L 下眼瞼拡大術+目尻切開 症例経過写真 | プリモ麻布十番クリニック 2503

症例写真

L 下眼瞼拡大術+目尻切開 症例経過写真

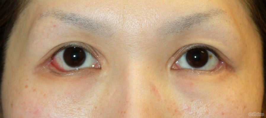
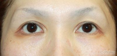
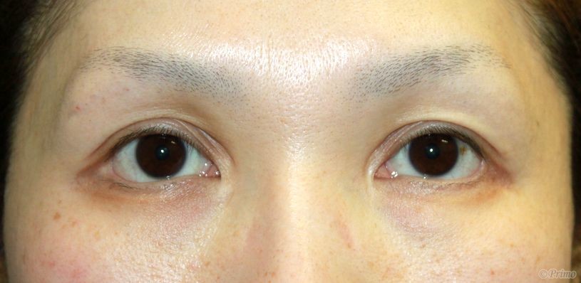
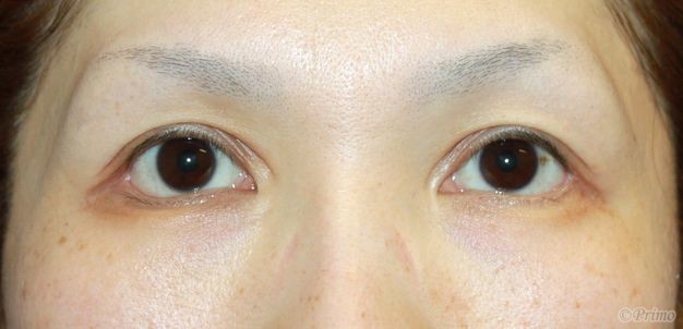
Before


手術前の正面です。
術前は他院で重瞼全切開と目頭切開を受けていらっしゃいました。
目をたれ目にして最大限大きくしたいとのご希望により、
当院で下眼瞼拡大術+目尻切開手術を行いました。

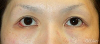
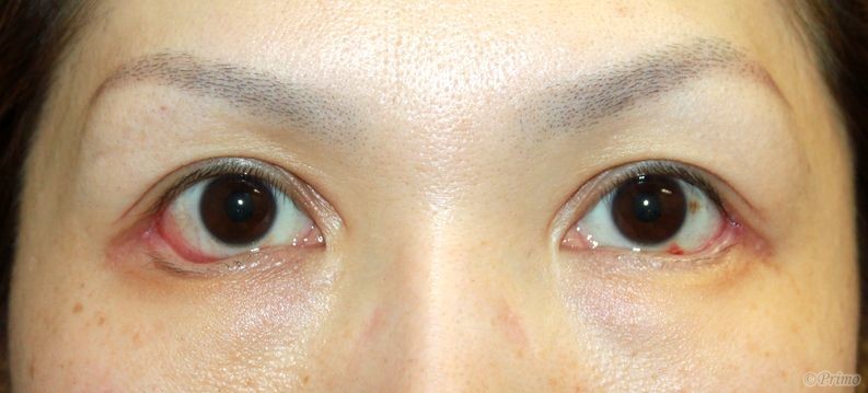
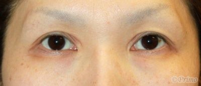
After


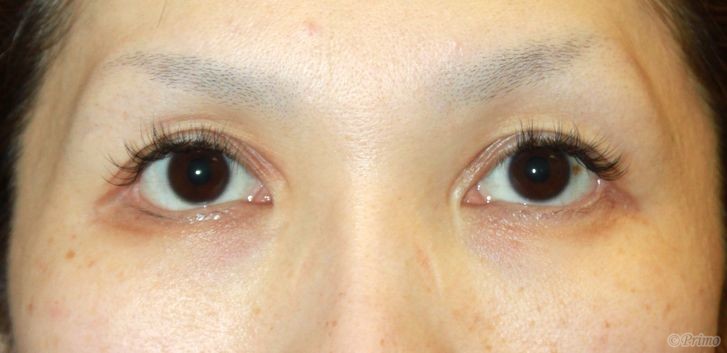
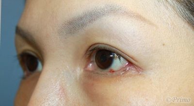
下眼瞼拡大術+目尻切開手術後6ヶ月です。
術後は下眼瞼拡大術、目尻切開の効果で外側下方向へ白目が大きくなりました。

