S 二重埋没法6点固定 症例経過写真 | プリモ麻布十番クリニック 2503

症例写真

S 二重埋没法6点固定 症例経過写真

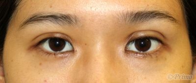
Before


手術前の目元です。
平行型二重を希望され、
当院で二重埋没法6点固定手術を行いました。

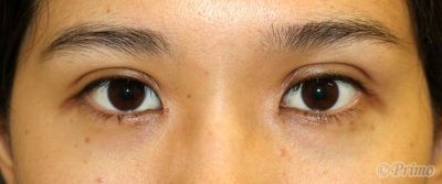
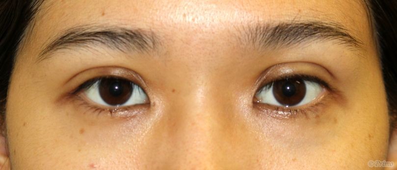
After


二重埋没法6点固定手術後6か月です。
術後は綺麗な平行型二重になりました。
眉毛も降りて睫毛と眉毛の距離が狭くなりました。

手術前


手術前の目元です。

手術直後


術直後はこのような感じでした。

手術直後


術直後の目を閉じたところです。

手術後1日

po1D目元

二重埋没法6点固定手術後1日目です。

手術後1日

po1D目元閉瞼

術後1日目の目を閉じたところです。

手術後3日


二重埋没法6点固定手術後3日目です。

手術後3日


手術後3日目を目を閉じたところです。

手術後1週間


二重埋没法6点固定手術後1週間です。

手術後1週間


手術後1週間の目を閉じたところです。

手術後2週間


二重埋没法6点固定手術後2週間です。

手術後2週間


手術後2週間のめを閉じたところです。

手術後1ヶ月

po1M目元

二重埋没法6点固定手術後1ヶ月です。

手術後1ヶ月

po1M目元閉瞼

手術後1ヶ月の目を閉じたところです。

手術後2ヶ月


二重埋没法6点固定手術後2ヶ月です。

手術後2ヶ月


手術後2ヶ月の目を閉じたところです。

手術後3ヶ月

po3M目元

二重埋没法6点固定手術後3ヶ月です。

手術後3ヶ月

po3M目元閉瞼

手術後3ヶ月の目を閉じたところです。

手術後6ヶ月


二重埋没法6点固定手術後6ヶ月です。

手術後6ヶ月


手術後6ヶ月の目を閉じたところです。

・費用(税込、麻酔代別)

 

二重埋没法6点固定 ¥176,000

 

・リスク・副作用(起こり得る可能性のあること)

 

腫れ、内出血

瞼の違和感

埋没糸の露出

ラインの消失

逆さまつ毛

 

© 2018 Primo All rights reserved.

メールで相談 カウンセリング予約 公式LINE オンライン診療 オンラインショップ 0120-062-069