HL 二重埋没法6点固定+目頭切開 症例経過写真 | プリモ麻布十番クリニック 2503

症例写真

HL 二重埋没法6点固定+目頭切開 症例経過写真

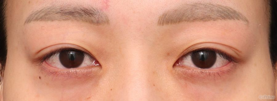
Before

手術前の目元です。

8年前に他院で埋没法を受けていらっしゃいました。

二重を幅広の平行型二重にしたい、目と目の距離を近づけたいというご希望から、

当院で二重埋没法6点固定+目頭切開を行いました。

 

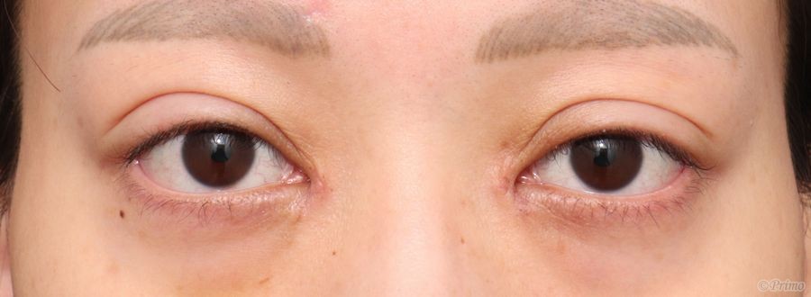
After

二重埋没法6点固定+目頭切開手術後3ヶ月です。

二重の幅が自然に広くなりました。

目頭切開によって目が内側に大きくなり、目と目の間隔が近くなりました。

 

手術前

手術前の目元です。

 

手術後1週間

二重埋没法6点固定+目頭切開手術後1週間です。

腫れは次第に落ち着き自然な幅になります。

 

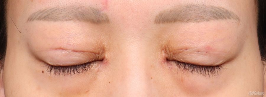
手術後1週間

手術後1週間の目を閉じたところです。

 

手術後2週間

二重埋没法6点固定+目頭切開手術後2週間です。

 

手術後2週間

手術後2週間の目を閉じたところです。

 

手術後3ヶ月

二重埋没法6点固定+目頭切開手術後3ヶ月です。

目頭の傷痕が落ち着いて目立たなくなりました。

幅広の二重になり、目が内側に大きくなりました。

 

手術後3ヶ月

手術後3ヶ月の目を閉じたところです。

 

・費用(税込、麻酔代別)

 

二重埋没法6点固定 ¥176,000

目頭切開術     ¥275,000

 

・リスク・副作用(起こり得る可能性のあること)

 

腫れ、内出血、瞼の違和感、傷跡

埋没糸の露出

ラインの消失

逆さまつ毛

埋没した吸収糸の露出

瞼の形態の変化

 

© 2018 Primo All rights reserved.

メールで相談 カウンセリング予約 公式LINE オンライン診療 オンラインショップ 0120-062-069