CT 他院眼瞼下垂修正術 症例経過写真 | プリモ麻布十番クリニック 2503

症例写真

CT 他院眼瞼下垂修正術 症例経過写真

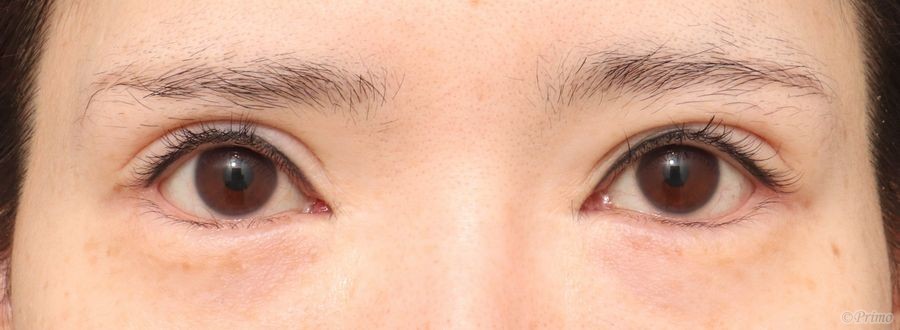
Before

手術前の目元です。

術前は他院で埋没法、全切開、眼瞼下垂手術、下眼瞼拡大術を、

当院で7年前に下眼瞼拡大修正術を受けていらっしゃいました。

目の開きをさらに良くしたいというご希望から、他院眼瞼下垂修正術を行いました。

 

After

他院眼瞼下垂修正術後6ヶ月の目元です。

目が最大限に開くようになり、目が大きく見えるようになりました。

 

手術前

手術前の目元です。

 

手術前

手術前の目を閉じたところです。

 

手術後1週間

他院眼瞼下垂修正術後1週間です。

まだ腫れが目立ちますが次第に落ち着き開きやすくなります。

 

手術後1週間

手術後1週間の目を閉じたところです。

 

手術後2週間

他院眼瞼下垂修正術後2週間です。

 

手術後2週間

術後2週間の目を閉じたところです。

 

手術後3ヶ月

他院眼瞼下垂修正術後3ヶ月です。

 

手術後3ヶ月

術後3ヶ月の目を閉じたところです。

 

手術後6ヶ月

他院眼瞼下垂修正術後6ヶ月です。

目が大きく開くようになりました。

 

手術後6ヶ月

術後6ヶ月の目を閉じたところです。

 

・費用(税込、麻酔代別)

 

他院眼瞼下垂修正術 ¥880,000

 

・リスク・副作用(起こり得る可能性のあること)

 

腫れ、内出血

瞼の違和感

傷跡

睫毛側皮膚の知覚低下

ラインの消失

瞼の形態の変化、顔の印象の変化

閉瞼不全、ドライアイ

ヘリング現象

 

© 2018 Primo All rights reserved.

メールで相談 カウンセリング予約 公式LINE オンライン診療 オンラインショップ 0120-062-069