CY 眼瞼下垂手術 症例経過写真 | プリモ麻布十番クリニック 2503

症例写真

CY 眼瞼下垂手術 症例経過写真

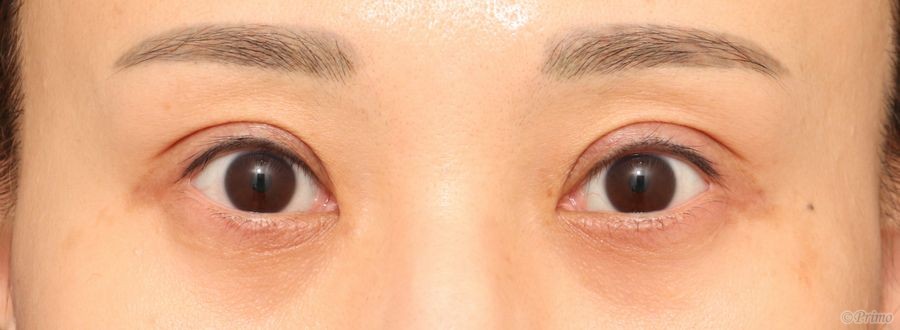
Before

手術前の目元です。

8年前に他院で埋没法を受けていらっしゃいました。

下垂の影響による目のくぼみが気になり、改善するため当院で眼瞼下垂手術を行いました。

 

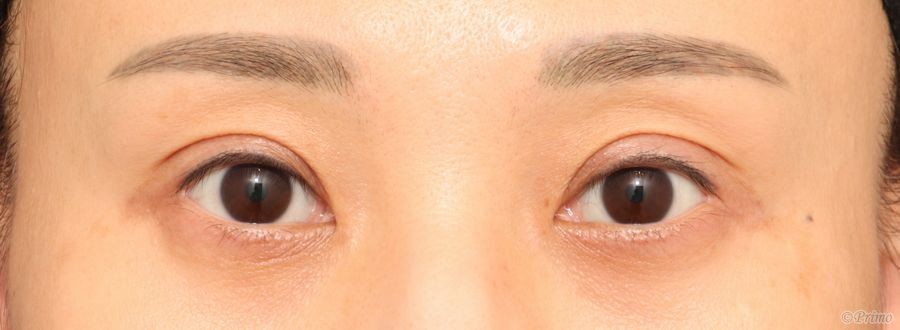
After

眼瞼下垂手術後6ヶ月です。

目の開きが良くなり、目の上のくぼみが解消されました。

二重のラインも安定しました。

 

手術前

手術前の目元です。

 

手術後1週間

眼瞼下垂手術後1週間です。

まだ腫れやむくみが強い時期です。

 

手術後1週間

手術後1週間の目を閉じたところです。

 

手術後2週間

眼瞼下垂手術後2週間です。

 

手術後2週間

手術後2週間の目を閉じたところです。

 

手術後1ヶ月

眼瞼下垂手術後1ヶ月です。

 

手術後1ヶ月

手術後1ヶ月の目を閉じたところです。

 

手術後3ヶ月

眼瞼下垂手術後3ヶ月です。

 

手術後3ヶ月

手術後3ヶ月の目を閉じたところです。

 

手術後6ヶ月

眼瞼下垂手術後6ヶ月です。

目の開きが良くなり、二重のラインがきれいになりました。

 

手術後6ヶ月

手術後6ヶ月の目を閉じたところです。

 

手術後8ヶ月

眼瞼下垂手術後8ヶ月(二重修正術後1.5ヶ月)です。

術後6.5ヶ月後にまぶたのかぶさりを減らす目的で二重修正術を行っています。

 

手術後8ヶ月

手術後8ヶ月の目を閉じたところです。

 

・費用(税込、麻酔代別)

 

眼瞼下垂手術 ¥660,000

 

・リスク・副作用(起こり得る可能性のあること)

 

腫れ、内出血

瞼の違和感

睫毛側皮膚の知覚低下

ラインの消失

瞼の形態の変化、顔の印象の変化

閉瞼不全、ドライアイ

ヘリング現象

 

© 2018 Primo All rights reserved.

メールで相談 カウンセリング予約 公式LINE オンライン診療 オンラインショップ 0120-062-069