GU 二重埋没法6点固定+目頭切開 症例経過写真 | プリモ麻布十番クリニック 2503

症例写真

GU 二重埋没法6点固定+目頭切開 症例経過写真

Before

手術前の目元です。

他院で埋没法4点固定を受けていらっしゃいました。

二重の幅をもう少し広げたい、目と目の距離を近づけたいというご要望から、

二重埋没6点固定+目頭切開を行いました。

 

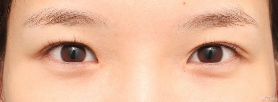
After

二重埋没法6点固定+目頭切開手術後6ヶ月です。

二重の幅が広がり、ぱっちりとした目になりました。

目と目の間の距離が近づきバランスよく目が大きくなりました。

 

手術前

手術前の目元です。

 

手術後1週間

二重埋没法6点固定+目頭切開手術後1週間です。

 

手術後1週間

手術後1週間の目を閉じたところです。

 

手術後2週間

二重埋没法6点固定+目頭切開手術後2週間です。

 

手術後2週間

手術後2週間の目を閉じたところです。

 

手術後3ヶ月

二重埋没法6点固定+目頭切開手術後3ヶ月です。

腫れが大分落ち着きました。

 

手術後3ヶ月

手術後3ヶ月の目を閉じたところです。

 

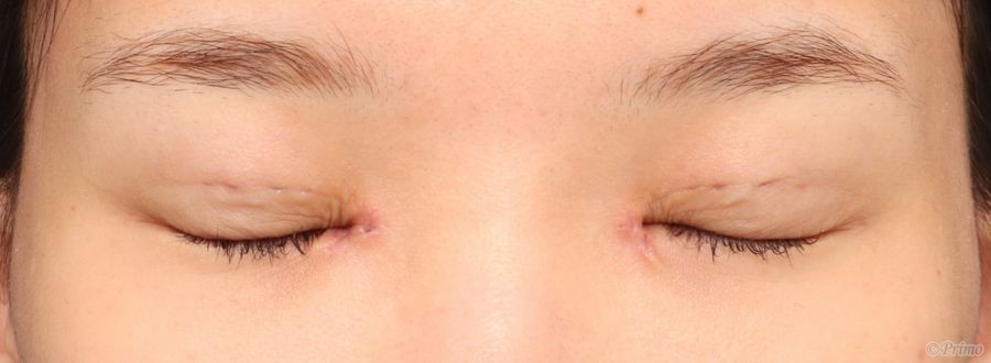
手術後6ヶ月

二重埋没法6点固定+目頭切開手術後6ヶ月です。

二重の幅が広くなりました。

目と目の距離が近づき、バランス良く目が大きくなりました。

 

手術後6ヶ月

手術後6ヶ月の目を閉じたところです。

 

・費用(税込、麻酔代別)

 

二重埋没法6点固定 ¥176,000

目頭切開術     ¥275,000

 

・リスク・副作用(起こり得る可能性のあること)

 

腫れ、内出血、瞼の違和感、傷跡

埋没糸の露出

ラインの消失

逆さまつ毛

埋没した吸収糸の露出

瞼の形態の変化

 

© 2018 Primo All rights reserved.

メールで相談 カウンセリング予約 公式LINE オンライン診療 オンラインショップ 0120-062-069