CS 眼瞼下垂手術 症例経過写真 | プリモ麻布十番クリニック 2503

症例写真

CS 眼瞼下垂手術 症例経過写真

Before

手術前の目元です。

目の開きを改善する目的で、当院で眼瞼下垂手術を行いました。

目を全体的に大きくしたいということで、

術後2ヶ月で目頭切開+目尻切開+下眼瞼拡大術を行っています。

 

After

眼瞼下垂手術後8ヶ月です。

目がしっかりと開くようになり目力が強くなりました。

 

手術前

手術前の目元です。

 

手術後2ヶ月

眼瞼下垂手術後2ヶ月です。

 

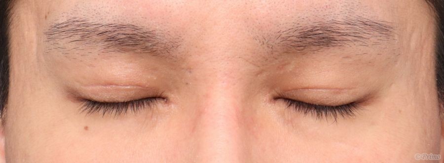
手術後2ヶ月

手術後2ヶ月の目を閉じたところです。

 

手術後5ヶ月

眼瞼下垂手術後5ヶ月です。

 

手術後5ヶ月

手術後5ヶ月の目を閉じたところです。

 

手術後8ヶ月

眼瞼下垂手術後8ヶ月です。

術後は目がしっかりと開くようになりました。

 

手術後8ヶ月

手術後8ヶ月の目を閉じたところです。

 

・費用(税込、麻酔代別)

 

眼瞼下垂手術 ¥660,000

 

・リスク・副作用(起こり得る可能性のあること)

 

腫れ、内出血

瞼の違和感

睫毛側皮膚の知覚低下

ラインの消失

瞼の形態の変化、顔の印象の変化

閉瞼不全、ドライアイ

ヘリング現象

 

© 2018 Primo All rights reserved.

メールで相談 カウンセリング予約 公式LINE オンライン診療 オンラインショップ 0120-062-069