手術後2週間の目を閉じたところです。

 

手術後1ヶ月

眼瞼下垂+目頭切開+ROOF切除術手術後1ヶ月です。

 

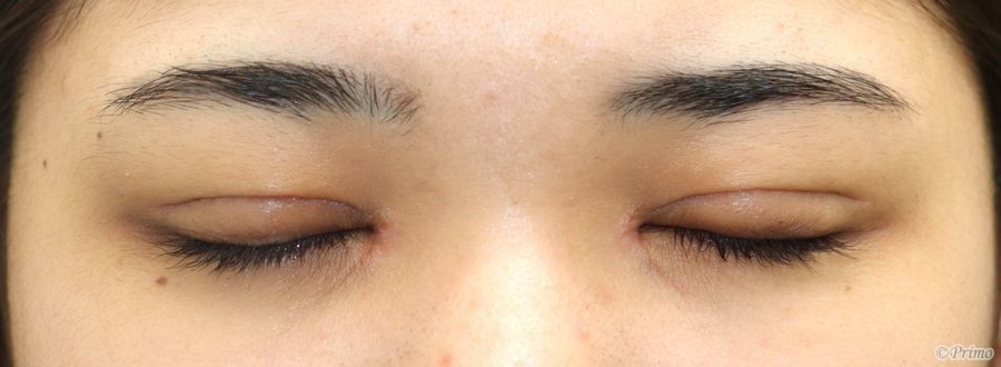
手術後1ヶ月

手術後1ヶ月の目を閉じたところです。

 

手術後2ヶ月

眼瞼下垂+目頭切開+ROOF切除術手術後2ヶ月です。

 

手術後2ヶ月

手術後2ヶ月の目を閉じたところです。

 

手術後3ヶ月

眼瞼下垂+目頭切開+ROOF切除術手術後3ヶ月です。

 

手術後3ヶ月

手術後3ヶ月の目を閉じたところです。

 

手術後6ヶ月

眼瞼下垂+目頭切開+ROOF切除術手術後6ヶ月です。

目の開きが改善し、しっかりとした平行型二重が形成されました。

 

手術後6ヶ月

手術後6ヶ月の目を閉じたところです。

 

・費用(税込、麻酔代別)

 

眼瞼下垂手術 ¥660,000

目頭切開術  ¥275,000

ROOF切除術 ¥220,000

 

・リスク・副作用(起こり得る可能性のあること)

 

腫れ、内出血、瞼の違和感

睫毛側皮膚の知覚低下

埋没した吸収糸の露出

ラインの消失

瞼の形態の変化、顔の印象の変化

閉瞼不全、ドライアイ

ヘリング現象

 

© 2018 Primo All rights reserved.

メールで相談 カウンセリング予約 公式LINE オンライン診療 オンラインショップ 0120-062-069