W 右二重埋没法6点固定 症例経過写真 | プリモ麻布十番クリニック 2503

症例写真

W 右二重埋没法6点固定 症例経過写真

Before


手術前の目元です。
術前は他院で行われた埋没法による二重があいまいになっている状態でした。
ご本人の希望から右のみ幅をもう少し広くしたいということで、
当院で二重埋没法6点固定を行いました。

After


右二重埋没法6点固定手術後6ヶ月です。
術後は左よりも若干広めの二重がしっかりと形成されました。

手術前


手術前の目元です。

手術後1週間

po1W目元

右二重埋没法6点固定手術後1週間です。

手術後1週間

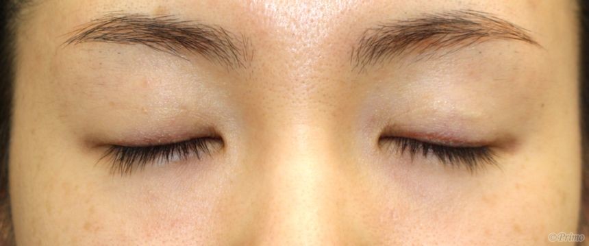
po1W目元閉瞼

手術後1週間の目を閉じたところです。

手術後2週間

po2W目元

右二重埋没法6点固定手術後2週間です。

手術後2週間

po2W目元閉瞼

手術後2週間の目を閉じたところです。

手術後1ヶ月

po1M目元

右二重埋没法6点固定手術後1ヶ月です。

手術後1ヶ月

po1M目元閉瞼

手術後1ヶ月の目を閉じたところです。

手術後2ヶ月

po2M目元

右二重埋没法6点固定手術後2ヶ月です。

手術後2ヶ月

po2M目元閉瞼

手術後2ヶ月の目を閉じたところです。

手術後3ヶ月


右二重埋没法6点固定手術後3ヶ月です。

手術後3ヶ月


手術後3ヶ月の目を閉じたところです。

手術後6ヶ月


右二重埋没法6点固定手術後6ヶ月です。

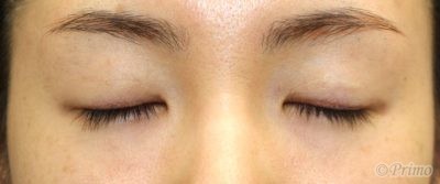
手術後6ヶ月


手術後6ヶ月の目を閉じたところです。

・費用(税込、麻酔代別)

 

二重埋没法6点固定 ¥176,000

 

・リスク・副作用(起こり得る可能性のあること)

 

腫れ、内出血

瞼の違和感

埋没糸の露出

ラインの消失

逆さまつ毛

 

© 2018 Primo All rights reserved.

メールで相談 カウンセリング予約 公式LINE オンライン診療 オンラインショップ 0120-062-069