症例写真
手術前の目元です。 平行型の二重にしたいというご希望により、 当院で全切開+上眼瞼脱脂術を行いました。
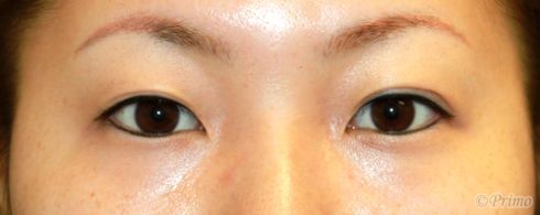
全切開+上眼瞼脱脂術手術後4年4か月です。 しっかりとした平行型二重が形成されています。
手術前の目元です。
切除した皮膚および脂肪。
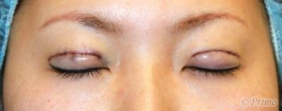
手術直後。
手術直後の目を閉じたところです。
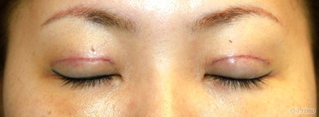
全切開+上眼瞼脱脂術後6日目です。
手術後6日目の抜糸直後の閉瞼したところです。
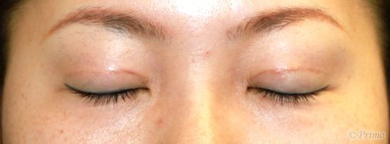
全切開+上眼瞼脱脂術後3カ月です。
手術後3カ月の目を閉じたところです。
全切開+上眼瞼脱脂術手術後4年4か月です。
手術後4年4か月の目を閉じたところです。
・費用(税込、麻酔代別)
全切開+上眼瞼脱脂術 ¥385,000
・リスク・副作用(起こり得る可能性のあること)
腫れ、内出血、瞼の違和感、傷跡
睫毛側皮膚の知覚低下
ラインの消失
瞼の形態の変化
脂肪の摘出困難
上眼瞼の陥凹
目整形
全切開
上眼瞼脱脂術
© 2018 Primo All rights reserved.