CZ 眼瞼下垂手術+二重修正術 症例経過写真 | プリモ麻布十番クリニック 2503

症例写真

CZ 眼瞼下垂手術+二重修正術 症例経過写真

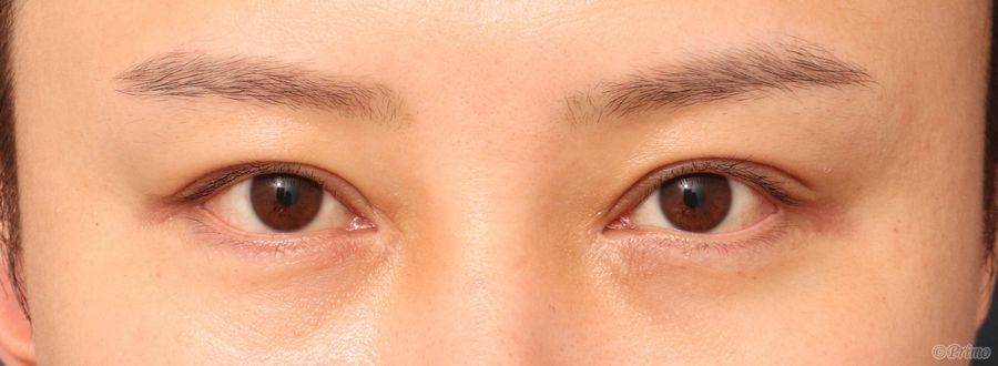
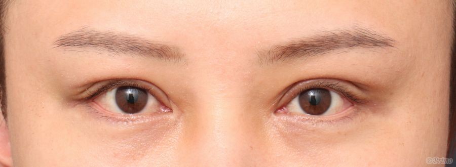
Before

手術前の目元です。

5年前に他院で埋没法を受けていらっしゃいました。

目の開きを改善し、二重の幅を狭める目的で、当院で眼瞼下垂手術+二重修正術を行いました。

 

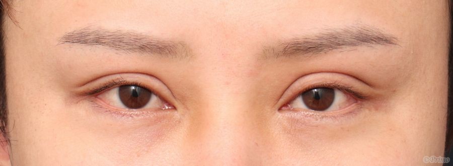
After

眼瞼下垂手術+二重修正術後6ヶ月です。

目がしっかりと開くようになりました。

二重の幅も狭くなり自然になりました。

 

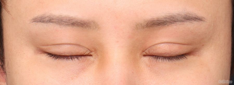
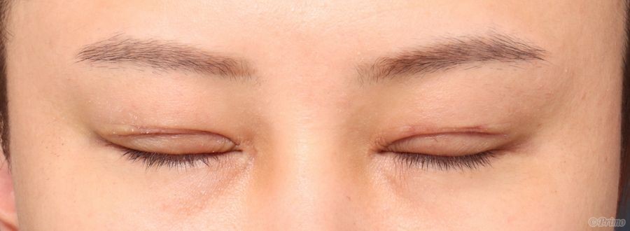
手術前

手術前の目元です。

 

手術前

手術前の目を閉じたところです。

 

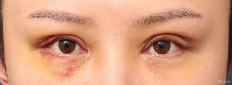
手術後1週間

眼瞼下垂手術+二重修正術後1週間です。

まだ腫れが目立つ時期です。

 

手術後1週間

手術後1週間の目を閉じたところです。

 

手術後2週間

眼瞼下垂手術+二重修正術後2週間です。

 

手術後2週間

手術後2週間の目を閉じたところです。

 

手術後3ヶ月

眼瞼下垂手術+二重修正術後3ヶ月です。

腫れが落ち着いて二重の幅が狭くなりました。

 

手術後3ヶ月

手術後3ヶ月の目を閉じたところです。

 

手術後6ヶ月

眼瞼下垂手術+二重修正術後6ヶ月です。

目がしっかりと開くようになり目が大きく見えるようになりました。

 

手術後6ヶ月

手術後6ヶ月の目を閉じたところです。

 

・費用(税込、麻酔代別)

 

眼瞼下垂手術             ¥660,000

二重修正術              ¥440,000

(組織の移動や移植を伴う複雑なもの) ¥550,000

 

・リスク・副作用(起こり得る可能性のあること)

 

腫れ、内出血

瞼の違和感

二重の傷跡

睫毛側皮膚の知覚低下

ラインの消失

瞼の形態の変化、顔の形態の変化

閉瞼不全、ドライアイ

ヘリング現象

 

© 2018 Primo All rights reserved.

メールで相談 カウンセリング予約 公式LINE オンライン診療 オンラインショップ 0120-062-069