GJ 全切開+上眼瞼脱脂術+目頭切開+目尻切開+下眼瞼拡大術+逆さまつ毛手術 症例経過写真 | プリモ麻布十番クリニック 2503

症例写真

GJ 全切開+上眼瞼脱脂術+目頭切開+目尻切開+下眼瞼拡大術+逆さまつ毛手術 症例経過写真

Before

手術前の目元です。

3年前に他院で埋没法を受けていらっしゃいましたが糸がとれてしまったようです。

広めの二重を作りながら、目を大きく優しいナチュラルなたれ目にしたいとのご要望から、

当院にて全切開+上眼瞼脱脂術+目頭切開+下眼瞼拡大術+目尻切開+逆さまつ毛手術を行いました。

 

After

全切開+上眼瞼脱脂術+目頭切開+下眼瞼拡大術+目尻切開+逆さまつ毛手術後6ヶ月の経過写真です。

しっかりとした二重が形成され、内側、外側下方向に目が大きくなりました。

 

手術前

手術前の目元です。

 

手術前

手術前の斜めからです。

 

手術前

手術前の横からです。

 

手術後1週間

全切開+上眼瞼脱脂術+目頭切開+目尻切開+下眼瞼拡大術+逆さまつ毛手術後1週間です。

 

手術後1週間

手術後1週間の斜めからです。

 

手術後1週間

手術後1週間の横からです。

 

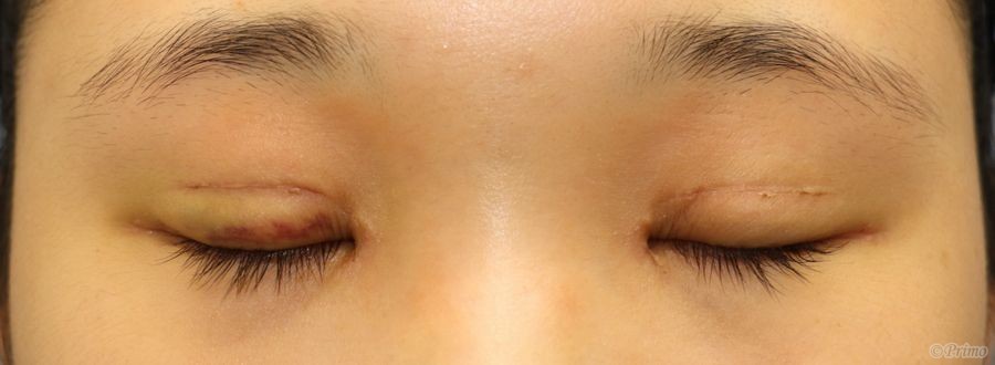
手術後1週間

手術後1週間の目を閉じたところです。

 

手術後2週間

全切開+上眼瞼脱脂術+目頭切開+目尻切開+下眼瞼拡大術+逆さまつ毛手術後2週間です。

腫れが順調に落ち着いてきました。

 

手術後2週間

手術後2週間の斜めからです。

 

手術後2週間

手術後2週間の横からです。

 

手術後2週間

手術後2週間の目を閉じたところです。

 

手術後1ヶ月

全切開+上眼瞼脱脂術+目頭切開+目尻切開+下眼瞼拡大術+逆さまつ毛手術後1ヶ月の経過写真です。

 

手術後1ヶ月

手術後1ヶ月の斜めからです。

 

手術後1ヶ月

手術後1ヶ月の横からです。

 

手術後1ヶ月

手術後1ヶ月の目を閉じたところです。

 

手術後2ヶ月

全切開+上眼瞼脱脂術+目頭切開+目尻切開+下眼瞼拡大術+逆さまつ毛手術後2ヶ月の経過写真です。

 

手術後2ヶ月

手術後2ヶ月の斜めからです。

 

手術後2ヶ月

手術後2ヶ月の横からです。

 

手術後2ヶ月

手術後2ヶ月の目を閉じたところです。

 

手術後3ヶ月

全切開+上眼瞼脱脂術+目頭切開+目尻切開+下眼瞼拡大術+逆さまつ毛手術後3ヶ月の経過写真です。

 

手術後3ヶ月

手術後3ヶ月の斜めからです。

 

手術後3ヶ月

手術後3ヶ月の横からです。

 

手術後3ヶ月

手術後3ヶ月の目を閉じたところです。

 

手術後6ヶ月

全切開+上眼瞼脱脂術+目頭切開+目尻切開+下眼瞼拡大術+逆さまつ毛手術後6ヶ月の経過写真です。

しっかりとした二重が形成されました。

 

手術後6ヶ月

手術後6ヶ月の斜めからです。

内側、外側下方向に目が大きくなりました。

 

手術後6ヶ月

手術後6ヶ月の横からです。

 

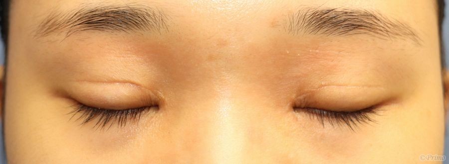
手術後6ヶ月

手術後6ヶ月の目を閉じたところです。

 

・費用(税込、麻酔代別)

 

全切開+上眼瞼脱脂術 ¥385,000

目頭切開       ¥275,000

下眼瞼拡大術     ¥440,000

目尻切開       ¥275,000

二重修正術      ¥440,000

逆さまつ毛手術    ¥220,000

 

・リスク・副作用(起こり得る可能性のあること)

 

腫れ、内出血、瞼の違和感、傷跡

睫毛側皮膚の知覚低下

ラインの消失

瞼の形態の変化

脂肪の摘出困難

上眼瞼の陥凹

埋没した吸収糸の露出

三白眼逆さまつ毛、複視

 

© 2018 Primo All rights reserved.

メールで相談 カウンセリング予約 公式LINE オンライン診療 オンラインショップ 0120-062-069