BO 二重埋没法6点固定 症例経過写真 | プリモ麻布十番クリニック 2503

症例写真

BO 二重埋没法6点固定 症例経過写真

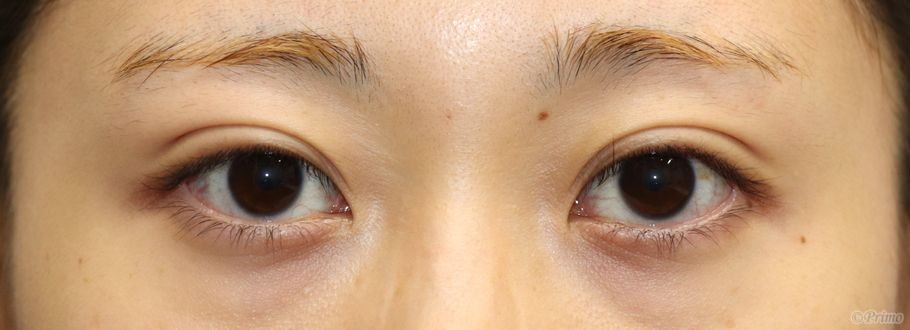
Before

手術前の目元です。

はっきりとした平行型の二重にしたいとのご希望から、

二重埋没法6点固定を行いました。

 

After

二重埋没法6点固定手術後6ヶ月です。

平行型の二重がしっかりと形成されました。

手術前

手術前の目元です。

手術後1週間

二重埋没法6点固定手術後1週間です。

手術後1週間

手術後1週間の目を閉じたところです。

手術後2週間

二重埋没法6点固定手術後2週間です。

手術後2週間

手術後2週間の目を閉じたところです。

手術後1ヶ月

二重埋没法6点固定手術後1ヶ月です。

手術後1ヶ月

手術後1ヶ月の目を閉じたところです。

手術後2ヶ月

二重埋没法6点固定手術後2ヶ月です。

手術後2ヶ月

手術後2ヶ月の目を閉じたところです。

手術後3ヶ月

二重埋没法6点固定手術後3ヶ月です。

手術後3ヶ月

手術後3ヶ月の目を閉じたところです。

手術後6ヶ月

二重埋没法6点固定手術後6ヶ月です。

手術後6ヶ月

手術後6ヶ月の目を閉じたところです。

・費用(税込、麻酔代別)

 

二重埋没法6点固定 ¥176,000

 

・リスク・副作用(起こり得る可能性のあること)

 

腫れ、内出血

瞼の違和感

埋没糸の露出

ラインの消失

逆さまつ毛

 

© 2018 Primo All rights reserved.

メールで相談 カウンセリング予約 公式LINE オンライン診療 オンラインショップ 0120-062-069