DX 全切開+上眼瞼脱脂術 症例経過写真 | プリモ麻布十番クリニック 2503

症例写真

DX 全切開+上眼瞼脱脂術 症例経過写真

Before

手術前の目元です。

他院で3回埋没法を受けていらっしゃいました。

ハム目を解消して自然な二重にするために、

当院で全切開+上眼瞼脱脂術を行いました。

 

After

全切開+上眼瞼脱脂術後6ヶ月です。

幅が狭くなりバランスの良い自然なラインになりました。

 

手術前

手術前の目元です。

 

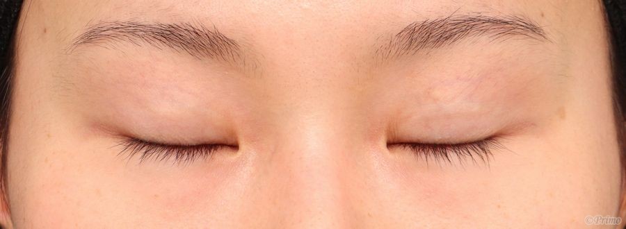
手術前

手術前の目を閉じたところです。

 

手術後1週間

全切開+上眼瞼脱脂術後1週間です。

腫れやむくみが目立つ時期ですが、

経過とともに落ち着き幅が狭くなります。

 

手術後1週間

手術後1週間の目を閉じたところです。

 

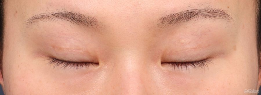
手術後2週間

全切開+上眼瞼脱脂術後2週間です。

 

手術後2週間

手術後2週間の目を閉じたところです。

 

手術後3ヶ月

全切開+上眼瞼脱脂術後3ヶ月です。

むくみが落ち着きすっきりしました。

 

手術後3ヶ月

手術後3ヶ月の目を閉じたところです。

 

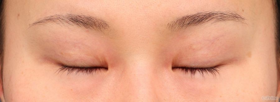
手術後6ヶ月

全切開+上眼瞼脱脂術後6ヶ月です。

幅が狭くなり自然なラインになりました。

 

手術後6ヶ月

手術後6ヶ月の目を閉じたところです。

 

・費用(税込、麻酔代別)

 

全切開+上眼瞼脱脂術 ¥385,000

 

・リスク・副作用(起こり得る可能性のあること)

 

腫れ、内出血、瞼の違和感、傷跡

睫毛側皮膚の知覚低下

ラインの消失

瞼の形態の変化

脂肪の摘出困難

上眼瞼の陥凹

 

© 2018 Primo All rights reserved.

メールで相談 カウンセリング予約 公式LINE オンライン診療 オンラインショップ 0120-062-069