DQ 全切開+上眼瞼脱脂術 症例経過写真 | プリモ麻布十番クリニック 2503

症例写真

DQ 全切開+上眼瞼脱脂術 症例経過写真

Before

手術前の目元です。

4年前に他院で埋没法を受けていらっしゃいましたが、糸が外れてしまっていました。

狭めの平行型二重にしたいということで、

当院で全切開+上眼瞼脱脂術を行いました。

 

After

全切開+上眼瞼脱脂術後6ヶ月です。

バランスの良いしっかりとした二重が形成されました。

 

手術前

手術前の目元です。

 

手術後1週間

全切開+上眼瞼脱脂術後1週間です。

腫れやむくみがまだ残っていますが、

経過とともに落ち着いて自然な幅になります。

 

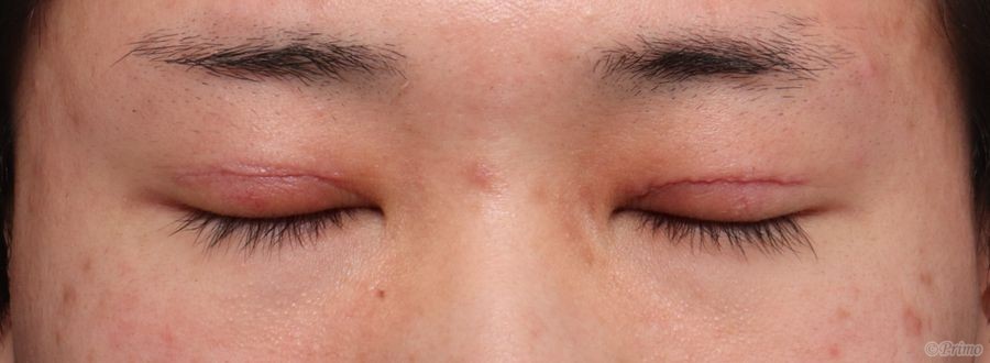
手術後1週間

手術後1週間の目を閉じたところです。

 

手術後2週間

全切開+上眼瞼脱脂術後2週間です。

 

手術後2週間

手術後2週間の目を閉じたところです。

 

手術後3ヶ月

全切開+上眼瞼脱脂術後3ヶ月です。

大分落ち着きました。

 

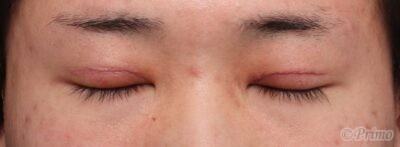
手術後3ヶ月

手術後3ヶ月の目を閉じたところです。

 

手術後6ヶ月

全切開+上眼瞼脱脂術後6ヶ月です。

しっかりとした二重が形成されました。

 

手術後6ヶ月

手術後6ヶ月の目を閉じたところです。

 

・費用(税込、麻酔代別)

 

全切開+上眼瞼脱脂術 ¥385,000

 

・リスク・副作用(起こり得る可能性のあること)

 

腫れ、内出血、瞼の違和感、傷跡

睫毛側皮膚の知覚低下

ラインの消失

瞼の形態の変化

脂肪の摘出困難

上眼瞼の陥凹

 

© 2018 Primo All rights reserved.

メールで相談 カウンセリング予約 公式LINE オンライン診療 オンラインショップ 0120-062-069