BT 目頭切開+逆さまつ毛手術 症例経過写真 | プリモ麻布十番クリニック 2503

症例写真

BT 目頭切開+逆さまつ毛手術 症例経過写真

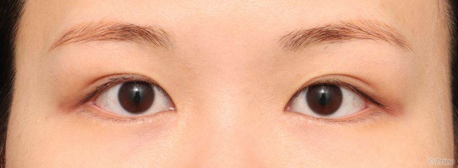
Before

手術前の目元です。

目頭の距離を近づけたい、下まぶたの逆さまつ毛を改善したいというご要望から、

目頭切開+逆さまつ毛手術を行いました。

 

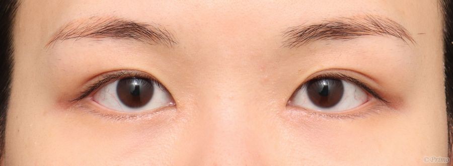
After

目頭切開+逆さまつ毛手術後6ヶ月です。

目頭切開によって蒙古襞が解除され、目が内側に大きくなり華やかな目元になりました。

逆さまつ毛も改善しました。

 

手術前

手術前の目元です。

 

手術前

手術前の斜めからです。

 

手術前

手術前の横からです。

 

手術後1週間

目頭切開+逆さまつ毛手術後1週間です。

傷の赤みは次第に目立たなくなります。

 

手術後1週間

手術後1週間の斜めからです。

 

手術後1週間

手術後1週間の横からです。

 

手術後2週間

目頭切開+逆さまつ毛手術後2週間です。

 

手術後2週間

手術後2週間の斜めからです。

 

手術後2週間

手術後2週間の横からです。

 

手術後3ヶ月

目頭切開+逆さまつ毛手術後3ヶ月です。

 

手術後3ヶ月

手術後3ヶ月の斜めからです。

 

手術後3ヶ月

手術後3ヶ月の横からです。

 

手術後6ヶ月

目頭切開+逆さまつ毛手術後6ヶ月です。

蒙古襞が解除され、目と目の距離が近くなりました。

 

手術後6ヶ月

手術後6ヶ月の斜めからです。

 

手術後6ヶ月

手術後6ヶ月の横からです。

下のまつ毛が外側向きになり、目に当たらなくなりました。

 

・費用(税込、麻酔代別)

 

目頭切開    ¥275,000

逆さまつ毛手術 ¥220,000

 

・リスク・副作用(起こり得る可能性のあること)

 

腫れ、内出血

瞼の違和感、傷跡

睫毛側皮膚の知覚異常

埋没した吸収糸の露出

瞼の形態の変化

外反

 

© 2018 Primo All rights reserved.

メールで相談 カウンセリング予約 公式LINE オンライン診療 オンラインショップ 0120-062-069