BR 全切開+上眼瞼脱脂術+ROOF切除術 症例経過写真 | プリモ麻布十番クリニック 2503

症例写真

BR 全切開+上眼瞼脱脂術+ROOF切除術 症例経過写真

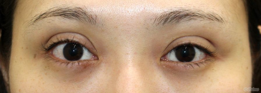
Before

手術前の目元です。

他院で埋没法を3回受けていらっしゃいましたが、

埋没糸がとれてしまっている状態でした。

自然な平行型の二重を希望され、当院で全切開+上眼瞼脱脂術を行いました。

まぶたの厚みを解消するためROOF切除術も行っています。

After

全切開+上眼瞼脱脂術後8ヶ月です。

術後は自然な平行型の二重がしっかりと形成されました。

ROOF切除によってまぶたの腫れぼったさも改善され、すっきりとしたまぶたになりました。

手術前

手術前の目元です。

手術後1週間

全切開+上眼瞼脱脂術後1週間です。

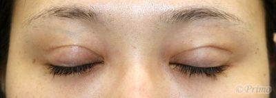
手術後1週間

手術後1週間の目を閉じたところです。

手術後2週間

全切開+上眼瞼脱脂術後2週間です。

手術後2週間

手術後2週間の目を閉じたところです。

手術後1ヶ月

全切開+上眼瞼脱脂術後1ヶ月です。

手術後1ヶ月

手術後1ヶ月の目を閉じたところです。

手術後2ヶ月

全切開+上眼瞼脱脂術後2ヶ月です。

手術後2ヶ月

手術後2ヶ月の目を閉じたところです。

手術後5ヶ月

全切開+上眼瞼脱脂術後5ヶ月です。

手術後5ヶ月

手術後5ヶ月の目を閉じたところです。

手術後8ヶ月

全切開+上眼瞼脱脂術後8ヶ月です。

手術後8ヶ月

手術後8ヶ月の目を閉じたところです。

・費用(税込、麻酔代別)

 

全切開+上眼瞼脱脂術    ¥385,000

ROOF切除術(セット割引) ¥110,000

 

・リスク・副作用(起こり得る可能性のあること)

 

腫れ、内出血

瞼の違和感

二重の傷跡

睫毛側皮膚の知覚低下

ラインの消失

瞼の形態の変化

脂肪の摘出困難

上眼瞼の陥凹

 

© 2018 Primo All rights reserved.

メールで相談 カウンセリング予約 公式LINE オンライン診療 オンラインショップ 0120-062-069