症例写真
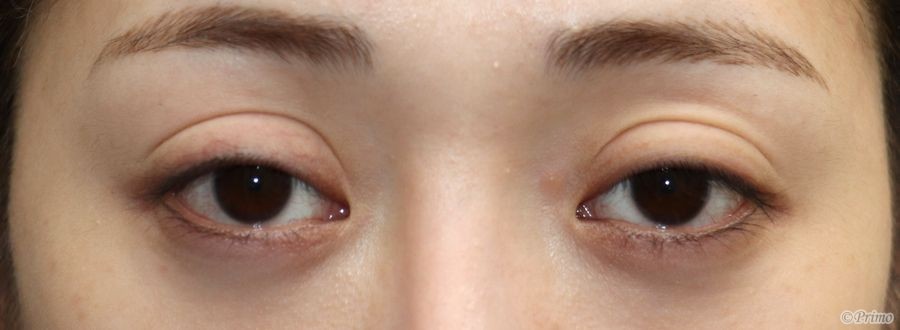
手術前の目元です。
他院にて以前に全切開二重術を行ったとのことです。
目の開きをパッチリさせて、二重の幅も狭めたいとのご希望で
当院にて眼瞼下垂手術(他院二重修正術を含む)を行いました。
眼瞼下垂手術後6ヶ月です。
目の開きを良くしながら、二重の幅も狭くし
パッチリとしたお目元になりました。
手術前の目を閉じたところです。
眼瞼下垂手術後1週間です。
手術後1週間の目を閉じたところです。
眼瞼下垂手術後2週間です。
手術後2週間の目を閉じたところです。
眼瞼下垂手術後1ヶ月です。
手術後1ヶ月の目を閉じたところです。
眼瞼下垂手術後2ヶ月です。
手術後2ヶ月の目を閉じたところです。
眼瞼下垂手術後3ヶ月です。
手術後3ヶ月の目を閉じたところです。
手術後6ヶ月の目を閉じたところです。
・費用(税込、麻酔代別)
眼瞼下垂手術 ¥660,000
二重修正を含むもの +¥220,000
・リスク・副作用(起こり得る可能性のあること)
腫れ、内出血
瞼の違和感
睫毛側皮膚の知覚低下
ラインの消失
瞼の形態の変化、顔の印象の変化
閉瞼不全、ドライアイ
ヘリング現象
目整形
眼瞼下垂手術
© 2018 Primo All rights reserved.