EF 全切開+上眼瞼脱脂術+ROOF切除術 症例経過写真 | プリモ麻布十番クリニック 2503

症例写真

EF 全切開+上眼瞼脱脂術+ROOF切除術 症例経過写真

Before

手術前の目元です。

5年前に他院で埋没法を受けていらっしゃいました。

まぶたのたるみが気になるということで、

当院で全切開+上眼瞼脱脂術+ROOF切除術+涙袋ヒアルロン酸注入を行いました。

 

After

全切開+上眼瞼脱脂術+ROOF切除術後6ヶ月です。

目の上がすっきりしてきれいな末広型二重になりました。

 

手術前

手術前の目元です。

 

手術後1週間

全切開+上眼瞼脱脂術+ROOF切除術+涙袋ヒアルロン酸注入手術後1週間です。

まだ腫れが目立ちますが経過とともに落ち着きすっきりします。

 

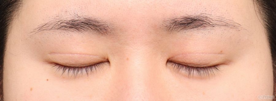
手術後1週間

手術後1週間の目を閉じたところです。

 

手術後2週間

全切開+上眼瞼脱脂術+ROOF切除術+涙袋ヒアルロン酸注入手術後2週間です。

 

手術後2週間

手術後2週間の目を閉じたところです。

 

手術後3ヶ月

全切開+上眼瞼脱脂術+ROOF切除術後3ヶ月です。

腫れが大分落ち着き、まぶたがすっきりしました。

 

手術後3ヶ月

手術後3ヶ月の目を閉じたところです。

 

手術後6ヶ月

全切開+上眼瞼脱脂術+ROOF切除術後6ヶ月です。

きれいな末広型二重になりました。

 

手術後6ヶ月

手術後6ヶ月の目を閉じたところです。

 

・費用(税込、麻酔代別)

 

全切開+上眼瞼脱脂術   ¥385,000

ROOF切除術(セット割引) ¥110,000

涙袋ヒアルロン酸注入   ¥33,000

 

・リスク・副作用(起こり得る可能性のあること)

 

腫れ、内出血

瞼の違和感

二重の傷跡

睫毛側皮膚の知覚低下

ラインの消失

瞼の形態の変化

脂肪の摘出困難

上眼瞼の陥凹

アレルギー反応、左右差、注入部のしこり

 

© 2018 Primo All rights reserved.

メールで相談 カウンセリング予約 公式LINE オンライン診療 オンラインショップ 0120-062-069