BC 上眼瞼リフト 症例経過写真 | プリモ麻布十番クリニック 2503

症例写真

BC 上眼瞼リフト 症例経過写真

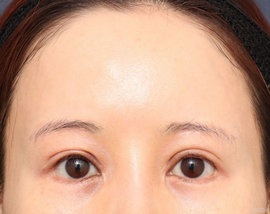
Before

手術前の目元です。

当院で眼瞼下垂手術、下眼瞼拡大術を受けられた方で、

まぶたの腫れぼったさをすっきりさせたいというご希望から、

上眼瞼リフト(眉毛下切開)を行いました。

 

After

上眼瞼リフト手術後6ヶ月です。

術後は眉毛の位置が下がり、まぶたの厚みがなくなりすっきりしました。

 

手術前

手術前の目元です。

 

手術後1週間

上眼瞼リフト手術後1週間です。

腫れや傷跡は経過とともに次第に目立たなくなります。

 

手術後2週間

上眼瞼リフト手術後2週間です。

 

手術後3ヶ月

上眼瞼リフト手術後3ヶ月です。

 

手術後6ヶ月

上眼瞼リフト手術後6ヶ月です。

眉毛の傷痕も目立たなくなりました。

 

・費用(税込、麻酔代別)

 

上眼瞼リフト ¥385,000

 

・リスク・副作用(起こり得る可能性のあること)

 

腫れ、内出血、瞼の違和感、傷跡

埋没した吸収糸の露出

眉毛の形態の変化、二重のラインの変化、瞼の形態の変化

ドライアイ、閉瞼不全

ドッグイヤー

 

© 2018 Primo All rights reserved.

メールで相談 カウンセリング予約 公式LINE オンライン診療 オンラインショップ 0120-062-069