DZ 二重埋没法6点固定+上眼瞼脱脂術 症例経過写真 | プリモ麻布十番クリニック 2503

症例写真

DZ 二重埋没法6点固定+上眼瞼脱脂術 症例経過写真

Before

手術前の目元です。

まぶたの厚みを改善し、狭めの二重にしたいとのご希望から、

当院で二重埋没法6点固定+上眼瞼脱脂術を行いました。

 

After

二重埋没法6点固定+上眼瞼脱脂術手術後6ヶ月です。

狭めの二重が形成されました。

まぶたの腫れぼったさがなくなりすっきりしました。

 

手術前

手術前の目元です。

 

手術後1週間

二重埋没法6点固定+上眼瞼脱脂術手術後1週間です。

 

手術後1週間

手術後1週間の目を閉じたところです。

 

手術後11日

二重埋没法6点固定+上眼瞼脱脂術手術後11日後です。

 

手術後11日

手術後11日の目を閉じたところです。

 

手術後3ヶ月

二重埋没法6点固定+上眼瞼脱脂術手術後3ヶ月です。

 

手術後3ヶ月

手術後3ヶ月の目を閉じたところです。

 

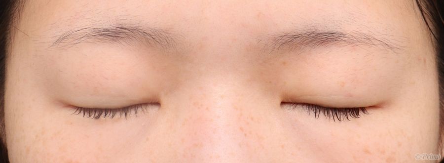
手術後6ヶ月

二重埋没法6点固定+上眼瞼脱脂術手術後6ヶ月です。

狭めの二重が形成され、まぶたの厚みがなくなりすっきりしました。

 

手術後6ヶ月

手術後6ヶ月の目を閉じたところです。

 

・費用(税込、麻酔代別)

 

二重埋没法6点固定 ¥176,000

上眼瞼脱脂術    ¥132,000

 

・リスク・副作用(起こり得る可能性のあること)

 

腫れ、内出血

瞼の違和感

埋没糸の露出

ラインの消失

逆さまつ毛

脂肪の摘出困難

上眼瞼の陥凹

 

© 2018 Primo All rights reserved.

メールで相談 カウンセリング予約 公式LINE オンライン診療 オンラインショップ 0120-062-069