CG 全切開+上眼瞼脱脂術 症例経過写真 | プリモ麻布十番クリニック 2503

症例写真

CG 全切開+上眼瞼脱脂術 症例経過写真

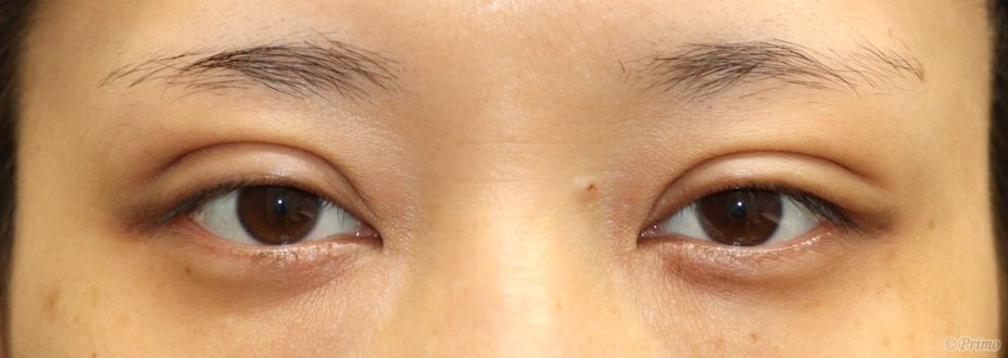
Before

手術前の目元です。

術前は他院で2年程前に埋没法を受けていらっしゃいました。

まぶたのたるみを改善したいというご希望により、

当院で全切開+上眼瞼脱脂術を行いました。

幅広の平行型二重を希望されました。

 

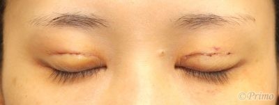
After

全切開+上眼瞼脱脂術後6ヶ月です。

術後はまぶたのたるみとれてがすっきりとしています。

幅広の平行型二重がしっかりと形成されました。

 

手術前

手術前の目元です。

手術後1週間

全切開+上眼瞼脱脂術後1週間です。

手術後1週間

手術後1週間の目を閉じたところです。

手術後2週間

全切開+上眼瞼脱脂術後2週間です。

手術後2週間

手術後2週間の目を閉じたところです。

手術後1ヶ月

全切開+上眼瞼脱脂術後1ヶ月です。

手術後1ヶ月

手術後1ヶ月の目を閉じたところです。

手術後2ヶ月

全切開+上眼瞼脱脂術後2ヶ月です。

手術後2ヶ月

手術後2ヶ月の目を閉じたところです。

手術後3ヶ月

全切開+上眼瞼脱脂術後3ヶ月です。

手術後3ヶ月

手術後3ヶ月の目を閉じたところです。

手術後6ヶ月

全切開+上眼瞼脱脂術後6ヶ月です。

手術後6ヶ月

手術後6ヶ月の目を閉じたところです。

・費用(税込、麻酔代別)

 

全切開+上眼瞼脱脂術 ¥385,000

 

・リスク・副作用(起こり得る可能性のあること)

 

腫れ、内出血、瞼の違和感、傷跡

睫毛側皮膚の知覚低下

ラインの消失

瞼の形態の変化

脂肪の摘出困難

上眼瞼の陥凹

 

© 2018 Primo All rights reserved.

メールで相談 カウンセリング予約 公式LINE オンライン診療 オンラインショップ 0120-062-069