症例写真
手術前の目元です。
今よりも広い二重にしたいというご希望で、
二重埋没法6点固定を行いました。
二重埋没法6点固定手術後6ヶ月です。
少し広めの自然な二重になりました。
二重埋没法6点固定手術後1週間です。
すでに術後の腫れはほぼ目立ちません。
手術後1週間の目を閉じたところです。
二重埋没法6点固定手術後2週間です。
手術後2週間の目を閉じたところです。
二重埋没法6点固定手術後1ヶ月です。
手術後1ヶ月の目を閉じたところです。
二重埋没法6点固定手術後3ヶ月です。
手術後3ヶ月の目を閉じたところです。
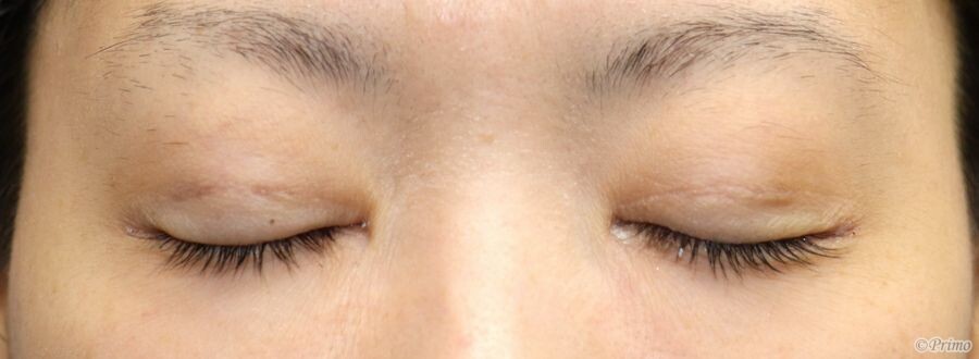
手術後6ヶ月の目を閉じたところです。
・費用(税込、麻酔代別)
二重埋没法6点固定 ¥176,000
・リスク・副作用(起こり得る可能性のあること)
腫れ、内出血
瞼の違和感
埋没糸の露出
ラインの消失
逆さまつ毛
目整形
二重埋没法6点固定
© 2018 Primo All rights reserved.