G 下眼瞼脱脂術 症例経過写真 | プリモ麻布十番クリニック 2503

症例写真

G 下眼瞼脱脂術 症例経過写真

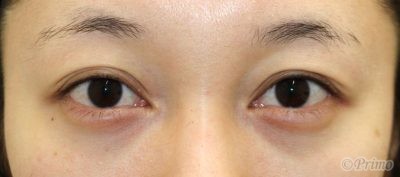
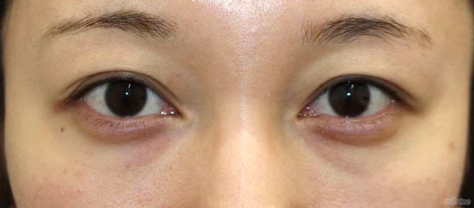
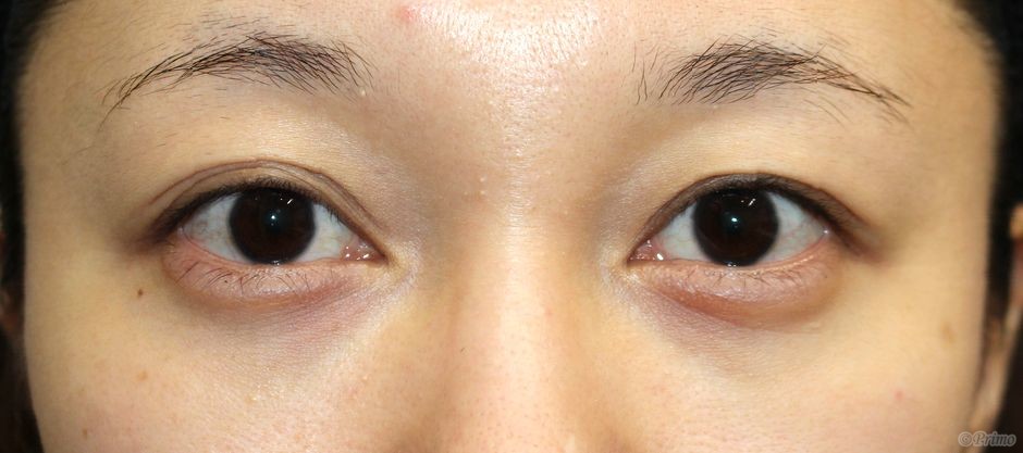
Before


手術前の目もとです。
軽度ですが、目の下に眼窩脂肪によるふくらみ、くまがありました。
摘出を希望され、当院で下眼瞼脱脂術を行いました。

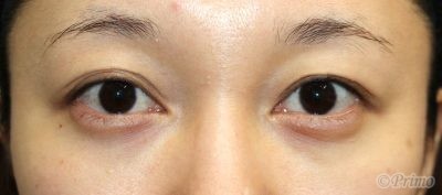
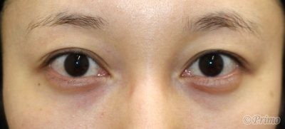
After


下眼瞼脱脂術後6ヶ月です。
術後は目の下がすっきりし、より若々しい印象になりました。

手術前


手術前の目もとです。

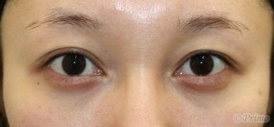
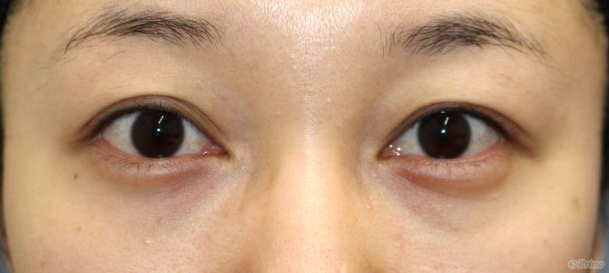
手術後1週間


下眼瞼脱脂術後1週間です。

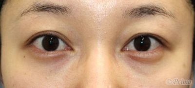
手術後2週間


下眼瞼脱脂術後2週間です。

手術後1ヶ月


下眼瞼脱脂術後1ヶ月です。

手術後2ヶ月


下眼瞼脱脂術後2ヶ月です。

手術後3ヶ月


下眼瞼脱脂術後3ヶ月です。

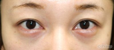
手術後6ヶ月


下眼瞼脱脂術後6ヶ月です。

・費用(税込、麻酔代別)

 

下眼瞼脱脂術 ¥330,000

 

・リスク・副作用(起こり得る可能性のあること)

 

腫れ、内出血

瞼の違和感

結膜の傷跡

瞼の形態の変化

複視

 

© 2018 Primo All rights reserved.

メールで相談 カウンセリング予約 公式LINE オンライン診療 オンラインショップ 0120-062-069