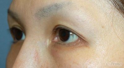
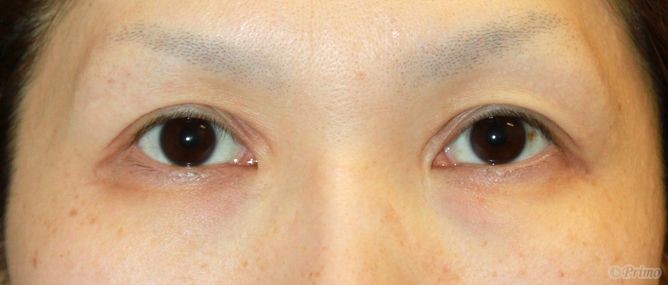
手術前


手術前の正面です。

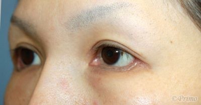
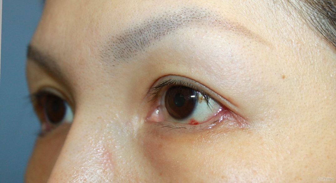
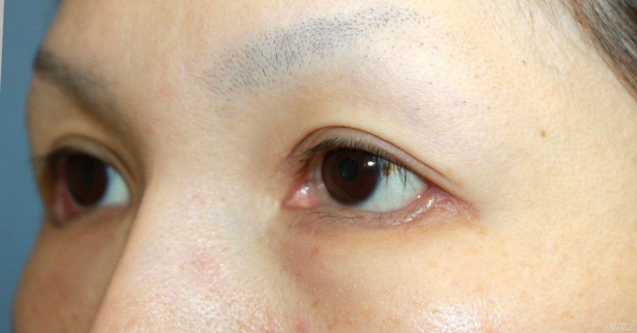
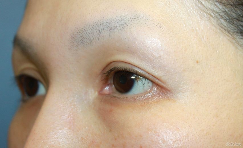
手術前


手術前の斜めからです。

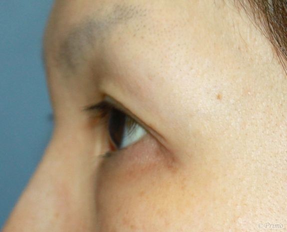
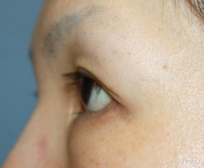
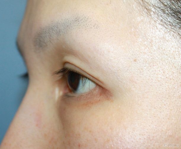
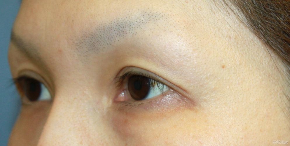
手術前


手術前の横からです。

手術後1週間


下眼瞼拡大術+目尻切開手術後1週間です。

手術後1週間


手術後1週間の斜めからです。

手術後1週間


手術後1週間の横からです。

手術後2週間


下眼瞼拡大術+目尻切開手術後2週間です。

手術後2週間


手術後2週間の斜めからです。

手術後2週間


手術後2週間の横からです。

手術後1ヶ月


下眼瞼拡大術+目尻切開手術後1ヶ月です。

手術後1ヶ月


手術後1ヶ月の斜めからです。

手術後1ヶ月


手術後1ヶ月の横からです。

手術後2ヶ月


下眼瞼拡大術+目尻切開手術後2ヶ月です。

手術後2ヶ月


手術後2ヶ月の斜めからです。

手術後2ヶ月


手術後2ヶ月の横からです。

手術後3ヶ月


下眼瞼拡大術+目尻切開手術後3ヶ月です。

手術後3ヶ月


手術後3ヶ月の斜めからです。

手術後3ヶ月


手術後3ヶ月の横からです。

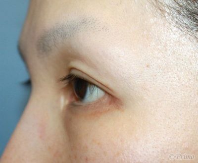
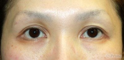
手術後6ヶ月


下眼瞼拡大術+目尻切開手術後6ヶ月です。

手術後6ヶ月


手術後6ヶ月の斜めからです。

手術後6ヶ月


手術後6ヶ月の横からです。

・費用(税込、麻酔代別)

 

下眼瞼拡大術 ¥440,000

目尻切開術  ¥275,000

 

・リスク・副作用(起こり得る可能性のあること)

 

腫れ、内出血、瞼の違和感、傷跡

埋没した吸収糸の露出

瞼の形態の変化

三白眼逆さまつ毛

複視

 

© 2018 Primo All rights reserved.

メールで相談 カウンセリング予約 公式LINE オンライン診療 オンラインショップ 0120-062-069