BR 眼瞼下垂手術+二重修正術 症例経過写真 | プリモ麻布十番クリニック 2503

症例写真

BR 眼瞼下垂手術+二重修正術 症例経過写真

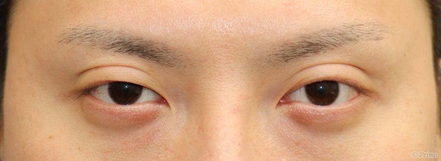
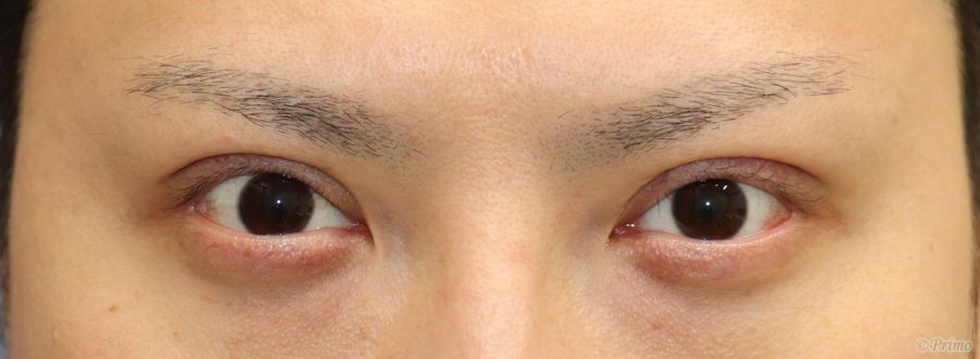
Before

手術前の目元です。

術前は他院で埋没法、全切開を受けていらっしゃいました。

目の開きを改善し、二重の幅を狭くしたいというご希望から、

当院で眼瞼下垂手術+二重修正術を行いました。

 

After

眼瞼下垂手術+二重修正術後3年4ヶ月です。

術後は目の開きが良くなり、自然な二重に変化しました。

 

手術前

手術前の目元です。

 

手術前

手術前の目を閉じたところです。

 

手術後1週間

眼瞼下垂手術+二重修正術後1週間です。

 

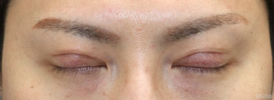
手術後1週間

手術後1週間の目を閉じたところです。

 

手術後2週間

眼瞼下垂手術+二重修正術後2週間です。

 

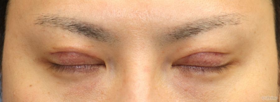
手術後2週間

手術後2週間の目を閉じたところです。

 

手術後1ヶ月

眼瞼下垂手術+二重修正術後1ヶ月です。

 

手術後1ヶ月

手術後1ヶ月の目を閉じたところです。

 

手術後3ヶ月

眼瞼下垂手術+二重修正術後3ヶ月です。

 

手術後3ヶ月

手術後3ヶ月の目を閉じたところです。

 

手術後6ヶ月

眼瞼下垂手術+二重修正術後6ヶ月です。

 

手術後6ヶ月

手術後6ヶ月の目を閉じたところです。

 

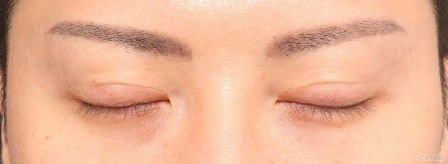
手術後3年4ヶ月

眼瞼下垂手術+二重修正術後3年4ヶ月です。

目の開きが良くなり、自然な幅の二重になりました。

 

手術後3年4ヶ月

手術後3年4ヶ月の目を閉じたところです。

 

・費用(税込、麻酔代別)

 

眼瞼下垂手術             ¥660,000

二重修正術              ¥440,000

(組織の移動や移植を伴う複雑なもの) ¥550,000

 

・リスク・副作用(起こり得る可能性のあること)

 

腫れ、内出血

瞼の違和感

二重の傷跡

睫毛側皮膚の知覚低下

ラインの消失

瞼の形態の変化、顔の形態の変化

閉瞼不全、ドライアイ

ヘリング現象

 

© 2018 Primo All rights reserved.

メールで相談 カウンセリング予約 公式LINE オンライン診療 オンラインショップ 0120-062-069