BE 眼瞼下垂手術 症例経過写真 | プリモ麻布十番クリニック 2503

症例写真

BE 眼瞼下垂手術 症例経過写真

Before

手術前の目元です。

術前は他院で埋没法を受けていらっしゃいました。

もっと目を大きくしたい、広めの平行型の二重にしたいとのご希望から、

当院で眼瞼下垂手術を行いました。

After

眼瞼下垂手術後6ヶ月です。

目の開きが良くなり、ぱっちりとしたお目元になりました。

 

手術前

手術前の目元です。

 

手術後1週間

眼瞼下垂手術後1週間です。

 

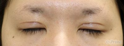
手術後1週間

手術後1週間の目を閉じたところです。

 

手術後2週間

眼瞼下垂手術後2週間です。

 

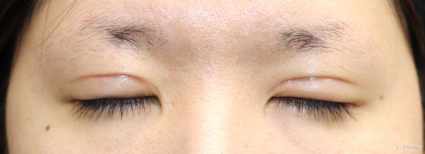
手術後2週間

手術後2週間の目を閉じたところです。

 

手術後1ヶ月

眼瞼下垂手術後1ヶ月です。

 

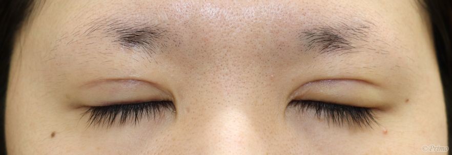
手術後1ヶ月

手術後1ヶ月の目を閉じたところです。

 

手術後2ヶ月

眼瞼下垂手術後2ヶ月です。

 

手術後2ヶ月

手術後2ヶ月の目を閉じたところです。

 

手術後3ヶ月

眼瞼下垂手術後3ヶ月です。

 

手術後3ヶ月

手術後3ヶ月の目を閉じたところです。

 

手術後6ヶ月

眼瞼下垂手術後6ヶ月です。

 

手術後6ヶ月

手術後6ヶ月の目を閉じたところです。

 

・費用(税込、麻酔代別)

 

眼瞼下垂手術 ¥660,000

 

・リスク・副作用(起こり得る可能性のあること)

 

腫れ、内出血

瞼の違和感

睫毛側皮膚の知覚低下

ラインの消失

瞼の形態の変化、顔の印象の変化

閉瞼不全、ドライアイ

ヘリング現象

 

© 2018 Primo All rights reserved.

メールで相談 カウンセリング予約 公式LINE オンライン診療 オンラインショップ 0120-062-069