BN 右下眼瞼拡大術(たれ目形成) 症例経過写真 | プリモ麻布十番クリニック 2503

症例写真

BN 右下眼瞼拡大術(たれ目形成) 症例経過写真

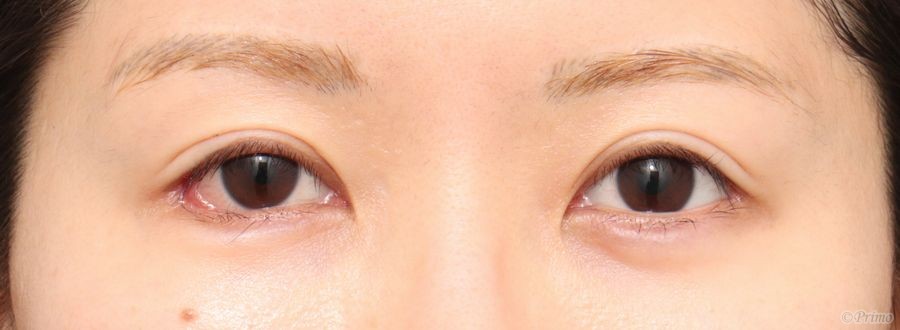
Before

手術前の目元です。

他院で二重切開、目尻切開を受けていらっしゃいましたが左右差が気になり、

左に合わせて右目を下向きに拡大する目的で右下眼瞼拡大術を行いました。

 

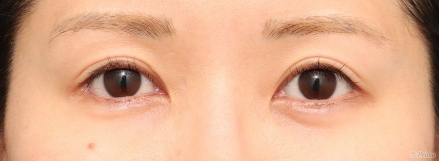
After

右下眼瞼拡大術(たれ目形成術)手術後6ヶ月です。

右目の外側が下向きに大きくなり左右のバランスが良くなりました。

 

手術前

手術前の目元です。

 

手術後1週間

右下眼瞼拡大術(たれ目形成術)手術後1週間です。

 

手術後 2週間

右下眼瞼拡大術(たれ目形成術)手術後2週間です。

 

手術後3ヶ月

右下眼瞼拡大術(たれ目形成術)手術後3ヶ月です。

 

手術後6ヶ月

右下眼瞼拡大術(たれ目形成術)手術後6ヶ月です。

右目の外側が下向きに大きくなり左右差が小さくなりました。

 

・費用(税込、麻酔代別)

 

下眼瞼拡大術 ¥440,000

 

・リスク・副作用(起こり得る可能性のあること)

 

腫れ、内出血、瞼の違和感、傷跡

埋没した吸収糸の露出

瞼の形態の変化

三白眼逆さまつ毛

複視

 

© 2018 Primo All rights reserved.

メールで相談 カウンセリング予約 公式LINE オンライン診療 オンラインショップ 0120-062-069