EA 全切開+上眼瞼脱脂術 症例経過写真 | プリモ麻布十番クリニック 2503

症例写真

EA 全切開+上眼瞼脱脂術 症例経過写真

Before

手術前の目元です。

まぶたの脂肪を取り除いてしっかりと二重のラインを形成する目的で、

当院で全切開+上眼瞼脱脂術を行いました。

 

After

全切開+上眼瞼脱脂術後6ヶ月です。

まぶたの腫れぼったさが解消され、しっかりとした二重が形成されました。

 

手術前

手術前の目元です。

 

手術後1週間

全切開+上眼瞼脱脂術後1週間です。

経過とともに腫れが落ち着き幅は狭くなります。

 

手術後1週間

手術後1週間の目を閉じたところです。

 

手術後2週間

全切開+上眼瞼脱脂術後2週間です。

 

手術後2週間

手術後2週間の目を閉じたところです。

 

手術後3ヶ月

全切開+上眼瞼脱脂術後3ヶ月です。

 

手術後3ヶ月

手術後3ヶ月の目を閉じたところです。

 

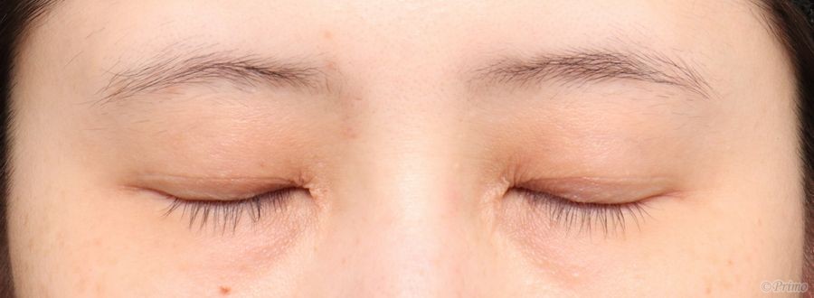
手術後6ヶ月

全切開+上眼瞼脱脂術後6ヶ月です。

しっかりとした二重が形成されました。

 

手術後6ヶ月

手術後6ヶ月の目を閉じたところです。

 

・費用(税込、麻酔代別)

 

全切開+上眼瞼脱脂術 ¥385,000

 

・リスク・副作用(起こり得る可能性のあること)

 

腫れ、内出血、瞼の違和感、傷跡

睫毛側皮膚の知覚低下

ラインの消失

瞼の形態の変化

脂肪の摘出困難

上眼瞼の陥凹

 

© 2018 Primo All rights reserved.

メールで相談 カウンセリング予約 公式LINE オンライン診療 オンラインショップ 0120-062-069