症例写真
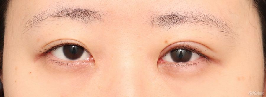
手術前の目元です。
8年前に他院で埋没法を受けていらっしゃいました。
左目の開きが弱く、改善して左右差をなくしたいとのご希望で、
左目眼瞼下垂手術を行いました。
眼瞼下垂手術後6ヶ月です。
左目が大きく開くようになり、左右のバランスが良くなりました。
左目眼瞼下垂手術後1週間です。
手術後1週間の目を閉じたところです。
左目眼瞼下垂手術後2週間です。
手術後2週間の目を閉じたところです。
左目眼瞼下垂手術後1ヶ月です。
手術後1ヶ月の目を閉じたところです。
左目眼瞼下垂手術後2ヶ月です。
手術後2ヶ月の目を閉じたところです。
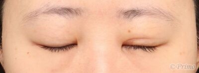
左目眼瞼下垂手術後3ヶ月です。
大分落ち着いてきました。
手術後3ヶ月の目を閉じたところです。
左目眼瞼下垂手術後6ヶ月です。
目の開きが改善し、左右差が小さくなりました。
手術後6ヶ月の目を閉じたところです。
・費用(税込、麻酔代別)
眼瞼下垂手術 ¥660,000
・リスク・副作用(起こり得る可能性のあること)
腫れ、内出血
瞼の違和感
睫毛側皮膚の知覚低下
ラインの消失
瞼の形態の変化、顔の印象の変化
閉瞼不全、ドライアイ
ヘリング現象
目整形
眼瞼下垂手術
© 2018 Primo All rights reserved.