BA 全切開+上眼瞼脱脂術 症例経過写真 | プリモ麻布十番クリニック 2503

症例写真

BA 全切開+上眼瞼脱脂術 症例経過写真

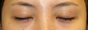
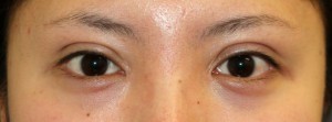
Before


手術前の目元です。
術前は二重がやや浅く、タルミがあるためまつ毛に皮膚が乗っている状態でした。
まつ毛がお辞儀してはっきりとしないため、しっかりとしたラインを形成する目的で、
当院で全切開+上眼瞼脱脂術を行いました。

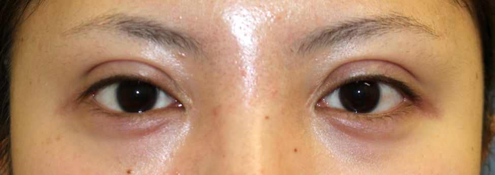
After


全切開+上眼瞼脱脂術手術後6ヶ月です。
術後は希望の平行型二重が形成されました。
ラインの下のタルミが減ってまつ毛が起こしやすくなりました。

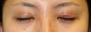
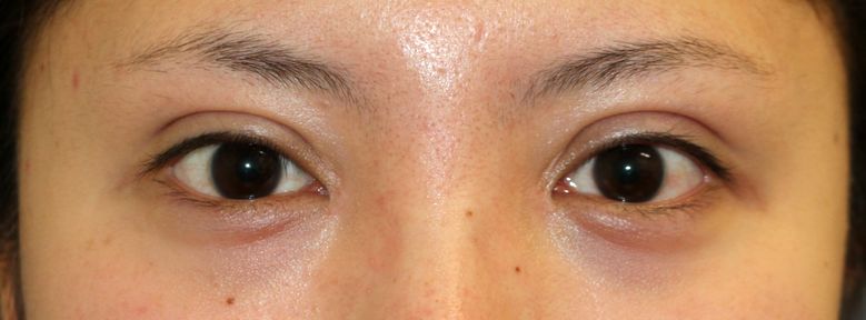
手術前


手術前の目元です。

手術1週間後

po1W目元

全切開+上眼瞼脱脂術手術後1週間です。

手術1週間後

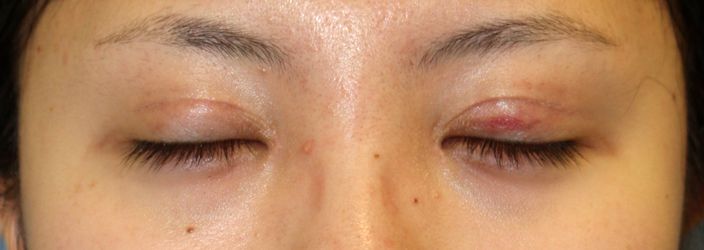
po1W目元閉瞼

手術後1週間の目を閉じたところです。

手術2週間後

po2W目元

全切開+上眼瞼脱脂術手術後2週間です。

手術2週間後

po2W目元閉瞼

手術後2週間の目を閉じたところです。

手術後1か月

po1M目元

全切開+上眼瞼脱脂術手術後1ヶ月です。

手術後1か月

po1M目元閉瞼

手術後1ヶ月の目を閉じたところです。

手術後2か月

po2M目元

全切開+上眼瞼脱脂術手術後2ヶ月です。

手術後2か月

po2M目元閉瞼

手術後2ヶ月の目を閉じたところです。

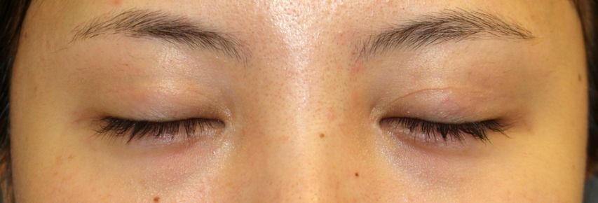
手術後6か月

po6M目元2

全切開+上眼瞼脱脂術手術後6ヶ月です。

手術後6か月

po6M目元閉瞼

手術後6ヶ月の目を閉じたところです。

・費用(税込、麻酔代別)

 

全切開+上眼瞼脱脂術 ¥385,000

 

・リスク・副作用(起こり得る可能性のあること)

 

腫れ、内出血、瞼の違和感、傷跡

睫毛側皮膚の知覚低下

ラインの消失

瞼の形態の変化

脂肪の摘出困難

上眼瞼の陥凹

 

© 2018 Primo All rights reserved.

メールで相談 カウンセリング予約 公式LINE オンライン診療 オンラインショップ 0120-062-069